Xem lại các phần trước tại đây.
Ví dụ các ca lâm sàng điều trị với Myobrace nhóm A
Ca lâm sàng 1
Bệnh nhân nữ 15 tuổi đến với than phiền chính là răng cửa hàm trên chen chúc và đang tìm kiếm ý kiến thứ hai vì không muốn niềng răng. Sau khi được giới thiệu các lựa chọn điều trị khác nhau, quyết định thực hiện điều trị bằng Myobrace.

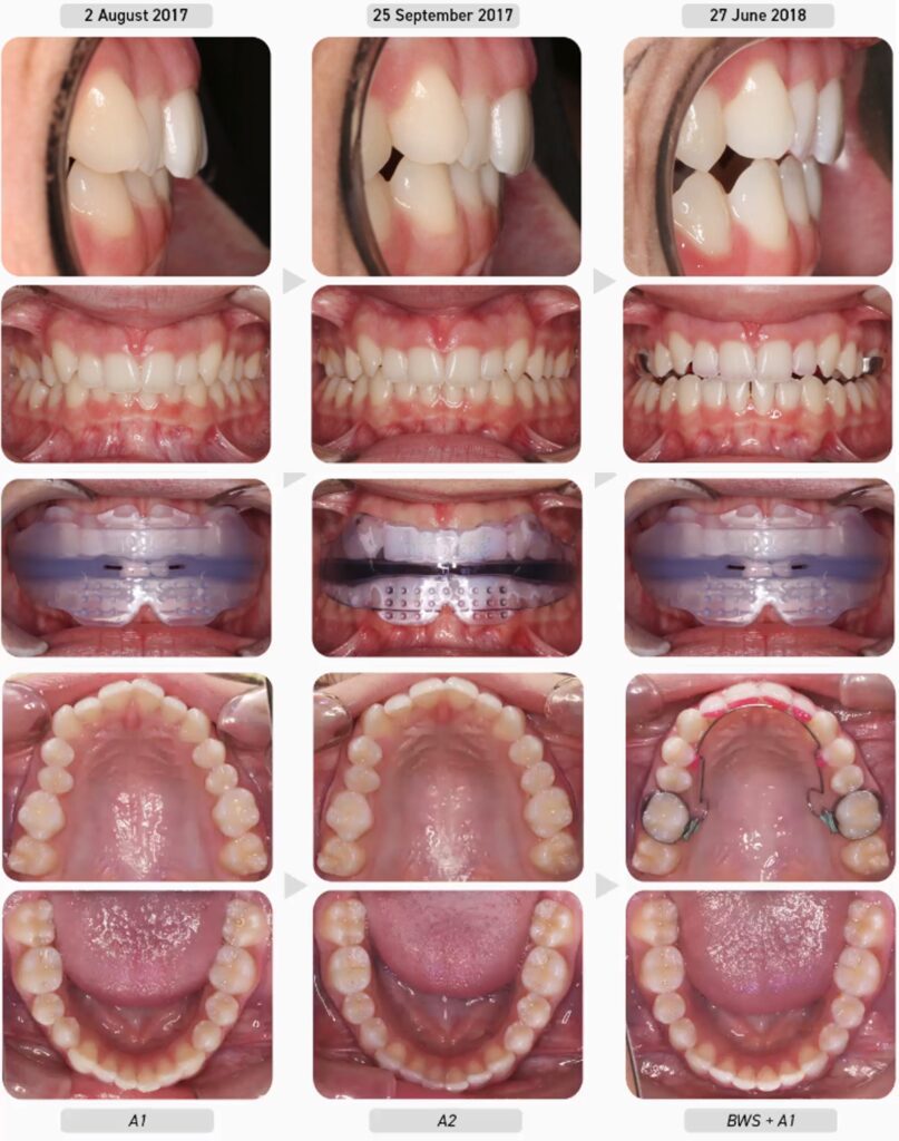
Trước điều trị
Tiến hành đánh giá chỉnh nha cơ chức năng (MOE), ghi nhận bệnh nhân có cắn sâu và tình trạng chen chúc răng nhẹ. Cung răng trên hẹp và hơi dẹt về phía trước, cung răng dưới cũng hơi hẹp.
Thói quen cơ chức năng kém bao gồm thở bằng miệng với tư thế lưỡi thấp và nuốt ngược. Vì bệnh nhân đã ở hệ răng vĩnh viễn đầy đủ nên việc điều trị sẽ bắt đầu với loạt sản phẩm Myobrace® nhóm A (for Adult).

