Xem lại phần 1 tại đây và phần 2 tại đây.
Chương 3. Bọc mão cho răng đã điều trị nội nha
Giới thiệu
Có nhiều phương pháp phục hồi khác nhau cho răng đã điều trị nội nha, và hầu hết đều có thể thành công nếu được thực hiện đúng cách.
Quyết định phục hồi phụ thuộc vào chi phí phục hồi, nguy cơ gãy răng, yêu cầu thẩm mỹ của bệnh nhân và sự thành công của điều trị nội nha hoặc điều trị lại.
Lượng mô răng còn lại sau điều trị nội nha và lượng mô răng mất đi trong quá trình mài sửa soạn cùi răng là các yếu tố quan trọng trong lập kế hoạch thiết kế phục hồi sau nội nha. Nên bảo tồn càng nhiều mô răng lành càng tốt. Các kỹ thuật sửa soạn tối thiểu và phục hình dán nên được cân nhắc bất cứ khi nào có thể.
Răng trước ít có nguy cơ bị gãy hơn và có yêu cầu thẩm mỹ cao hơn so với răng sau. Do đó, phục hồi răng trước và răng sau sẽ được trình bày riêng.
Răng trước
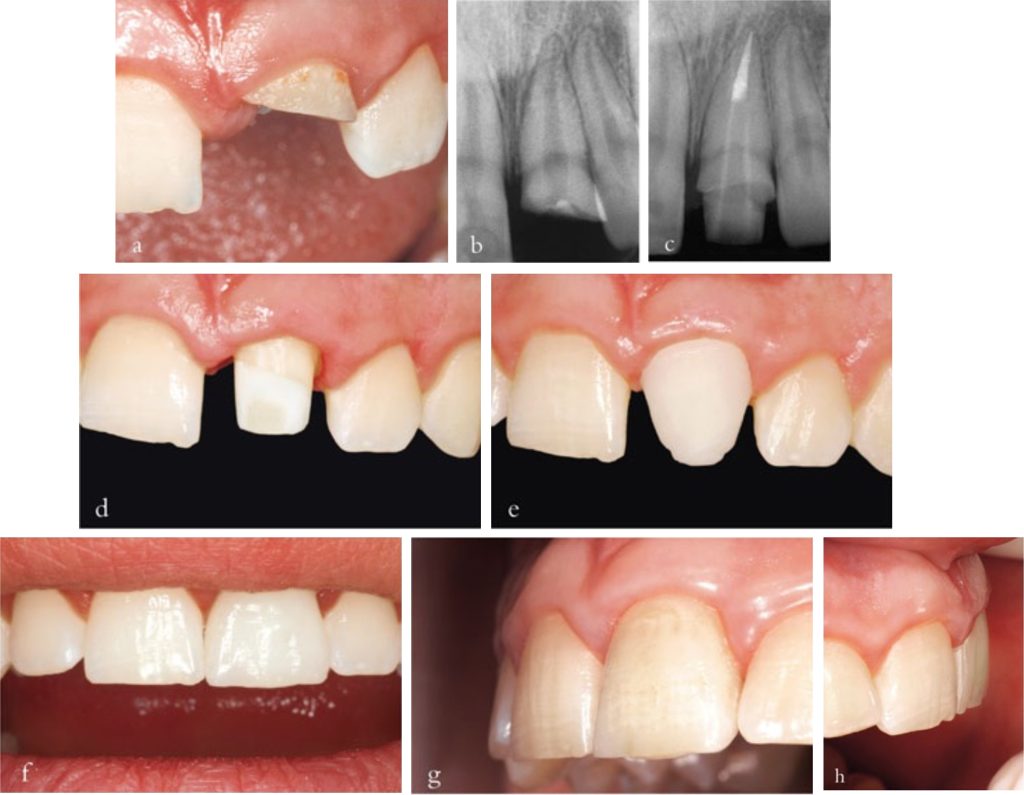
Tuổi thọ của một răng trước đã điều trị nội nha không phải lúc nào cũng tăng lên khi được sửa soạn và bọc mão. Bọc mão toàn bộ được chỉ định khi lượng mô răng còn lại không đủ để phục hồi bằng phương pháp trực tiếp (Hình 3-1).

