Xem lại phần 1 tại đây.
PHÂN TÍCH VÀ THIẾT KẾ HÀM KHUNG CHO TRƯỜNG HỢP MẤT RĂNG KENNEDY LOẠI I

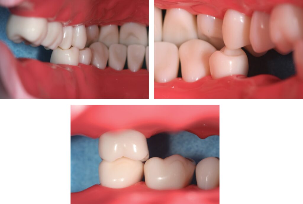
Sử dụng bệnh nhân trong hình trên để làm ví dụ về phân tích và thiết kế cho một tình huống lâm sàng Kennedy loại I, tìm hiểu quy trình thiết kế một hàm khung bằng cách trả lời các câu hỏi sau.
- Có bất kỳ cân nhắc giới hạn khớp cắn nào không?
Vì không có yếu tố hạn chế nào liên quan đến khớp cắn nên bất kỳ triết lý thiết kế hàm giả tháo lắp bán phần (RPD) nào cũng có thể được áp dụng. Vì vậy, chúng ta sẽ thiết kế hàm khung dựa trên triết lý phân bố lực rộng kết hợp với triết lý thiết kế RPI (hình 3.2.2).

- Khoảng phục hình nằm ở đâu?
Mũi tên trắng (hình 3.2.3) chỉ vùng mất răng.

Dựa trên triết lý phân bố lực rộng, xác định vị trí đặt ổ tựa bằng bảng 3.1.2.
Ổ tựa được vẽ trên các răng kế cận khoảng mất răng.

- Vùng lẹm của những răng trụ kế cận khoảng mất răng nằm ở đâu?
Lưu ý sự hiện diện của vùng lẹm mặt gần ngoài và không có vùng lẹm trên mặt xa ngoài của răng trụ 35 (hình 3.2.5).

Lưu ý có vùng lẹm mặt gần ngoài và không có vùng lẹm mặt xa ngoài ở răng trụ 44 (hình 3.2.6).

Sử dụng triết lý phân bố lực rộng, ta sẽ lựa chọn móc dây cho cả R35 và R44.
- Vùng lẹm mô mềm nằm ở đâu?
Lưu ý vị trí của các vùng lẹm mô mềm để xác định xem chúng cho phép sử dụng móc trên đường vòng lớn nhất hay móc dưới đường vòng lớn nhất.
Mặc dù không có vùng lẹm mô mềm nào đáng kể xung quanh R35 hoặc R44 gây trở ngại cho móc dưới đường vòng lớn nhất, nhưng vẫn sử dụng móc trên đường vòng lớn nhất do vị trí vùng lẹm trên răng (hình 3.2.7).

- Các răng trụ hoặc sống hàm có cần được “bảo vệ” khỏi ngoại lực tác động lên hàm khung hay không?
Thông tin này được lấy từ kết quả thăm khám trong miệng. Thiết kế hàm khung Kennedy loại I là sự kết hợp giữa nâng đỡ bởi răng và mô mềm. Nếu có những cân nhắc về nha chu liên quan đến sự ổn định của răng, thì một móc mềm dẻo hơn chẳng hạn như móc dây sẽ nhẹ nhàng hơn cho răng, nhưng sẽ cần nhiều nâng đỡ hơn từ mô mềm.
Phải luôn nhớ rằng, vị trí của vùng lẹm sẽ là yếu tố quyết định việc lựa chọn móc.
Giả sử đối với bệnh nhân này có tình trạng nha chu khỏe mạnh, thì móc dây trên đường vòng lớn nhất là móc được lựa chọn cho cả R35 và R44 do vùng lẹm ở mặt gần ngoài.
- Có cần tăng cường vật giữ gián tiếp bổ sung ngoài những vật giữ trực tiếp không?
Dựa trên phân loại Kennedy loại I đối với triết lý phân bố lực rộng, nên tăng cường thêm vật giữ gián tiếp. Vật giữ gián tiếp nên được định vị vuông góc với đường điểm tựa (trục xoay).
Đường điểm tựa được xác định bằng cách vẽ một đường thẳng đi qua các tựa mặt nhai phía sau nhất của hàm khung (màu đen trên hình 3.2.8a). Các đường màu xanh vẽ vuông góc với đường điểm tựa (hình 3.2.8b) thể hiện vị trí có thể đặt vật giữ gián tiếp.

Tựa gián tiếp có thể được đặt trên R34 hoặc R43. Tựa gián tiếp không cần phải đặt ở cả 2 bên.
Nếu có thể tùy chọn đặt tựa ở phía gần R34 hoặc tựa trên răng nanh thì lựa chọn răng cối nhỏ sẽ phù hợp hơn, nhằm tránh sử dụng tựa rìa cắn không thẩm mỹ hoặc đặt vật liệu composite lên mặt trong răng nanh để tạo ổ tựa cingulum cho răng nanh.
- Loại lưu giữ cơ học nào là tốt nhất cho răng giả?
Vì nền dạng lưới là sự lựa chọn lưu giữ cơ học ưu tiên khi cần phục hồi nhiều răng, nên chỉ khi không thể sử dụng loại lưu giữ này thì mới cần xác định loại khác (hình 3.2.9 và 3.2.10).


- Loại nối chính nào kết nối tốt nhất các thành phần của hàm khung?
Ở hàm dưới, cần tối thiểu 8 mm dưới viền nướu rời để sử dụng thanh lưỡi làm nối chính hàm dưới. Dựa trên khám lâm sàng cũng như trên mẫu hàm, không có đủ 8 mm để đáp ứng yêu cầu này (hình 3.2.11).

