Bảo tồn tủy sống cho răng vĩnh viễn chưa đóng chóp rất quan trọng đối với sự hình thành và phát triển chân răng. Thành ngà chân răng mỏng sẽ làm chân răng dễ gãy.
Cvek (1992) đã thực hiện một nghiên cứu cho thấy tỉ lệ gãy chân răng tăng đáng kể ở những răng chưa trưởng thành mà đã được điều trị nội nha (H17.1, 17.2).
Hình 17.1. Chân răng cửa giữa hàm trên bên phải bị gãy sau khi điều trị đóng chóp thành công với canxi hydroxit và trám bít ống tủy bằng gutta percha. (a) Phim trước điều trị cho thấy lần điều trị trước kia với gutta percha ở răng cửa giữa trái không thành công. (b) Điều trị kích thích tạo chóp răng cửa giữa phải thành công. Răng cửa giữa trái được trám bít ống tủy bằng gutta percha và sau khi được cắt chóp.
Hình 17.1. (c) 18 tháng sau. Răng cửa phải được trám bằng gutta percha. Tổn thương quanh chóp răng cửa trái đang lành. (d) Gãy răng cửa giữa bên phải 3 tháng sau. Răng cửa trái tiếp tục lành thương bình thường.
Hình 17.2. Gãy chân răng cửa giữa trái hàm trên sau khi điều trị đóng chóp bằng canxi hydroxit. (a) Phim trước điều trị răng tủy hoại tử và chân răng chưa hoàn tất. (b) Ống tủy được làm sạch và trám bít bằng canxi hydroxit. (c) 18 tháng sau, chóp răng đã đóng nhưng trước khi ống tủy được trám bít bằng gutta percha thì xảy ra một chấn thương khác dẫn đến gãy chân răng và phải chỉ định nhổ.
Che tủy trực tiếp (H17.3) và lấy tủy buồng cũng giúp bảo tồn tủy sống bằng cách sử dụng thuốc đắp lên phần tủy lộ.
Hình 17.3. Đóng chóp và hình thành chân răng sau khi che tủy ở răng cửa giữa hàm trên. (a) X quang cho thấy răng cửa giữa trái bị gãy lộ tủy. Chú ý chân răng chưa phát triển hoàn tất. (b) Che tủy trực tiếp bằng MTA và trám kết thúc bằng composite. (c) 4.5 năm sau cho thấy cầu ngà và chân răng đã phát triển hoàn tất.
Lấy tủy buồng khác với che tủy trực tiếp ở chỗ là loại bỏ một phần mô tủy trước khi đặt thuốc.
Cvek và Lundberg (1983) đã thực hiện nghiên cứu những răng chưa trưởng thành bị chấn thương và lộ tủy cho thấy viêm và/hoặc nhiễm trùng sẽ bị giới hạn ở bề mặt 2 – 3 mm. Mô tủy bên dưới thường đáp ứng tốt với thủ thuật lấy tủy buồng.
Kích thước tủy lộ và thời gian chấn thương đều không phải là yếu tố quan trọng khi chỉ lấy đi lớp tủy trên bề mặt. Các tác giả cho là không cần thiết lấy đi toàn bộ tủy buồng.
Thủ thuật lấy tủy buồng bán phần này được gọi là lấy tủy buồng Cvek (Cvek, 1993) (H17.4 và 17.5).
Hình 17.4. Lấy tủy buồng Cvek bằng MTA ở răng cửa giữa bên phải. (a) Hình ảnh lâm sàng 4 ngày sau chấn thương thấy răng bị lộ tủy. Răng cửa giữa trái thì lộ tủy còn răng bên phải thì gãy đến phần ngà. (b) Cắt bỏ 3 mm tủy và cầm máu bằng một viên gòn vô trùng. (c) Vị trí cắt tủy sau khi lấy viên gòn đi.
(d) Che vị trí cắt bằng MTA trắng. Phủ một lớp composite mỏng lên trên MTA để bảo vệ lớp MTA trong quá trình đông. (e) Trám kết thúc 2 răng bằng composite.
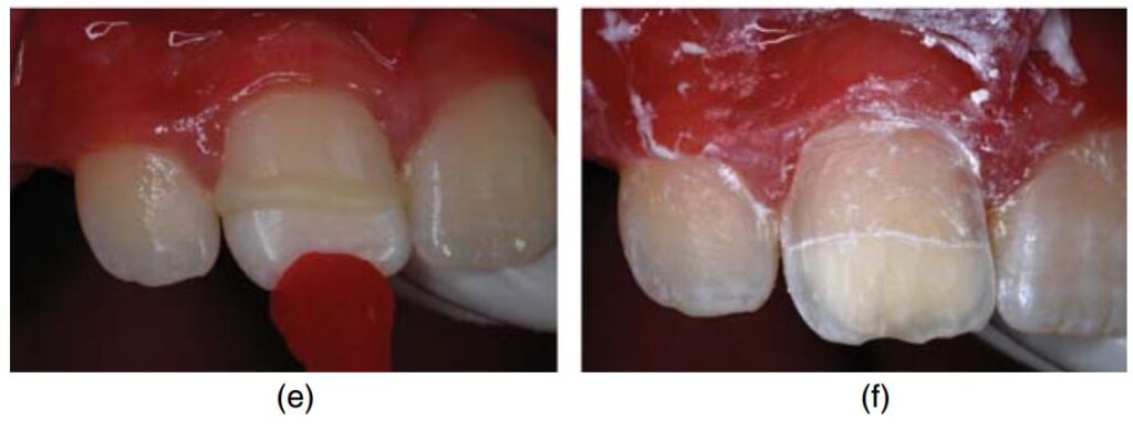
Hình 17.5. Lấy tủy buồng với canxi hydroxit và phục hồi thân răng cửa giữa hàm trên sau chấn thương. (a) Răng chấn thương nhìn từ mặt ngoài. (b) Nhìn từ rìa cắn thấy lộ tủy.
