April 29, 2026

NhasiUpdate

Chuyên trang RHM

Đơn giản hóa các thủ thuật nha khoa bằng cách sử dụng đúng cách keo dán nha khoa

GIỚI THIỆU

Nha khoa liên tục trải qua nhiều thay đổi mạnh mẽ theo nhiều cách. Một trong những thay đổi quan trọng nhất là sự phát triển của các vật liệu nha khoa tiên tiến, bao gồm cả chất dán. Ba thập kỷ trước, hầu hết các phục hình phải được lưu giữ bằng ma sát và các lưu giữ cơ học. Bác sĩ phải mất khá nhiều thời gian để mài cắt, sửa soạn cùi răng với độ thuôn thích hợp để đảm bảo các phục hình sẽ bám chặt vào răng. Những cùi răng như vậy đòi hỏi phải loại bỏ nhiều cấu trúc răng khỏe mạnh để đạt được các thiết kế hình học; dễ hiểu là việc phải mài thêm nhiều mô răng đôi khi dẫn đến tình trạng nhạy cảm sau điều trị nhiều hơn và khả năng phải điều trị tủy không mong muốn.

Ngoài ra, các vật liệu nha khoa cũ hơn như amalgam, cần có độ dày nhất định để có đủ độ bền hoặc phục hình sứ-kim loại (PFM) có sứ phủ lên trên lớp sườn kim loại để tăng độ bền, cần nhiều khoảng hơn, độ dày tối thiểu từ 1,5 đến 2 mm; càng đòi hỏi phải loại bỏ nhiều cấu trúc răng lành hơn nữa.

Xi măng nha khoa chủ yếu là chất gắn không có khả năng bám chặt vào răng hoặc vật liệu phục hồi, nên khi sử dụng thì thường phải mài cùi răng đảm bảo hình học.

Trên những răng bị hư hỏng nặng, cần phải sử dụng chốt và cùi giả để tạo hình dạng cùi răng mong muốn. Ngoài ra, sứ thế hệ cũ yếu và có độ đàn hồi hạn chế, đôi khi cần phải tốn thời gian tạo hình để cải thiện kết quả thẩm mỹ. Do đó dẫn đến các thủ thuật nha khoa tốn thời gian, phức tạp và khó tiên lượng về lâu dài, thường dẫn đến phải nhổ răng quá nhiều, tình trạng nhạy cảm sau điều trị và đôi khi là điều trị tủy ngoài dự kiến.

Trong thời đại khai sáng ngày nay của ngành nha khoa, khi mà hầu hết các vật liệu nha khoa cũ đã được thay thế bằng các chất dán tinh vi và tiên tiến về mặt công nghệ: xi măng; sứ siêu bền và thẩm mỹ cao; vật liệu composite, liệu chúng ta có thể nói rằng điều trị nha khoa có thể nhanh hơn, dễ hơn, ít đau hơn, đẹp hơn, không có vấn đề gì và bền hơn so với thời gian trước đây không?

Câu trả lời thường là không, chủ yếu là do nha khoa dán không được sử dụng đúng cách hoặc không phát huy được hết công suất.

Có 3 điều khiến nha khoa không dán không được phát huy là: (1) thiếu sự tin tưởng và hiểu biết về sự kết dính; (2) đường viền dưới nướu và tuân thủ các nguyên tắc sửa soạn cũ và (3) các nhóm giảng dạy kỹ thuật cực kỳ phức tạp đã khiến bác sĩ không còn sử dụng nha khoa kết dính, như nhóm mô phỏng sinh học.

Hai trường hợp lâm sàng dưới đây sẽ chứng minh cách thức kỳ diệu của nha khoa dán có thể và nên được ứng dụng giúp điều trị nha khoa trở nên dễ dàng hơn cho bệnh nhân và bác sĩ lâm sàng đồng thời cũng nhanh hơn, đẹp hơn và bền hơn. 

 

KẺ THÙ CỦA NHA KHOA DÁN

Đầu tiên, sự thiếu tin tưởng và hiểu biết về nha khoa dán làm mất đi khả năng của nha sĩ và bệnh nhân trong việc tận dụng sức mạnh của chất dán.

Một phép so sánh đơn giản về việc không hưởng lợi từ chất dán sẽ giống như việc khoan một lỗ trên tường và sử dụng neo hoặc đinh để treo một khung tranh trong khi chúng ta có thể sử dụng một móc dính 3M ​​Command có thể được dán vào tường trong vài giây và giữ khung tranh một cách dễ dàng.

Tương tự như vậy, một nha sĩ có thể dành 30 phút để khoan cắt đi cấu trúc răng khỏe mạnh để tạo ra sự lưu giữ, tạo ra các vùng lẹm, rãnh lưu, ferrule hoặc cùi giả để tăng lưu giữ cơ học trong khi chất kết dính có thể thay thế ngay lập tức tất cả những điều trên. 