Do đó, bản lưỡi được chọn làm nối chính.
- Có cần mài sửa soạn răng cho thiết kế hàm khung này không?
Mài sửa soạn răng được thực hiện là mài ổ tựa nhai xa hai bên, tựa nhai gần trên R34 và mặt phẳng hướng dẫn phía xa trên răng nanh (hình 3.2.12).

Khi chỉ định móc dây, bác sĩ thường viết tắt là “W.W.” trên mẫu hàm ngay bên dưới răng để kĩ thuật viên dễ nhận biết (hình 3.2.13).

Triết lý thiết kế RPI
Việc phân tích và thiết kế hàm khung theo triết lý RPI được mô tả theo các câu hỏi như được nêu trong phần sau, “Phân tích và thiết kế hàm khung Kennedy loại II.”
Triết lý thiết kế RPI có thể được sử dụng với từng phân loại Kennedy từ I đến IV và đáp ứng tất cả các tiêu chí cơ bản cho sự thành công của hàm khung. Trong nhiều trường hợp, việc sử dụng thiết kế móc chữ I có thể đáp ứng nhu cầu thẩm mỹ ở vùng phía trước tốt hơn khi so sánh với móc vòng hoặc móc chữ T hoặc móc 1/2-T cải tiến.
PHÂN TÍCH VÀ THIẾT KẾ HÀM KHUNG CHO TRƯỜNG HỢP MẤT RĂNG KENNEDY LOẠI II
Sử dụng bệnh nhân trong hình dưới đây để tìm hiểu quy trình thiết kế hàm khung bằng cách trả lời các câu hỏi sau.

- Có bất kỳ cân nhắc giới hạn khớp cắn nào không?
Vì không có hạn chế về khớp cắn nên triết lý thiết kế hàm khung nào cũng có thể được sử dụng. Do đó, trước tiên ta sẽ thiết kế hàm khung theo triết lý phân bố lực rộng rồi sau đó là triết lý thiết kế RPI.

- Khoảng mất răng nằm ở đâu?
Các mũi tên trắng chỉ vùng mất răng.

Dựa trên triết lý phân bố lực rộng, xác định vị trí tựa theo bảng 3.1.2.
Ổ tựa được vẽ trên các răng kế cận khoảng mất răng.

- Vùng lẹm ở những răng kế cận khoảng mất răng nằm ở đâu?
Lưu ý có hay không có vùng lẹm ở mặt gần ngoài, giữa ngoài và xa ngoài của các răng trụ tương lai (hình 3.3.5).

Dường như có vùng lẹm ở phía gần ngoài và xa ngoài R35, cho phép chọn móc dây hoặc móc 1/2-T cải tiến. Các yếu tố quyết định loại móc nào dựa trên sự hiện diện của vùng lẹm mô mềm và tình trạng của các cấu trúc nâng đỡ (câu hỏi số 4 và số 5).

R44 dường như có cả vùng lẹm phía gần ngoài và xa ngoài. R47 hơi nghiêng về phía gần nên có vùng lẹm rất rõ ràng ở phía gần ngoài, còn vùng lẹm phía xa ngoài thì không rõ lắm.
Mặc dù bác sĩ không sử dụng song song kế trong quy trình thiết kế này, nhưng kỹ thuật viên labo sẽ sử dụng song song kế trong quá trình chế tác để xác định vị trí chính xác của các vùng lẹm.
Nếu không có vùng lẹm phía xa R47 thì tại thời điểm này, có ba lựa chọn: thiết kế hàm khung bằng cách sử dụng vùng lẹm phía gần, đánh giá mặt xa trong của răng để tìm vùng lẹm hoặc mài tạo vùng lẹm phía xa ngoài ở R47
- Vùng lẹm mô mềm nằm ở đâu?
Lưu ý vị trí của các vùng lẹm mô mềm để xác định xem chúng cho phép sử dụng móc trên hay dưới đường vòng lớn nhất (hình 3.3.7).

Không có vùng lẹm nào đáng kể quanh R35; tuy nhiên, có một vùng lẹm gần cổ R44 dẫn đến có vấn đề đối với móc dưới đường vòng lớn nhất.
- Các răng trụ hoặc sống hàm có cần được “bảo vệ” khỏi ngoại lực tác động lên hàm khung hay không?
Thông tin này được lấy từ kết quả thăm khám trong miệng. Lựa chọn móc dưới đường vòng lớn nhất khi có đủ khoảng trống phía trên phần mô mềm và không có vấn đề về nha chu.
Vẫn phải nhớ rằng, vị trí vùng lẹm sẽ là yếu tố quyết định việc lựa chọn móc. Giả sử đối với bệnh nhân này có tình trạng nha chu khỏe mạnh, móc dưới đường vòng lớn nhất được lựa chọn cho R35, trong khi móc vòng trên đường vòng lớn nhất được chọn cho R44 và R47.
Lựa chọn móc cho R35 sử dụng thiết kế phân bố lực rộng là móc 1/2-T cải tiến.
- Có cần tăng cường vật giữ gián tiếp bổ sung ngoài những vật giữ trực tiếp không?
👉 Vui lòng đăng nhập để xem tiếp.


Bài viết liên quan
Thực hiện hàm giả hàm dưới toàn hàm hít dính hiệu quả dựa trên khái niệm BPS® – P2
Thực hiện hàm giả hàm dưới toàn hàm hít dính hiệu quả dựa trên khái niệm BPS® – P1
Nguyên tắc thiết kế hàm khung – P1