Xem lại phần 1 tại đây.
Các yếu tố ảnh hưởng đến sự phát triển sọ mặt
Việc nắm rõ nguyên nhân gây ra sai khớp cắn vô cùng quan trọng đối với chẩn đoán và thành công của điều trị sau cùng. Nguyên nhân gây sai khớp cắn thường là đa yếu tố. Nhìn chung, các yếu tố căn nguyên có thể được phân loại thành yếu tố di truyền, yếu tố môi trường hoặc kết hợp cả hai.
Thông tin di truyền có thể thu thập được từ việc hỏi người giám hộ của bệnh nhi hoặc từ chính bệnh nhân trưởng thành. Những thông tin này đặc biệt quan trọng ở những bệnh nhân có hội chứng sai lệch sọ mặt nghiêm trọng. Thông tin từ cha mẹ có thể cung cấp một số hiểu biết về hình thái sọ mặt sau khi kết thúc tăng trưởng như đã nói trước đó. Yếu tố di truyền cũng đóng vai trò quan trọng khi liên quan đến các bất thường trong sự phát triển và hình thái răng, như răng nanh mọc lệch, thiếu mầm răng bẩm sinh và bất thường trong hình dạng răng.
Có nhiều yếu tố môi trường được cho là nguyên nhân gây ra sai khớp cắn. Ví dụ kinh điển là thói quen mút ngón tay cái. Việc duy trì lực tác động (áp lực) trong thời gian dài đã được chứng minh là có thể ảnh hưởng đến mô cứng xương. Các mô cơ cũng có thể tạo ra những lực nhẹ nhưng liên tục, dẫn đến sự thích nghi của cấu trúc xương lân cận. Rối loạn chức năng cơ – do tăng hoạt động hay giảm hoạt động trong một số bệnh lý – cũng có thể ảnh hưởng đến sự tăng trưởng và phát triển bình thường của xương hàm. Nếu các lực do cơ tạo ra không ở trạng thái cân bằng, kết quả sẽ phản ánh trên mô cứng dưới dạng di lệch, và về lâu dài sẽ dẫn đến biểu hiện sai khớp cắn và lệch khớp xương hàm trên – dưới.
Nhìn từ phía trước (frontal view)
Theo truyền thống, các bác sĩ chỉnh nha ít chú ý đến việc phân tích khuôn mặt từ góc nhìn trực diện, mà thay vào đó chủ yếu tập trung vào những thay đổi theo chiều trước-sau, tức là theo phân loại của Angle. Tuy nhiên, với sự phát triển mạnh mẽ của công nghệ hình ảnh ba chiều (3D), trong tương lai sẽ có nhiều thông tin hơn được cung cấp từ góc nhìn trực diện, đặc biệt là liên quan đến phân tích mô mềm.
Khi mô tả một bệnh nhân từ góc nhìn trực diện thì phải đánh giá tổng thể sự cân xứng của khuôn mặt. Vẻ đẹp và thẩm mỹ khuôn mặt dễ nhìn được cho là có những tỷ lệ và sự đối xứng nhất định. Những bất đối xứng nhỏ xuất hiện ở tất cả bệnh nhân, kể cả những người có vẻ ngoài đối xứng, có thể là do sự bù trừ giữa xương và mô mềm trong quá trình phát triển (hình 1-5).

Tỷ lệ khuôn mặt lý tưởng được mô tả bằng các đường ngang cũng như các đường dọc được sử dụng làm mặt phẳng tham chiếu để đánh giá tỷ lệ. Các mặt phẳng ngang, chẳng hạn như mặt phẳng nối đồng tử, nối bình tai, nền cánh mũi và mặt phẳng nhai, nên song song với nhau, và cần đặc biệt chú ý đến sự hiện diện của các độ lệch (cant) (hình 1-6).

Tỷ lệ giữa các mặt phẳng nằm ngang này cũng có thể được đánh giá trên hình nhìn nghiêng. Tuy nhiên, ở hình nhìn thẳng từ phía trước, các đường tham chiếu theo chiều dọc lại quan trọng hơn vì chỉ từ góc nhìn này mới có thể đánh giá được chiều ngang khuôn mặt (hình 1-7).

Đường giữa (midline)
Góc nhìn trực diện cũng rất hữu ích trong việc đánh giá mối tương quan giữa đường giữa mặt và đường giữa răng. Việc phân tích đường giữa mặt có thể gặp khó khăn đặc biệt ở những bệnh nhân có vách ngăn mũi bị lệch (hình 1-8A). Do đó, kỹ thuật mà các bác sĩ hay dùng là đặt một sợi chỉ nha khoa theo chiều dọc qua đường giữa khuôn mặt để so sánh với đường giữa răng có thể gây hiểu lầm. Một phương pháp tốt hơn là đánh giá mối tương quan giữa cung Cupid (đỉnh hình cung của môi trên) và đường giữa răng (hình 1-8B).