Thứ hai, nhiều nha sĩ có những câu chuyện về việc phục hình dán bị rơi ra hoặc rò rỉ, và điều này đã khiến họ từ bỏ phục hình dán, đẩy họ trở lại kỷ nguyên lưu giữ cơ học. Kẻ thù số một của nha khoa dán là chảy máu và nhiễm bẩn vùng dán, ảnh hưởng nghiêm trọng đến độ bám dính và độ khít kín.

Sử dụng các kỹ thuật trên nướu sẽ ngăn ngừa chảy máu nướu và giúp nha khoa dán dễ dàng hơn. Nhiều khi có thể dán phục hình trên nướu mà không cần phải đặt đê cao su.

Thứ ba, nha khoa dán ít phổ biến hơn nhiều vì một số học viện và học giả nổi tiếng đã biến nha khoa dán trở thành một thứ gì đó rất khó khăn, phức tạp và tốn thời gian, do đó khiến nhiều nha sĩ không muốn theo đuổi nó. Những yêu cầu như cách ly đê cao su bắt buộc, sử dụng các dụng cụ siêu âm để tạo ra các cạnh vát hoàn hảo, trám lót để lấp đầy xoang sâu, dán ngà tức thì (IDS) và các quy trình khác đòi hỏi nhiều công sức và hữu ích ở mức độ thấp mà các học giả coi là “không thể thiếu để đạt được kết quả tốt nhất” là không thực tế. “Kết quả tốt nhất” này là một nhiệm vụ khó nắm bắt, không cần thiết và thường không thể đạt được.

Liệu tất cả chúng ta có cần phải mang theo máy ảnh SLR Nikkon 10 pound (hơn 4kg) và ống kính đặc biệt và mất 2 giờ để dàn dựng bối cảnh hoàn hảo để có được “bức ảnh đẹp nhất” trong khi chúng ta có thể sử dụng iPhone 16 và chụp những bức ảnh gần như vậy chỉ trong vài giây không? Thông thường thì là không. 

 

LỢI ÍCH CỦA NHA KHOA DÁN

Cũng giống như sự kết dính và công nghệ đã giúp việc treo khung hoặc chụp ảnh trở nên nhanh hơn và dễ dàng hơn nhiều, khi được sử dụng đúng cách, nha khoa dán sẽ giúp điều trị nha khoa dễ dàng hơn, nhanh hơn, dễ dự đoán hơn và ít nhạy cảm hơn.

Nha khoa dán ít gây ra tổn thương phụ hơn so với phục hình lưu giữ bằng cơ học truyền thống, mang lại lợi ích cho cả bác sĩ lâm sàng và bệnh nhân. Dưới đây là 2 trường hợp minh họa cho những sự thật này.

 

BÁO CÁO CA LÂM SÀNG

Ca lâm sàng 1

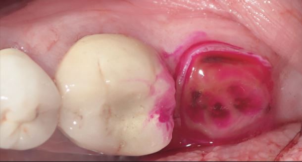
Một bệnh nhân nữ 75 tuổi đến khám vì thân răng bị gãy ở răng cối lớn thứ hai hàm dưới (Hình 1).

 

Hình 1. Thân răng bị gãy gần tới ngang nướu.

 

Nhiều tình trạng sức khỏe của bệnh nhân lớn tuổi khiến bà rất lo lắng về việc gây tê và nhạy cảm hơn với các thủ thuật nha khoa kéo dài và đau đớn. Bệnh nhân được trấn an rằng bằng cách sử dụng nha khoa dán, sẽ phải khoan răng rất ít đến mức có thể thực hiện mà không cần gây tê. Phương pháp điều trị được chỉ định là phục hình dán, 5 bề mặt mà không có bất kỳ sự lưu giữ cơ học nào. Bệnh nhân đã chấp nhận phương pháp điều trị.

 

Quy trình này minh họa hoàn hảo những ưu điểm của nha khoa dán. Không cần sự lưu giữ cơ học hoặc ferrule, quá trình mài sửa soạn chỉ giới hạn ở việc loại bỏ mô răng  sâu và đảm bảo khoảng hở cho vật liệu sứ đã chọn: IPS e.max HT (Ivoclar).

Sử dụng chất phát hiện sâu răng Caries Detector (Kuraray) để đánh giá xem có bất kỳ ngà răng hoặc men răng nào bị mất khoáng nhiều không (Hình 2) và không phát hiện thấy sâu răng nào.

 

Hình 2. Chất phát hiện sâu răng (Kuraray) được sử dụng để phát hiện ngà răng và men răng bị mất khoáng nặng.

 

Sau đó, có thể lấy dấu bằng Panasil (Kettenbach). Nhưng trong trường hợp bệnh nhân này, cùi răng đã được scan bằng Máy scan 3Shape. Không có phục hình tạm nào được thực hiện vì răng không ê buốt, bệnh nhân đã quen với việc mất phần thân răng và không có nhiều chuyển động được dự kiến ​​vì thân răng đã mất một thời gian. Tuy nhiên cũng có thể làm mão tạm để ngăn ngừa mất khoảng nếu thời gian chế tác phục hình quá lâu.

