Xem lại phần 1 và 2 tại đây.
Các thay đổi về vị trí mắc cài theo chiều dọc trong những trường hợp đặc biệt
Vị trí mắc cài theo chiều dọc được thay đổi trong một số trường hợp đặc biệt để mang lại khớp cắn phù hợp và tính thẩm mỹ tối ưu hơn khi kết thúc điều trị.
Dưới đây là một số tình huống lâm sàng trong đó khuyến nghị thay đổi vị trí mắc cài:
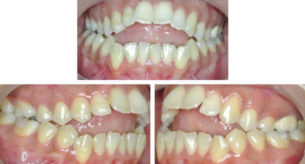
1. Cắn hở
Trong các trường hợp cắn hở nếu kế hoạch điều trị không phẫu thuật thì nhiều bác sĩ khuyên nên gắn mắc cài về phía nướu nhiều hơn ở những răng đang cắn hở. Trong hầu hết các trường hợp cắn hở, chỉ có răng cửa hàm trên góp phần gây ra cắn hở và do đó thay đổi vị trí mắc cài chỉ nên thực hiện ở hàm trên. Nhưng nếu hàm dưới có đường cong Spee ngược thì cũng nên thay đổi vị trí mắc cài cho cả hàm dưới.
Alexander đề xuất với các trường hợp cắn hở phía trước, răng cắn hở nên được gắn mắc cài về phía nướu nhiều hơn 0,5 mm trong khi những răng không bị cắn hở thì gắn nhiều hơn về phía mặt nhai 0,5 mm hoặc gắn ở độ cao bình thường nếu sử dụng hệ thống MBT.


2. Cắn sâu
Trong trường hợp cắn sâu, mắc cài được gắn theo các quy tắc ngược lại với cắn hở. Trong hệ thống MBT răng có cắn sâu được gắn về phía rìa cắn thêm 0,5 mm.

3. Cạnh răng cửa không đều
Nếu có cạnh răng cửa không đều hoặc đỉnh múi dài, bác sĩ có thể áp dụng 3 lựa chọn sau để xử lý:
- Mài chỉnh lại rìa cắn hoặc đỉnh múi trước khi gắn mắc cài.
- Mài chỉnh lại rìa cắn hoặc đỉnh múi sau khi kết thúc điều trị.
- Trám composite các rìa cắn và đỉnh múi.
Lý tưởng nhất là răng nên được mài chỉnh hình dạng lại trước khi gắn mắc cài.
Nếu răng đã được điều chỉnh hình dáng lại trước khi điều trị chỉnh nha thì không cần phải thay đổi chiều cao mắc cài. Nhưng nếu dự định điều chỉnh hình dáng răng sau khi kết thúc điều trị chỉnh nha thì cần thay đổi độ cao mắc cài khi gắn.

4. Đỉnh múi răng nanh quá dài
Trong trường hợp đỉnh múi răng nanh dài, tốt hơn nên gắn mắc cài về phía nướu nhiều hơn 0,5mm so với giá trị tiêu chuẩn và mài chỉnh lại đỉnh múi răng nanh khi kết thúc điều trị. Cũng có thể mài chỉnh lại đỉnh múi răng nanh trước khi bắt đầu điều trị và vẫn gắn mắc cài ở vị trí lý tưởng. Đỉnh múi răng nanh dài thường thấy ở những răng nanh bị lệch ngầm.

Độ nhô của răng nanh được giữ lại để phù hợp với tình trạng tái phát theo chiều dọc vì răng nanh ở vị trí cao trong cung răng. Để nguyên đỉnh múi răng nanh như vậy và gắn mắc cài ở vị trí bình thường sẽ để lại những vùng khớp cắn hở nhỏ ở phía trong và phía xa của răng nanh.
5. Răng nanh bị mòn
Trong trường hợp răng nanh bị mòn, mắc cài được gắn thêm về phía nướu 0,5 – 1 mm, tùy thuộc vào mức độ mòn răng. Đỉnh múi răng nanh được mài chỉnh lại khi kết thúc điều trị.
Gắn mắc cài về phía nướu nhiều hơn sẽ kéo răng nanh trồi xuống. Khi đó, phần cingulum dày của răng nanh sẽ tiếp xúc với răng hàm dưới và ngăn cản chuyển động đi xuống nữa của răng nanh. Do đó trên lâm sàng tốt nhất là mài chỉnh lại phần mặt trong của răng nanh, nếu không sẽ dẫn đến khớp cắn kém và tiếp xúc sớm.

6. Răng mọc lệch cao
Các răng nằm ở vị trí lệch cao nên được gắn mắc cài cao hơn vị trí khuyến nghị từ 0,5 đến 1mm để bù trừ tái phát. Răng càng cao trong cung hàm thì hệ số tái phát càng cần được thêm vào.

7. Tụt nướu
Những răng bị tụt nướu lên tới 1,5 mm có thể được gắn mắc cài nhiều hơn về phía nướu để khi kết thúc điều trị, viền nướu của chúng sẽ có độ cao lý tưởng. Nhưng rìa cắn hoặc cạnh mặt nhai cần được mài chỉnh lại cho đều nhau. Ở những răng bị tụt nướu trên 1,5 mm, nên tham khảo ý kiến của bác sĩ nha chu và nhiều khi ghép nướu là một lựa chọn khả thi hơn là thay đổi vị trí mắc cài.
Tầm quan trọng của vị trí mắc cài theo chiều dọc
Vị trí của mắc cài theo chiều dọc có liên quan đến độ torque của mắc cài. Sự thay đổi vị trí theo chiều dọc sẽ có tác động nhỏ lên độ torque của các răng có mặt ngoài gần như phẳng (chẳng hạn như răng cửa) trong khi các răng có mặt ngoài lồi như răng nanh và răng cối nhỏ thì có ảnh hưởng lớn nếu thay đổi vị trí mắc cài theo chiều dọc. Hình 7.9 mô tả sơ đồ sự thay đổi mắc cài theo chiều dọc và ảnh hưởng của nó đến vị trí chân răng.

Thước định vị mắc cài (thước đo mắc cài)
Thước đo mắc cài được sử dụng để đảm bảo độ chính xác theo chiều dọc của mắc cài trên răng. Có nhiều loại dụng cụ khác nhau đã được khuyến nghị để kiểm tra độ chính xác theo chiều dọc của mắc cài, từ cây đo túi nha chu đến thước đo nhưng trong chỉnh nha hiện đại, có 2 loại thước đo hoặc các biến thể của chúng được sử dụng nhiều nhất là:
- Thước đo mắc cài hình ngôi sao hoặc thước đo Boone.

2.Thước đo mắc cài hình que thẳng hoặc thước Dougherty.


Thước đo thẳng là loại được nhiều bác sĩ chỉnh nha yêu thích.
Cấu tạo thước đo mắc cài
👉 Vui lòng đăng nhập để xem tiếp.

Bài viết liên quan
Thẩm mỹ và cơ học sinh học trong chỉnh nha – P12 – Đánh giá thẩm mỹ trong chỉnh nha
Thẩm mỹ và cơ học sinh học trong chỉnh nha – P11 – Đánh giá thẩm mỹ trong chỉnh nha
Thẩm mỹ và cơ học sinh học trong chỉnh nha – P10 – Đánh giá thẩm mỹ trong chỉnh nha