Skip to content
April 17, 2026
NhasiUpdate
Chuyên trang RHM
Primary Menu
Phục hình cố định
Phục hình tháo lắp
Nội nha
Nhổ răng
Gây tê
Trám răng
Răng trẻ em
Bệnh học miệng
Nha chu
Phẫu thuật
Implant
Chỉnh nha
Phục hồi
Vật liệu
Thẩm mỹ
Sách
Search for:
Home
chroma
chroma
Phục hình cố định
Thẩm mỹ
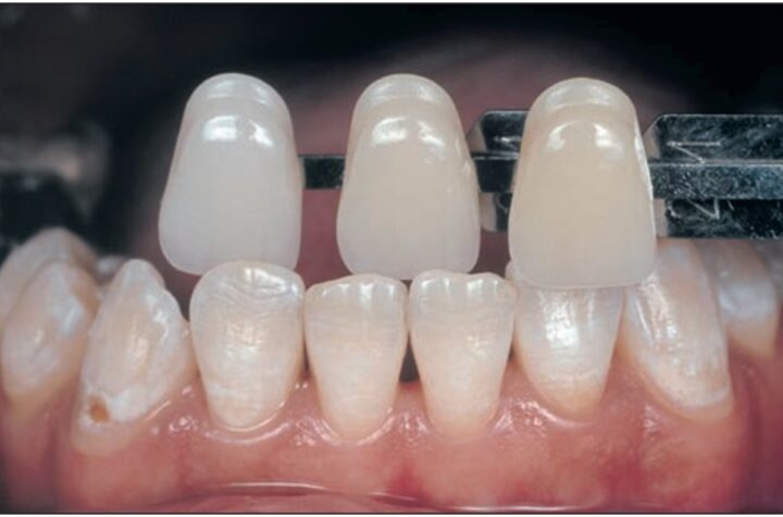
Kỹ thuật so màu răng và những sai lầm thường gặp
January 5, 2021
Nhasiupdate
Hãy gửi tin nhắn cho mình nhé!
Send a message