 

Phục hình sau cùng được chế tác tại labo (Studio City, California) và quy trình gắn xi măng cũng đơn giản như quá trình sửa soạn.

Sau khi đảm bảo các điểm tiếp xúc chính xác, bề mặt lõm của phục hình được etching bằng axit hydrofluoric đệm, Porcelain Etch 9% (Ultradent) trong 20 đến 25 giây, rửa kỹ bằng nước và làm khô.

Tiếp theo là bôi keo lót có chứa MDP (Kuraray) lên bề mặt bên trong. Không cần thêm bước nào cho sứ.

Vì răng đã tiếp xúc với môi trường trong miệng nên phải vệ sinh thật kỹ trước khi gắn. Đầu tiên, làm sạch tạp chất bằng Consepsis Scrub (Ultradent) và đài cao su. Ngoài ra, một số tác giả thích sử dụng mũi khoan kim cương thô để cạo hoặc chà xát nhẹ bề mặt và trong một số trường hợp, loại bỏ xi măng tạm còn sót. Sau khi răng được làm sạch đúng cách, men răng được etching chọn lọc bằng axit photphoric 35% Ultra-Etch (Ultradent) trong 10 giây, rửa kỹ bằng nước và làm khô.

Ngay sau khi rửa và lau khô, tránh nhiễm nước bọt bằng cách ngay lập tức chèn gòn để cách ly. Nếu đã chuẩn bị dụng cụ vật liệu đầy đủ và có một trợ thủ nha khoa được đào tạo bài bản, các bước gắn xi măng tiếp theo sẽ mất khoảng 2 phút, làm giảm thời gian cần thiết phải duy trì việc cách ly.

Khi răng đã được cách ly tốt, bôi lớp keo lót hoặc chai CLEARFIL SE Protect (Kuraray) đầu tiên trong 20 đến 25 giây, bôi lên toàn bộ khu vực cần dán, bao gồm cả men răng, sau đó làm bay hơi dung môi thích hợp bằng cách thổi hơi nhẹ. Sau đó, chai keo dán thứ hai sẽ được bôi 1 lớp mỏng lên men răng và ngà răng nhưng chưa trùng hợp đông cứng.

Xi măng nhựa (Panavia V5 [Kuraray]) sẽ được bôi vừa đủ lên phục hình và sau đó phục hình sẽ được đặt cố định lên răng. Cần loại bỏ phần xi măng thừa, sau đó là chiếu đèn sơ qua ở mặt ngoài và tương tự ở mặt trong. Mục đích là để tránh làm đông cứng quá mức để việc loại bỏ xi măng trở nên đơn giản.

Ngoài ra, quá trình làm đông cứng một phần xi măng nhựa bằng đèn sẽ làm giảm co ngót trùng hợp,  là kẻ thù quan trọng của độ bám dính. Cần chú ý đảm bảo xi măng cứng trước khi bắt đầu quá trình loại bỏ xi măng thừa và nếu cần, nên thực hiện chiếu đèn nhanh thêm một lần nữa.

Dụng cụ thường được sử dụng để loại bỏ xi măng thừa là lưỡi dao số 12 hoặc là dụng cụ cạo vôi. Nếu chỉ nha khoa không xuyên qua được, sử dụng CeriSaw (DenMat), một dụng cụ không thể thiếu khi gắn xi măng nhựa, vì nó xuyên qua các điểm tiếp xúc trong vài giây nhưng không làm hỏng chúng. Sau khi loại bỏ hoàn toàn xi măng thừa, chiếu đèn lần cuối. Sử dụng KY jelly hoặc Glycerin làm chất ức chế oxy.

 

Bước cuối cùng là điều chỉnh khớp cắn đúng cách bằng 3 quy tắc vàng về khớp cắn. Bệnh nhân rất hài lòng với kết quả và hình thức phục hình, mặc dù nó nằm ở vị trí mà thẩm mỹ không quá quan trọng (Hình 3).

 

Hình 3. Ngay sau khi gắn cố định phục hình trên nướu (lưu ý không chảy máu).

 

Dựa trên kinh nghiệm của nhiều tác giả và các và tài liệu, những phục hình như vậy sẽ tồn tại trong nhiều năm, nếu không muốn nói là nhiều thập kỷ.

 

Ca lâm sàng 2

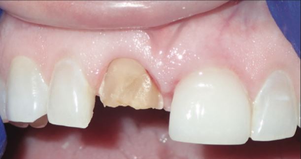
Một bệnh nhân nữ 47 tuổi đến khám vì một mão răng bị gãy khỏi răng cửa hàm trên bên phải và bệnh nhân đã nuốt phải mão răng.

Như có thể thấy trong ảnh chụp và phim X-quang trước điều trị (Hình 4 và 5), có rất ít cấu trúc răng và men răng còn lại.

 

Hình 4. Mão răng bị gãy với cấu trúc răng còn lại tối thiểu.
This content has been restricted to logged-in users only. Please log in to view this content.

🔒 Nội dung tiếp theo chỉ dành cho thành viên.
👉 Vui lòng đăng nhập để xem tiếp.