Các lựa chọn phục hồi cho răng trước
Trám composite
Khi mất mô ở mặt bên và rìa cắn chiếm ít hơn một phần ba cấu trúc thân răng thì phục hồi composite trực tiếp thường là phương pháp được chọn. Các kỹ thuật tẩy trắng có thể được sử dụng để xử lý những trường hợp đổi màu nhẹ.
Veneer sứ hoặc veneer composite
Veneer sứ hoặc veneer composite là một lựa chọn để phục hồi thẩm mỹ và chức năng khi mức độ mất mô ít hơn một phần ba cấu trúc thân răng, mặt trong còn được bảo tồn và không thể đạt kết quả thẩm mỹ tốt bằng phương pháp trực tiếp. Thông thường, veneer phủ toàn bộ mặt ngoài, có thể kéo dài qua rìa cắn và qua các tiếp xúc bên.
Veneer khó có thể được kéo dài đến xoang mở tủy.
Mão bán phần bằng sứ hoặc composite hiếm khi được thực hiện cho răng trước đã điều trị nội nha.
Mão sứ – kim loại
Mão sứ – kim loại vẫn là dạng phục hình gián tiếp được chỉ định nhiều nhất cho răng trước đã điều trị nội nha. Để đảm bảo thẩm mỹ, cần mài giảm mặt ngoài khoảng 1,8–2,0 mm (Hình 3-2 và 3-3).

Điều này có thể làm giảm đáng kể độ bền của mô răng còn lại, và cần thận trọng trước khi chỉ định phục hình, bởi vì thay vì nâng đỡ mô răng còn lại thì nhiều phục hình lại càng làm mất mô răng thêm.

Mão toàn sứ
Ưu điểm của mão toàn sứ là mài giảm mô răng mặt ngoài ít hơn so với mức cần thiết khi làm mão sứ-kim loại (Hình 3-5).

Độ thẩm mỹ được cải thiện, đặc biệt ở những vùng gần mô mềm nhờ không có khung kim loại bên trong. Răng đã điều trị nội nha thường bị đổi màu nên thường cần phải che màu (opaque).
Mão toàn sứ có độ bền kém hơn so với mão sứ – kim loại. Khi dùng làm răng trụ cho cầu răng, chúng chỉ được chỉ định cho cầu ba đơn vị trong những trường hợp yêu cầu thẩm mỹ cao. Trong những trường hợp này, nên sử dụng cấu trúc sườn zirconia (Hình 3-7).

Mão composite
Một số tác giả đã đề xuất sử dụng mão toàn composite nhằm giảm thiểu việc mài bỏ mô răng lành (độ mài trung bình là 0,8–1 mm) để đạt kết quả thẩm mỹ tối ưu, đặc biệt khi đường viền đặt dưới nướu.
Tuy nhiên, mão composite có giá tương đương mão sứ-kim loại hoặc mão toàn sứ, nhưng độ bền lại không bằng.
Răng sau
Răng sau đã điều trị nội nha chịu tác động của lực chêm lên múi răng, lực nén cao và lực cắt, do đó có nguy cơ bị gãy cao. Vì vậy, cần có che phủ múi răng, đặc biệt khi một hoặc nhiều gờ bên bị mất.
Hầu hết các nghiên cứu lâm sàng kết luận tuổi thọ của răng sau sau điều trị nội nha cao hơn đáng kể khi có che phủ hoàn toàn múi răng. Răng sau sau điều trị nội nha được phục hình bằng mão đơn lẻ tồn tại lâu hơn so với răng trụ cầu.
Vật liệu phục hồi cho răng sau
Phục hồi amalgam
Amalgam truyền thống, bao gồm mở rộng về phía mặt bên nhưng không che phủ múi răng, bị chống chỉ định do nguy cơ gãy múi răng hoặc thân răng cao đã được công nhận.
Phục hồi amalgam với che phủ múi răng ít nhất 2 mm có chi phí thấp và đáng tin cậy, đặc biệt ở răng cối lớn hàm dưới (Hình 3-8), nhưng mối quan tâm về thẩm mỹ ngày càng tăng đã hạn chế việc sử dụng ở những răng quan trọng về thẩm mỹ, đặc biệt là răng cối nhỏ hàm trên.

