Tình trạng đau bùng phát trong quá trình hẹn điều trị nội nha là một vấn đề cực kỳ không mong muốn và đầy thách thức. Mặc dù đã thực hiện các quy trình điều trị thận trọng và cẩn thận, nhưng vẫn có thể xảy ra tình trạng đau dữ dội, sưng tấy hoặc cả hai.
Hiệp hội Nội nha Hoa Kỳ định nghĩa đau bùng phát là “sự bùng phát cấp tính của bệnh lý quanh chóp răng sau khi bắt đầu hoặc trong quá trình điều trị tủy”.
Bác sĩ nên áp dụng các biện pháp thích hợp và tuân thủ các hướng dẫn phù hợp để ngăn ngừa những sự cố không mong muốn này.
Nguyên nhân
Yếu tố nguyên nhân
Có thể có tổn thương cơ học, hóa học và/hoặc vi khuẩn đối với tủy hoặc mô quanh chóp dẫn đến giải phóng vô số chất trung gian gây viêm.
Đau xảy ra do các chất trung gian này kích thích trực tiếp các sợi thần kinh hoặc phù nề dẫn đến tăng áp suất thủy tĩnh với sự chèn ép các đầu dây thần kinh.
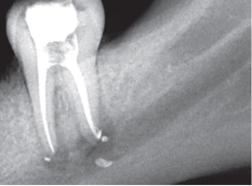
1. Tổn thương do cơ học
– Đưa dụng cụ quá chóp (H21.2).

– Sót tủy hoặc sót mảnh vụn tủy (H21.3).

– Đẩy chất bẩn quá chóp (H21.4).

2. Tổn thương hóa học
- Chất bơm rửa.
- Thuốc băng ống tủy.

- Vật liệu trám bít ống tủy quá chóp (H21.6).

3. Các yếu tố khác góp phần gây đau
- Tuổi của bệnh nhân
Bệnh nhân từ 40 – 59 tuổi có nguy cơ cao hơn so với những bệnh nhân <20 tuổi.
- Giới tính: nữ hơn nam
- Bệnh lí toàn thân
Bệnh nhân có tiền sử dị ứng với nhiều chất (thuốc, phấn hoa, bụi, thức ăn) có tỉ lệ đau cao hơn.
- Loại răng: răng hàm dưới cao hơn răng hàm trên.
- Sự lo lắng của bệnh nhân: bệnh nhân lo lắng nhiều thì có tỉ lệ đau cao hơn.
- Có đau và/hoặc sưng trước điều trị hay không: những bệnh nhân dùng thuốc giảm đau và thuốc kháng viêm để ngăn ngừa cơn đau trước khi điều trị thì có tỷ lệ bùng phát cơn đau cao hơn.
- Tình trạng tủy răng và/hoặc mô quanh chóp: răng có tủy sống ít bị đau bùng phát hơn so với răng có tủy hoại tử.

Tình trạng quanh chóp răng cũng có thể dự đoán tỷ lệ đau bùng phát, với tỷ lệ là 3,4% trong viêm quanh chóp mãn, 4,8% trong viêm quanh chóp cấp và 13,1% trong trường hợp áp xe chóp cấp.
Sự hiện diện của lỗ dò không liên quan đến bùng phát đau.
- Số lần hẹn
Nếu không lựa chọn đúng ca bệnh, đau thường gặp ở những ca nội nha nhiều lần hẹn hơn so với một lần hẹn.
- Điều trị tủy lại: Tỉ lệ đau cao hơn gấp 10 lần do các mảnh vụn hoặc dung môi bị đẩy ra ngoài vào mô quanh chóp.
Cơ chế bùng phát
Các yếu tố vi sinh và miễn dịch
Các yếu tố vi sinh và miễn dịch sau đây là nguyên nhân gây đau bùng phát (Seltzer và cộng sự, 2004):
- Hội chứng thay đổi thích nghi tại chỗ.
- Thay đổi áp lực mô quanh chóp.
- Yếu tố vi sinh vật.
- Chất trung gian hóa học.
- Những thay đổi trong các vòng nucleotide.
- Phản ứng miễn dịch.
- Yếu tố tâm lý.
Hội chứng thay đổi thích nghi tại chỗ
👉 Vui lòng đăng nhập để xem tiếp.


Bài viết liên quan
Phục hình cho răng đã điều trị nội nha – P1
Sách Nội nha – tập 2
Sách nội nha – tập 1