April 30, 2026

NhasiUpdate

Chuyên trang RHM

Sử dụng composite lỏng trong nha khoa – P5 – Phục hồi răng trực tiếp bằng composite lỏng

Xem lại các phần trước tại đây.

 

CHƯƠNG 3. ỨNG DỤNG PHỤC HỒI TRỰC TIẾP CỦA COMPOSITE LỎNG

 

Có rất nhiều loại composite lỏng thế hệ sau có độ nhớt, tính đồng nhất và đặc tính xử lý khác nhau được sử dụng trong công nghệ dán hiện đại. Hai mươi năm về trước, composite lỏng không có trong danh mục của nha khoa dán.

Ngày nay, các nhà sản xuất chỉ ra rằng phòng khám nha khoa hiện đại sẽ không hoàn thiện nếu không có vật liệu composite lỏng. Các cuộc khảo sát chỉ ra rằng những vật liệu này là vật liệu phục hồi được sử dụng rộng rãi nhất cho nhiều ứng dụng khác nhau vì tính dễ sử dụng cũng như khả năng khít sát bên trong và liên kết với vật liệu dán.

Như đã đề cập trong các phần trước, vật liệu composite lỏng có thành phần phân tử khác nhau và do đó có sự thay đổi về tính chất cơ học, vật lý và quang học. Vì vậy, các bác sĩ phải có kiến thức kỹ lưỡng về một loại composite lỏng cụ thể để đưa ra lựa chọn phù hợp cho từng tình huống lâm sàng riêng lẻ.

Chương này thảo luận rất nhiều ứng dụng lâm sàng trực tiếp cho việc sử dụng các vật liệu composite lỏng khác nhau và mô tả chi tiết từng quy trình.

Phục hồi răng trước và răng sau

Những cải tiến trong công nghệ nhựa, tối ưu hóa các đặc tính vật liệu và phát triển các kỹ thuật cải tiến trong thực hành đã làm cho việc phục hồi bằng composite lỏng trở nên thân thiện và đáng tin cậy hơn. Cho đến gần đây, composite lỏng được chỉ định lâm sàng và được chấp nhận làm vật liệu trám trong các ứng dụng chịu áp lực thấp như lớp lót, sealant, phục hồi phòng ngừa, phục hồi xoang nhỏ.

Tuy nhiên, việc sử dụng các vật liệu composite lỏng lai hạt nano tối ưu hóa được phát triển gần đây (Beautifil Flow Plus, Shofu; Clearfil Majesty ES Flow, Kuraray; G-aenial Universal Flo, GC America; GrandioSO Heavy Flow, VOCO; Grandio Flow, VOCO; và Filtek Supreme Ultra, 3M ESPE) cho phép bác sĩ thực hiện một phục hồi duy nhất có tất cả các đặc tính cơ học được cải thiện, đồng thời sử dụng kỹ thuật phân tầng để tạo ra màu sắc bên trong.

Ngoài ra, các nghiên cứu chỉ ra rằng việc sử dụng composite lỏng sẽ làm giảm vi rò rỉ phục hồi và giảm xuất hiện khoảng trống. Kỹ thuật đắp lớp tăng dần có thể có hiệu quả trong việc giảm tác động của ứng suất co ngót và cải thiện mức độ kín ở viền.

 

Phục hồi xoang I

 

Hình 1. Hình ảnh mặt nhai trước điều trị của các phục hồi composite bị khiếm khuyết trên R46, 47 và có sâu răng tái phát.

 

Hình 2. So màu bằng hệ thống Venus 2-Layer Shade (Heraeus Kulzer) trước khi đặt đê cao su và chọn vật liệu composite lỏng.

 

Hình 3. Quá trình sửa soạn xoang hoàn tất sau khi loại bỏ cấu trúc răng sâu và composite cũ.

 

Hình 4. Sau khi xoi mòn chọn lọc viền men, bôi keo dán self-etch (G-Bond, GC America) và để yên trong 10 giây, thổi hơi trong 5 giây và trùng hợp trong 10 giây bằng đèn LED.

 

Hình 5. Lớp ngà được tạo bằng các lớp composite lỏng màu A3 (G-aenial Universal Flo), sử dụng kỹ thuật phân lớp xiên và mỗi lớp được trùng hợp trong 10 giây bằng đèn LED. Các lớp composite tiếp theo được đặt vào các vị trí giải phẫu cụ thể (sườn nghiêng) để phát triển lõi ngà răng bên dưới.

 

Hình 6. Để tạo màu hố rãnh mặt nhại, sử dụng một lượng nhỏ màu đất son pha loãng (Kolor + Plus, Kerr) và đặt bằng trâm nội nha số 08 (K-File, SybronEndo) vào vùng lõm cuối cùng chưa được trùng hợp và trùng hợp trong 40 giây.

 

Hình 7. Lớp men cuối cùng được phủ lên lõi ngà răng theo từng bước bằng composite lỏng “màu trong”, màu AE (G-aenial Universal Flo), và các đường viền giải phẫu được tạo bằng thám trâm (12/11, Hu-Friedy).

 

Hình 8. Mũi cao su (FlexiPoint, Cosmident) được sử dụng để tạo đường viền và làm phẳng mặt nhai.

 

Hình 9. Lần đánh bóng cuối cùng trên mặt nhai được thực hiện bằng bánh xe lông dê (Soft Goat Hair Brush, Brasseler USA) và bột đánh bóng, với chuyển động ngắt quãng.

