Trám răng ở trẻ thường được thực hiện trong vòng 5 phút hoặc ít hơn 5 phút và thường không cần gây tê hoặc đặt đê. Loại bỏ phần ngà sâu bằng mũi khoan tròn lớn với tay khoan chậm.





Có thể sử dụng cây nạo ngà, nhưng phải rất cẩn thận vì dễ có nguy cơ thủng vào buồng tủy khi lấy đi một lượng ngà lớn (H1.6).

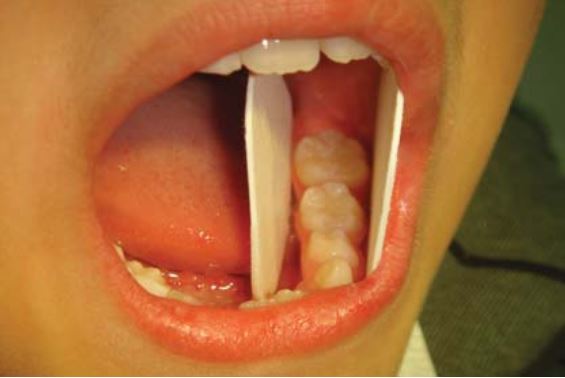
Có thể sử dụng một tấm chặn (dri – angle) để banh má khi trám các răng sau. Khi trám những răng cối sữa hàm dưới thì sử dụng thêm tấm chặn thứ 2 để banh lưỡi (H1.7).

Các loại vật liệu nha khoa dùng trong phòng ngừa và phục hồi có khả năng kết dính với răng bằng hóa học hoặc vi cơ học.
Thuật ngữ “nha khoa kết dính” (adhesive dentistry) được áp dụng cho nhiều loại vật liệu, bao gồm sealant hố rãnh, vật liệu composite, compomer (CO) và hệ thống glass ionomer (trong đó có glass ionomer phối hợp nhựa – RMGI). Các bác sĩ cần nắm rõ chỉ định các loại vật liệu, thuận lợi và hạn chế của mỗi loại để lựa chọn cho chính xác.
Sealant hố rãnh
Mục đích của trám hố rãnh là lấp đầy những khiếm khuyết trên men răng nhằm ngăn không cho vi khuẩn tấn công đến phần sâu nhất của những phần men khiếm khuyết đó.
Sealant giúp ngăn ngừa sâu hố rãnh ở răng cối vĩnh viễn ở trẻ. Răng cối vĩnh viễn mới mọc thường xốp và dễ bị sâu. Men răng trưởng thành sau 62 tháng kể từ khi mọc. Trám sealant càng sớm càng giúp giảm tỉ lệ sâu hố rãnh. Nguy cơ sâu răng cao nhất là trong năm đầu tiên kể từ khi mọc răng.
Phát hiện sâu răng
Dùng thám trâm rà dọc theo các rãnh để phát hiện bất thường men răng sau khi rửa sạch mảng bám. Strassler (2005) nhận thấy laser huỳnh quang có thể phát hiện sâu răng chính xác đến 90%. Thiết bị laser huỳnh quang sử dụng tia laser quét bên dưới lớp men để phát hiện những phần men khiếm khuyết. Có thể hướng dẫn trợ thủ sử dụng thiết bị để tiết kiệm thời gian cho bác sĩ.
Kiểm soát nước bọt
Miếng trám sealant bị bong thường do cách li nước bọt không tốt khi trám. Cách li có thể thực hiện với đê cao su, gòn cuộn, tấm chặn (dri –angle), tấm cắn Parkell, Isolite hoặc Isodry, Blue Boa (H9.1 – 9.4a,b).




Do khó kiểm soát nước bọt ở trẻ nên thường sử dụng Adper Prompt L-Pop (3M – ESPE) vì nó có khả năng bond tự etching.
Etching/primer
Bề mặt răng nên có màu trắng đục, dạng phấn trắng sau khi etching đúng và thổi khô (H9.5).

Bonding
Để tăng lưu giữ, nhiều tác giả khuyên nên bonding giữa lớp sealant và lớp men đã etching. Bôi lớp bond mỏng, thổi nhẹ, bơm tiếp lớp sealant rồi chiếu đèn để 2 lớp được trùng hợp thành một lớp.
Răng mọc lên chưa hoàn toàn
Trám sealant cho những răng này thường khó vì khó cách li, do đó khuyến cáo trám bằng các vật liệu ưa nước như GIC hoặc sealant GIC (Vitrebond). Răng được theo dõi liên tục cho đến khi mọc lên hoàn toàn, lúc đó sẽ thay lớp GIC bằng sealant.
Sửa soạn bề mặt răng
Mở rộng hố rãnh bằng mũi tròn #2 trước khi bơm sealant đôi khi được khuyến cáo để tăng bề mặt kết dính hoặc loại bỏ mô răng sâu (H9.6).