Ở răng hàm trên, bắt buộc phải phủ các múi chức năng, đặc biệt là “múi trong”, còn việc phủ các múi ngoài có thể được bỏ qua nếu chúng không tiếp xúc trong các vận động bên.
Ở răng hàm dưới, tất cả các múi cần được phủ. Nếu buồng tủy sâu dưới 4 mm, cần đặt chốt kim loại để đảm bảo cố định cùi giả amalgam; thông thường kéo dài 3 mm amalgam vào ống tủy là đủ.
Phục hồi trực tiếp bằng composite
Hiện không có sự đồng thuận về độ dày tối thiểu của composite trực tiếp cần thiết để bảo vệ các múi răng khỏi gãy. Việc phủ tất cả múi răng bằng composite dày 1,5–2,5 mm thường được đề xuất. Trong hầu hết các trường hợp, trám composite trực tiếp gặp khó khăn do mất nhiều mô răng từ sâu răng và lỗ mở tủy, để lại một khoang lớn và sâu cần trám. Vấn đề còn phức tạp hơn nếu cần phủ múi răng.
Trong nhiều trường hợp, trám composite trực tiếp có thể dẫn đến tái tạo hình thể thân răng không tốt và các điểm tiếp xúc kém, không ngăn được thức ăn mắc kẹt.
Phục hồi composite chỉ được xem là phục hồi sau cùng trong những trường hợp mất mô răng hạn chế (các xoang mặt bên nhỏ và ít hoặc không có phủ múi). Trong hầu hết các trường hợp, phục hồi composite trực tiếp chỉ nên áp dụng cho tái tạo cùi trước khi bọc mão.
Onlay composite và onlay sứ
Những phục hồi này chống chỉ định ở những răng được dùng làm trụ cho cầu răng và những răng bị đổi màu nặng.
Thông thường, trước tiên cần tái tạo cùi răng bằng composite, sử dụng vật liệu có tông màu khác với ngà răng để phân biệt vật liệu phục hồi và răng. Không cần sử dụng chốt để giữ cùi giả composite.
Mài sửa soạn onlay cho răng đã điều trị tủy không khác nhiều so với răng sống:
– Cần độ dày tối thiểu 1,5–2 mm để đảm bảo độ bền.
– Các đường viền nên có góc hoàn tất 90°, các góc bên trong xoang nên được bo tròn.
– Xoang mặt bên chỉ nên nằm trên điểm tiếp xúc.
– Các thành bên trong nên phân kỳ (Hình 3-10).

Hầu hết các tác giả đề xuất che phủ tất cả các múi răng.
Hiện không có bằng chứng rõ ràng nào ưu tiên onlay sứ hay onlay composite, nhưng onlay composite có thể ít tốn kém hơn và dễ gắn cũng như sửa chữa hơn.
Mão sứ – kim loại
Mão sứ – kim loại là giải pháp phục hồi được sử dụng rộng rãi nhất, cả cho mão đơn phía sau lẫn các răng làm trụ cầu (Hình 3-11).

Mão toàn sứ
👉 Vui lòng đăng nhập để xem tiếp.


Bài viết liên quan
Phục hình cho răng đã điều trị nội nha – P2
Phục hình cho răng đã điều trị nội nha – P1
Sử dụng composite lỏng trong nha khoa – P6