Cuối cùng, cằm được đánh giá xem có bị lệch so với đường giữa mặt hay không (hình 1-9A). Góc nhìn từ trên xuống giúp tăng khả năng phát hiện các sai lệch (hình 1-9B). Tương tự, quan sát bệnh nhân từ phía dưới xương hàm dưới cũng có thể hỗ trợ cho phân tích này (hình 1-9C).

Phần này của khám lâm sàng rất quan trọng vì sự lệch cằm rõ rệt là một chỉ định cần được phân tích thêm, có thể bao gồm cả hình ảnh X-quang bổ sung.
Môi
Phân tích môi nên được thực hiện ở tư thế nghỉ, hoặc khi môi trên và môi dưới chạm nhẹ vào nhau (hình 1-10A). Cần lưu ý bất kỳ dấu hiệu nào cho thấy có căng cơ khi khép môi (hình 1-10B).

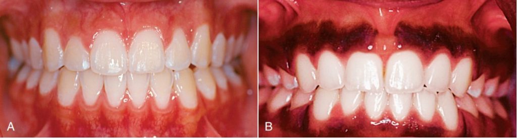
Độ dài của môi trên và môi dưới có thể được đánh giá ở cả hình nhìn thẳng và nhìn nghiêng. Độ dài môi trên khi được xem xét một cách riêng lẻ thì không quan trọng bằng tương quan của nó với các răng cửa trên khi ở tư thế nghỉ và khi cười. Tương quan phù hợp giữa môi trên và mức độ lộ răng cửa trên là một yếu tố then chốt trong thiết kế nụ cười thẩm mỹ hiện đại (hình 1-11).

Lộ hoàn toàn thân răng cửa trên khi cười được xem là một nụ cười trẻ trung. Việc chẩn đoán phân biệt giữa môi ngắn hay dài và tình trạng thừa hoặc thiếu chiều đứng hàm trên rất có giá trị ở những bệnh nhân có mức độ lộ răng cửa trên không đạt yêu cầu (hình 1-12).

A, Bệnh nhân lộ răng cửa quá mức do môi trên ngắn.
B, Bệnh nhân lộ hàm trên quá mức do chiều đứng hàm trên phát triển quá mức.
C, Bệnh nhân có mức lộ răng cửa không đủ do hàm trên kém phát triển theo chiều đứng.
Khoảng tối vùng má (buccal corridor) và đường cười (smile line)
Tham số thẩm mỹ lý tưởng trong thiết kế nụ cười theo chiều ngang có liên quan đến cung răng rộng và khoảng tối vùng má hẹp (hình 1-13).

Một số tác giả đã mô tả việc lộ R6 hàm trên khi cười trọn vẹn là một đặc điểm của nụ cười hấp dẫn, nhưng tính hợp lý và khả năng áp dụng của nó vẫn còn đáng nghi ngờ. Cấu trúc giải phẫu giới hạn mức độ nong rộng theo chiều ngang cần thiết để giảm thiểu khoảng tối vùng má rộng không thẩm mỹ. Sức khỏe nha chu lâu dài của các răng sau khi nong rộng hiện vẫn chưa được hiểu rõ. Việc nong rộng cung hàm trên một cách thiếu thận trọng sẽ dẫn đến lộ chân răng phía má do chân răng vượt ra ngoài bản xương vỏ.
Một lý do quan trọng khác để tránh việc nong hàm bừa bãi liên quan đến tính ổn định lâu dài. Mô xương (xương và răng) thường ở trạng thái cân bằng với hệ cơ xung quanh; sự ổn định lâu dài có thể bị ảnh hưởng khi răng xâm lấn vào vùng giới hạn của các cơ lân cận.
Một khái niệm khác cũng được cho là liên quan đến nụ cười thẩm mỹ là sự song song giữa đường cong của rìa cắn các răng cửa hàm trên với đường cong của môi dưới khi cười (hình 1-14).

Mặc dù đây có vẻ là một mục tiêu lý tưởng, nhưng cần lưu ý rằng có nhiều kiểu cười khác nhau và tư thế của môi dưới sẽ thay đổi tương ứng. Hơn nữa, cung cười này là kết quả của độ nghiêng mặt phẳng nhai và độ nghiêng thân răng trước hàm trên. Do đó, có một số giới hạn trong việc đạt được cung cười lý tưởng này ở mọi bệnh nhân.
Một mục tiêu hợp lý là tránh tạo ra một đường cười phẳng hoặc đường cười ngược (hình 1-15A) và đạt được một mức độ cong nhất định giống với độ cong của môi dưới (hình 1-15B).