Chiếu đèn
Chiếu đèn không đúng có thể làm ảnh hưởng đến sự lưu giữ của miếng trám. “Sealant trong” thì trùng hợp tốt hơn “sealant đục” (Yu, 2009). Đèn trám nên chạm vào đỉnh múi để đảm bảo sealant trùng hợp hoàn toàn (H9.7).

Mỗi loại vật liệu đều có những thông tin về bước sóng riêng biệt để kích hoạt.
Theo dõi và tái khám
Nên thông báo cho bố mẹ trẻ về những yếu tố ảnh hưởng đến sự lưu giữ miếng trám như: vệ sinh răng miệng, men răng thiểu sản, nghiến răng, ăn thức ăn cứng và mức độ nhạy cảm với sâu răng.
Bơm sealant vào hố rãnh tránh phần múi răng sẽ giúp lưu giữ tốt hơn (H9.8).

Vật liệu composite
Khi chỉ định trám bằng composite cần chú ý đến độ hợp tác của trẻ.
Composite được cho là thích hợp trám xoang I, II và V răng cối sữa. Vật liệu composite rất nhạy cảm với độ ẩm do đó cách li tốt là một trong những điều kiện mấu chốt để thành công. Nhạy cảm sau khi trám thường được ghi nhận khi bonding lên ngà răng mà trước đó không có lớp nền hay lớp lót. Có thể hạn chế nhạy cảm sau trám bằng cách trám lót glass ionomer hoặc liner trước khi etching và bonding.
Chống chỉ định composite cho những bệnh nhân có nguy cơ sâu răng cao, bệnh nhân không hợp tác hoặc khó chịu khi đặt cách li.
Compomer
Compomer là vật liệu composite phối hợp thêm polyacid. Do nó có nguồn gốc nhựa nên cách li cũng là yếu tố rất quan trọng. Việc sử dụng compomer có vẻ như không đem lại kết quả tốt hơn so với sử dụng composite.
Cement glass ionomer phối hợp nhựa (RMGI)
Vật liệu glass ionomer kết dính vào men và ngà bằng hóa học, có khả năng phóng thích fluoride ra mô răng lân cận, hệ số giãn nở nhiệt tương đương răng, tương hợp sinh học, ít nhạy cảm với độ ẩm hơn composite và compomer.
Tuy nhiên glass ionomer không có các đặc tính vật lí tốt, kháng mòn kém, do đó hạn chế sử dụng đơn độc khi trám xoang I hoặc V. Glass ionomer có thể được sử dụng trám lót bên dưới lớp composite, giúp kết dính tốt với răng và phóng thích fluoride.
Glass ionomer độ nhớt cao thường được lựa chọn để trám răng vì dễ sử dụng và có nhiều đặc tính vật lí tốt. Glass ionomer phóng thích fluoride tại chỗ, tính thẩm mỹ tương đối tốt, sử dụng được trong môi trường ẩm, dính vào răng bằng hóa học và trùng hợp bằng hóa học.
Trám GIC bằng con nhộng hoặc bằng súng giúp giảm đáng kể thời gian làm việc.
Sau khi đặt GIC vào xoang, sử dụng ngón tay ép xuống để loại bỏ phần dư (H1.8).

Đánh bóng thường không cần thiết. Lựa chọn vật liệu trám có thời gian đông cứng nhanh để đảm bảo hoàn tất việc trám răng trên ghế trong thời gian ngắn nhất.
Vật liệu glass ionomer phối hợp nhựa (RMGI) được khuyên chỉ định cho xoang I, II và V, vì nó có những ưu điểm của glass ionomer cổ điển. Việc phối hợp thêm nhựa giúp cải thiện nhiều đặc tính vật lí như kháng gãy, kháng mòn và tăng thẩm mĩ.
RMGI trùng hợp bằng đèn và bằng phản ứng hóa học giữa acid và base. Thế hệ vật liệu mới nhất hiện nay là “nano – ionomer” (Ketac Nano, 3M ESPE).
Trám răng bằng RMGI cũng cần cách li tốt, tuy nhiên nó ít gây nhạy cảm và thời gian làm việc ngắn hơn so với vật liệu composite. Đây là yêu cầu rất quan trọng khi điều trị răng trẻ em.
Hình 4.2a đến 4.4g minh họa trám răng cối sữa bằng RMGI.






Nguồn: Handbook of Clinical Technique in Pediatric Dentistry – Jane A. Soxman.






Bài viết liên quan
Sử dụng composite lỏng trong nha khoa – P6
Sử dụng composite lỏng trong nha khoa – P5 – Phục hồi răng trực tiếp bằng composite lỏng
Sử dụng composite lỏng trong nha khoa – P7