(c) Hình ảnh sau khi lấy tủy buồng và cầm máu. (d) Đặt canxi hydroxit.
(e) Gắn lại phần thân răng gãy bằng cement glass ionomer phối hợp nhựa (RMGI). (f) Mài sửa soạn để chuẩn bị thực hiện veneer composite lên mặt ngoài.
(g) Bôi bond (tự etching). (h) Hình ảnh răng sau 26 tháng.
(i) Hình ảnh X quang 26 tháng sau khi điều trị.
Hiện nay có rất nhiều loại vật liệu khác nhau được sử dụng để che tủy và lấy tủy buồng.
Canxi hydroxit vẫn được sử dụng rộng rãi nhất. Những nghiên cứu gần đây cho thấy MTA cho kết quả điều trị tốt hơn (H17.6 và 17.7).
Hình 17.6. Lấy tủy buồng bằng MTA ở răng cửa giữa hàm trên chưa đóng chóp. (a) X quang 3 tháng sau khi điều trị. Chú ý hình ảnh cầu ngà. (b) X quang 6 tháng sau khi điều trị. Cầu ngà đã dày lên. (c) X quang 3,5 năm sau khi điều trị. Chân răng đã phát triển hoàn tất. Cầu ngà dày nhưng chân răng không thấy dấu hiệu canxi hóa bất thường.
Hình 17.7. Lấy tủy buồng bằng canxi hydroxit ở răng cửa giữa hàm trên chưa đóng chóp. (a) X quang trước điều trị. (b) X quang 12 tuần sau điều trị cho thấy cầu ngà.
(c) X quang 6 tháng sau. (d) X quang 2 năm sau. Chân răng đã phát triển hoàn tất. (e) X quang 3 năm sau. Ống tủy không bị canxi hóa.
Khi lấy tủy buồng Cvek thì chỉ loại bỏ mô viêm, được thực hiện bằng một mũi khoan tròn tay high speed và phun nhiều nước.
Sau khi cắt bỏ mô tủy thì bơm rửa bằng nước vô trùng để loại bỏ mảnh vụn mô.
Chống chỉ định thổi khô buồng tủy vì làm ảnh hưởng đến sự cầm máu. Thực hiện cầm máu bằng cách ép nhẹ miếng gòn ẩm trong 1 – 2 phút. Nếu chảy máu kéo dài thì nên cắt bỏ thêm 1 – 2 mm tủy nữa.
Chống chỉ định sử dụng thuốc cầm máu. Có thể sử dụng gòn tẩm NaOCl để kiểm soát chảy máu.
Theo Akimoto (1998), NaOCl giúp cầm máu tốt và không gây tổn thương mô, không ức chế sự lành thương và sự hình thành cầu ngà.
Đặt một lớp MTA 1 – 2 mm trực tiếp lên buồng tủy. Vì MTA cần 4 – 6 tiếng để đông cứng nên phải trám phủ lên một lớp composite lỏng hoặc GIC mỏng trước khi trám kết thúc.
Thủ thuật kích thích đóng chóp
Khi răng bị hoại tử tủy thì tất cả các thành phần của ngà răng cũng ngừng hoạt động. Nếu điều này xảy ra trước khi răng đóng chóp thì răng sẽ ngừng phát triển với chóp chân răng mở và chân răng rất ngắn.
Nhiều nghiên cứu sau này cho thấy MTA giúp kích thích hình thành mô cứng phía chóp và ít gây viêm nhiễm hơn các loại vật liệu khác (H17.8 và 17.9).
Hình 17.8. Kích thích đóng chóp bằng MTA. (a) Phim trước điều trị cho thấy chân răng chưa hoàn tất, răng bị hoại tử tủy và có tổn thương quanh chóp. (b) Tạo nút chặn chóp bằng MTA 4 mm.
Hình 17.8. (c) Phần ống tủy còn lại được trám bằng composite. (d) X quang 3.5 năm sau. Chóp răng đóng hoàn toàn và sự lành thương của mô quanh chóp. Bệnh nhân đang điều trị chỉnh nha.
Hình 17.9. Kích thích đóng chóp bằng MTA. (a) X quang tại thời điểm điều trị, đặt trâm để đo chiều dài. Chân răng chưa hoàn tất và tổn thương quanh chóp lớn. (b) Nút chặn chóp bằng MTA và phần ống tủy còn lại được trám bằng composite. (c) X quang 2,5 năm sau. Tổn thương quanh chóp đã lành thương và chóp răng đã đóng.
Hình 17.10. Sự lành thương răng cửa giữa hàm trên có MTA tràn quá chóp. (a) Phim trước điều trị thấy chóp răng chưa đóng và có tổn thương quanh chóp. (b) Hình ảnh X quang sau khi nhồi MTA cho thấy MTA vô tình tràn quá chóp.
(c) Lành thương quanh chóp răng cửa trái và ống tủy được trám bít bằng gutta percha. Răng cửa bên phải thấy có tổn thương quanh chóp. (d) X quang 3 năm sau. Tổn thương quanh chóp ở răng cửa trái hoàn toàn hồi phục, phần MTA quá chóp đã được bao bọc bởi xương. Răng cửa bên phải được trám bít bằng gutta percha và đang lành thương.
Nguồn: Handbook of Clinical Technique in Pediatric Dentistry – Jane A. Soxman.
Bài viết liên quan
Phục hình cho răng đã điều trị nội nha – P1
Sách Nội nha – tập 2
Sách nội nha – tập 1