Vẻ đẹp luôn được gắn liền với sự đối xứng. Sự đối xứng này có thể liên quan đến kích thước và hình dạng của các răng ở hai bên cung hàm (xem hình 1-11A). Ngoài ra, nó còn liên quan đến tương quan giữa mô trong miệng với môi ở cả bên phải và bên trái. Do đó, khi cười, nên thấy lượng mô nướu lộ ra giống nhau ở cả hai bên cung răng.
Nguyên nhân của sự bất đối xứng có thể bao gồm:
– Độ lệch (cant) của nền xương hàm trên,
– Lượng răng mọc khác nhau giữa bên phải và bên trái, hoặc
– Nụ cười không đối xứng.
Ước tính rằng có khoảng 8,7% người trưởng thành bình thường có nụ cười không đối xứng (hình 1-16).

Đặc điểm cuối cùng liên quan đến sự đối xứng trong nụ cười là đường giữa răng. Tương quan lý tưởng giữa đường giữa răng và đường giữa mặt đã được đề cập ở phần trên. Trong thiết kế nụ cười thẩm mỹ, đường giữa răng hàm trên được xem là quan trọng hơn so với đường giữa răng hàm dưới.
Người ta đã chứng minh rằng sự lệch <2 mm (sang bên phải hoặc trái) giữa đường giữa răng hàm trên và đường giữa mặt thường không dễ bị phát hiện (hình 1-17A). Tuy nhiên, bất kỳ sự không song song nào giữa các điểm tiếp xúc răng cửa so với đường giữa mặt (tức là độ lệch của rìa cắn) lại dễ bị nhận ra hơn nhiều (hình 1-17B).

Hai đặc điểm bổ sung khác của một nụ cười thẩm mỹ là độ cao nướu của các răng trước và màu sắc của răng.
Độ cao nướu của sáu răng trước hàm trên thường tương đồng. Viền nướu rời của các răng cửa giữa và răng nanh thường ngang nhau, còn viền nướu rời của các răng cửa bên thường nằm cao hơn khoảng 0,5 mm về phía thân răng so với mức của răng cửa giữa và răng nanh (hình 1-18).

Chiều cao nướu của các răng cối nhỏ và răng cối lớn nên thấp hơn so với răng nanh lần lượt khoảng 1 mm và 1,5 mm (hình 1-19).

Tầm quan trọng của màu răng trong nụ cười thẩm mỹ đã được xem xét rộng rãi trong y văn phục hình. Màu răng sáng được xem là một trong những đặc điểm quan trọng nhất của nụ cười đẹp. Do đó, các thủ thuật như tẩy trắng răng có thể được cân nhắc sau khi tháo khí cụ chỉnh nha.
Màu răng cũng trở thành yếu tố quan trọng ở những bệnh nhân được chỉ định sử dụng răng nanh thay thế cho răng cửa bên hàm trên bị mất. Sự khác biệt về sắc độ giữa răng nanh (thường có màu vàng đậm) và răng cửa có thể là một chỉ dẫn nên phục hình răng cửa bên thay vì đóng khoảng mất răng bằng cách di răng nanh.
Yếu tố đáng chú ý cuối cùng của nụ cười lý tưởng là hình dạng răng. Răng cửa là những răng nổi bật nhất trong nụ cười, đặc biệt là răng cửa giữa hàm trên. Tỷ lệ lý tưởng của răng này là chiều rộng xấp xỉ 75% đến 80% chiều cao (hình 1-20).

Tương tự, kích thước của răng cửa bên thường nhỏ theo chiều gần xa, và điều này cần được xem xét khi xác định khớp cắn sau cùng cũng như kết quả điều trị tổng thể. Hình dạng răng sẽ được bàn luận chi tiết hơn ở phần sau của chương.
Xem tiếp phần 3 tại đây.
Nguồn: Esthetics and Biomechanics in Orthodontics – 2nd – Ravindra Nanda.

Bài viết liên quan
Sử dụng composite lỏng trong nha khoa – P6
Thẩm mỹ và cơ học sinh học trong chỉnh nha – P12 – Đánh giá thẩm mỹ trong chỉnh nha
Thẩm mỹ và cơ học sinh học trong chỉnh nha – P11 – Đánh giá thẩm mỹ trong chỉnh nha