Tiến triển răng
Bệnh nhân bắt đầu đeo khí cụ A1 để thiết lập thở bằng mũi và bắt đầu điều chỉnh các thói quen cơ chức năng.
Khi chức năng hô hấp của bệnh nhân đã được cải thiện và liên tục duy trì khí cụ A1 qua đêm, bệnh nhân chuyển sang khí cụ A2 để tập trung vào phát triển cung răng, chỉnh răng và tiếp tục điều chỉnh thói quen.
Sau đó, quyết định sử dụng khí cụ nới rộng BWS để phát triển hàm trên. BWS phải được kết hợp với khí cụ giai đoạn đầu nên bệnh nhân đã được cấp lại A1 trong quá trình nới rộng bằng BWS.

Bệnh nhân này cần nới rộng bằng BWS nhiều lần, vì vậy dây cung đã được tháo ra trong vài tháng để răng ổn định, sau đó lắp lại để bắt đầu một đợt nới rộng khác.
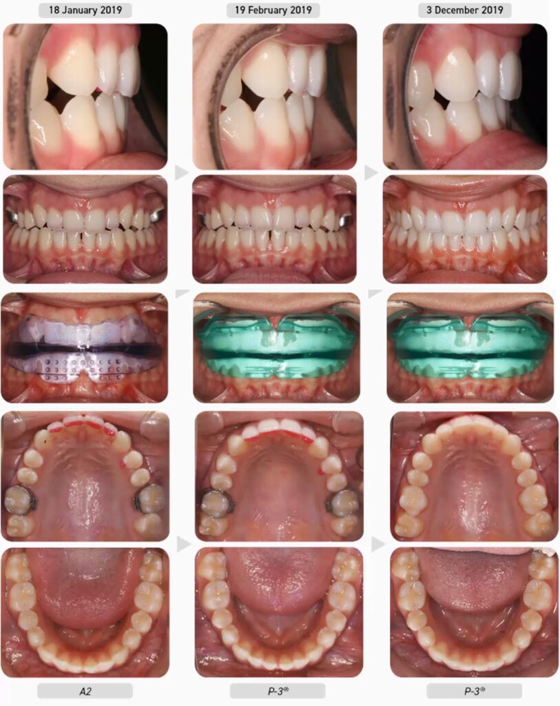
Sau khi quá trình nới rộng cung răng hàm trên hoàn tất, dây được tháo ra một lần nữa và bệnh nhân được cấp lại khí cụ A2, sau đó là khí cụ P-3®, cả hai đều là khí cụ size lớn.

Điều trị hoàn tất
Sau khi đạt được mục tiêu của điều trị Myobrace (điều chỉnh nhịp thở và thói quen cơ chức năng, hình dạng cung răng và chỉnh răng), bệnh nhân bước vào giai đoạn duy trì bằng cách đeo khí cụ A3.

Tiến triển khuôn mặt
Ở những bệnh nhân trưởng thành khi quá trình tăng trưởng đã hoàn tất, chúng ta không thể mong đợi thấy được sự tăng trưởng đáng kể những thay đổi trong sự phát triển trên khuôn mặt khi điều trị bằng Myobrace.
Tuy nhiên, bệnh nhân báo cáo rằng cô ấy ngủ ngon hơn và có thể quan sát thấy môi ở tư thế nghỉ thoải mái hơn trong khi nếp nhăn môi đã nông lại, tất cả là kết quả của điều chỉnh chức năng.
Bệnh nhân hài lòng vì các răng cửa hàm trên đã thẳng hàng mà không cần niềng răng, giải quyết được than phiền chính của cô.

Ca lâm sàng 2
👉 Vui lòng đăng nhập để xem tiếp.


Bài viết liên quan
Thẩm mỹ và cơ học sinh học trong chỉnh nha – P12 – Đánh giá thẩm mỹ trong chỉnh nha
Thẩm mỹ và cơ học sinh học trong chỉnh nha – P11 – Đánh giá thẩm mỹ trong chỉnh nha
Thẩm mỹ và cơ học sinh học trong chỉnh nha – P10 – Đánh giá thẩm mỹ trong chỉnh nha