 

Hình 10. Hình ảnh mặt nhai sau điều trị cho thấy sự tích hợp hài hòa giữa hình dạng giải phẫu và độ sâu bên trong của màu sắc.

 

Hình 11. Tái khám sau 2 năm và 5 năm. Lưu ý độ mòn nhẹ ở bờ viền R47.

 

Phục hồi xoang II

 

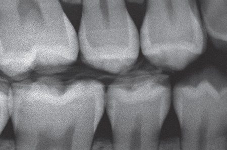
Hình 12. Sâu răng phía xa R35 được phát hiện khi chụp X quang và khám lâm sàng.

 

Hình 13. So màu để xác định công thức màu phục hồi. Tab màu “trong” (Hệ thống so màu 2 lớp Venus) được sử dụng để xác định độ dày thích hợp của ngà và men răng.

 

Hình 14. Sửa soạn xoang hoàn tất.

 

Hình 15. Xoi mòn men trong 15 giây với axit photphoric 37,5% (Gel Etchant, Kerr), rửa sạch trong 5 giây và làm khô. Bôi keo dán trong 20 giây, thổi hơi nhẹ trong 5 giây và trùng hợp trong 20 giây.

 

Hình 16. Composite lỏng màu A3 (Clearfil Majesty) được bơm vào làm lớp lót xoang mặt bên. Composite lỏng được dàn đều bằng dụng cụ có đầu bi (M-1 Ball Burnisher XP, American Eagle) và trùng hợp trong 40 giây bằng đèn LED.

 

Hình 17. Các lớp composite lỏng màu A2 (Clearfil Majesty) tiếp theo được sử dụng làm lớp ngà bằng kỹ thuật đắp lớp xiên. Mỗi lớp được trùng hợp trong 10 giây bằng đèn LED.

 

Hình 18. Bơm lớp men sau cùng. Trong khi vật liệu vẫn còn mềm, các đường viền giải phẫu được điêu khắc bằng thám trâm (12/11). Lớp men sau cùng được trùng hợp trong 40 giây bằng đèn LED.

 

Hình 19. Sau khi loại bỏ khuôn trám, phần composite dư ở mặt bên được loại bỏ bằng lưỡi dao mổ (#12 BD Bard-Parker).

 

Hình 20. Quá trình đánh bóng ban đầu được thực hiện bằng bàn chải silicon cacbua để loại bỏ những khiếm khuyết bề mặt còn sót lại.

 

Hình 21. Bánh xe lông dê và bột đánh bóng kim cương được sử dụng để tinh chỉnh thêm độ bóng bề mặt composite và độ phản xạ bề mặt cao được thực hiện bằng bánh xe vải khô (Cotton Buff Wheel, Brasseler USA ) với chuyển động ngắt quãng.

 

Hình 22. Hoàn tất phục hồi composite và kiểm tra X quang cho thấy sự tích hợp hài hòa giữa composite và cấu trúc răng ở vùng kẽ răng.

 

Phục hồi xoang III

 

Hình 23. Sâu răng ở mặt gần R32, trước điều trị.

 

Hình 24. So màu được thực hiện trước khi đặt đê cao su.

 

Hình 25. Sửa soạn xoang III bằng mũi khoan số 2 tay khoan nhanh và phun nước. Sử dụng tấm bảo vệ kẽ răng bằng kim loại (InterGuard, Ultradent) để ngăn mũi khoan tiếp xúc với bề mặt răng kế bên.

 

Hình 26. Tạo góc vát 0,5 mm ở viền men xung quanh bằng mũi khoan kim cương thuôn nhọn (DET3, Brasseler USA).

 

Hình 27. Etching men chọn lọc bằng gel axit photphoric 37,5% (Gel Etchant) trong 15 giây; rồi rửa sạch trong 5 giây.

 

Hình 28. Keo dán self-ethc (G-aenial Bond, GC America) được bôi lên bề mặt men răng và ngà răng trong 10 giây, thổi hơi nhẹ trong 5 giây bằng máy thổi không khí ấm Adec và trùng hợp trong 10 giây.

 

Hình 29. Đặt khuôn trám nhựa mylar ở vùng kẽ răng để giới hạn và điều chỉnh vật liệu composite phù hợp với bề mặt răng.

 

Hình 30. Composite lỏng màu tẩy trắng (G-aenial Universal Flo BW) được bơm vào xoang, rút đầu bơm lui từ từ vì khuôn trám nhựa mylar đã được điều chỉnh chắc chắn theo đường viền răng và chiếu đèn trùng hợp trong 40 giây. Composite dư sẽ được loại bỏ bằng lưỡi dao mổ (#12 BD Bard-Parker).

 

Hình 31.Vùng kẽ được đánh bóng bằng cách sử dụng dải đánh bóng theo tuần tự theo độ nhám, từ mịn đến siêu mịn (ET Composite Strips, Brasseler USA), cùng với kem đánh bóng.

 

Hình 32. Vùng kẽ răng được kiểm tra bằng chỉ nha khoa để xác nhận tiếp xúc bên chặt và không có composite dư nhô về phía nướu. Sử dụng bánh xe lông dê và kem đánh bóng để tạo độ bóng hoàn hảo bằng chuyển động ngắt quãng.

 

Hình 33. Phục hồi xoang III đã hoàn thành cho thấy hiệu quả của composite lỏng.

 

Phục hồi xoang V

This content has been restricted to logged-in users only. Please log in to view this content.

🔒 Nội dung tiếp theo chỉ dành cho thành viên.
👉 Vui lòng đăng nhập để xem tiếp.

Xin chào. Hãy nhắn tin cho mình nhé!