May 29, 2026

NhasiUpdate

Chuyên trang RHM

Sử dụng composite lỏng trong nha khoa – P7

Xem lại các phần trước tại đây.

 

Dán lại phục hồi sứ-kim loại bị gãy

 

Hình 1. Hình ảnh cầu răng sứ-kim loại bị vỡ một phần sứ ở R13.

 

Hình 2. Trước khi thực hiện quy trình dán, răng nanh được cô lập bằng đê cao su và đặt chỉ co nướu để tách nướu và để giảm khả năng nhiễm bẩn quy trình dán do máu hoặc dịch nướu.

 

Hình 3. Nền kim loại lộ ra được thổi cát để tăng diện tích bề mặt dán.

 

Hình 4. Phần sứ gốc silica của cầu răng được etching trong 2 phút bằng gel axit flohydric đệm 9% (Porcelain Etch). Axit flohydric tấn công pha thủy tinh của vật liệu sứ, hòa tan bề mặt và làm lộ ra các tinh thể silicat trong khung nền.

 

Hình 5. Cấu trúc cổ răng lộ ra từ viền sứ bị gãy được etching trong 15 giây bằng gel axit photphoric 37,5% (Gel Etchant).

 

Hình 6. Bôi silane lên bề mặt sứ đã được etching và thổi hơi nhẹ. Sau đó, bôi keo dán (All-Bond 3, Bisco) lên bề mặt sứ và bề mặt cổ răng rồi thổi hơi nhẹ.

 

Hình 7. Bề mặt bên trong của mảnh sứ gốc silica được etching trong 2 phút bằng gel axit flohydric đệm 9% (Porcelain Etch).

 

Hình 8. Keo dán hỗn hợp bond/silane có chứa MDP (chất kích hoạt liên kết sứ Clearfil trộn với Clearfil SE Bond Primer) được bôi lên mặt trong mảnh sứ đã etching.

 

Hình 9. Composite lỏng màu A2 (GrandioSO Flow, VOCO) được bơm lên mặt trong mảnh sứ.

 

Hình 10. Mảnh sứ được đặt vào vị trí và composite dư được loại bỏ bằng cọ số 0, để lại một lượng dư để bù đắp cho độ co ngót do trùng hợp. Sau đó chiếu đèn trùng hợp từ tất cả các mặt – mặt ngoài, rìa cắn và mặt bên – mỗi mặt 60 giây.

 

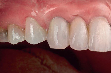
Hình 11. Kết quả điều trị sau cùng phản ánh sự liên kết bề mặt thành công.

 

Ổn định, cố định và bịt kín kẹp đê cao su 

Kẹp đê có thể được đặt trước hoặc sau khi đặt đê cao su. Kẹp đê phải được định vị và ổn định trước khi dán. Quy trình này cô lập các răng liên quan và bịt kín vùng làm việc trong quá trình nội nha hoặc phẫu thuật.

 

Hình 12. Mặt nhai R23 bị gãy với đường viền răng không đủ để duy trì kẹp đê cao su trong quá trình điều trị nội nha.

 

Hình 13. Sau khi kẹp và đê cao su được đặt ổn định, men răng được etching trong 15 giây bằng gel axit photphoric 37,5%, rửa sạch trong 5 giây và làm khô.

 

Hình 14. Keo dán self-etch (G-aenial Bond) được bôi lên men răng và ngà răng ở phần mấu của kẹp và để yên trong 10 giây, thổi hơi nhẹ trong 5 giây và chiếu đèn trong 10 giây.

 

Hình 15. Bơm composite lỏng (G-aenial Universal Flo) và trùng hợp trong 40 giây bằng đèn LED.

 

 

Hình 16. Răng nanh đã được cách ly, đặt đê và kẹp đê đã được cố định chắc chắn cho quy trình nội nha.

 

Gắn các khí cụ chỉnh nha cố định

Kể từ khi Miura và Newman đi tiên phong trong việc dán mắc cài lên men răng, đã có những thay đổi đáng kể về vật liệu được sử dụng để thay đổi hướng của răng, cụ thể là sự chuyển đổi từ mắc cài hàn sang khâu và sang chỉnh nha trong suốt.

Nhu cầu thẩm mỹ của bệnh nhân và bác sĩ chỉnh nha đặt ra yêu cầu cho ngành sản xuất các thiết bị nhỏ hơn và ít nhìn thấy hơn, đồng thời đòi hỏi các kỹ thuật và vật liệu dán cải tiến. Sự liên kết của mắc cài chỉnh nha với men răng, kim loại, sứ và composite đòi hỏi phải có đủ độ bền để chịu được các lực gặp phải trong quá trình nhai và trong quá trình điều trị chỉnh nha.

Việc sử dụng vật liệu composite lỏng nano thế hệ mới có thể mang lại độ bền dán cao hơn và giảm tỷ lệ thất bại khi liên kết với các bề mặt này. Ngoài ra, composite lỏng mang lại tính nhất quán tốt đồng thời giảm khả năng dịch chuyển và vật liệu dư thừa xung quanh mắc cài.

 

Dán mắc cài chỉnh nha

 

Hình 17. Trước khi gắn mắc cài chỉnh nha, mặt ngoài của răng hàm trên được làm sạch bằng pumice, rửa sạch và làm khô.

 

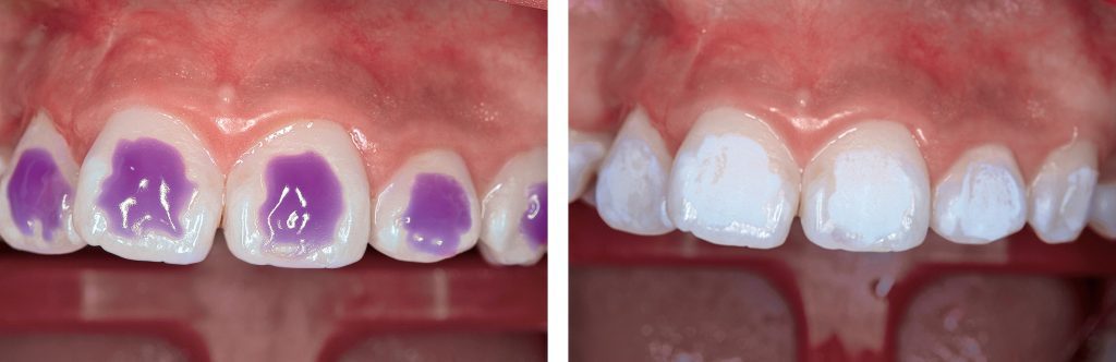
Hình 18. Sau khi xác định vị trí của từng mắc cài, bề mặt men răng được etching bằng gel axit photphoric 37,5% (Gel Etchant) trong 30 giây, rửa sạch trong 5 giây và làm khô.

 

 

Hình 19. Bôi keo dán đa năng (G-Premio Bond) lên mặt ngoài mỗi răng và để yên trong 10 giây, thổi khô nhẹ trong 5 giây và trùng hợp trong 10 giây bằng đèn LED.

 

Hình 20. Composite lỏng màu A1 (G-aenial Universal Flo) được bơm lên mặt ngoài mỗi răng. Sau đó, mỗi mắc cài được định vị chính xác và trùng hợp trong 40 giây bằng đèn LED.

 

Hình 21. Dây cung được đặt vào rãnh của từng mắc cài và cột thun cố định.

 

Dán dây duy trì mặt lưỡi

 

Hình 22. Hàm dưới sau khi tháo mắc cài chỉnh nha. Dán dây duy trì mặt lưỡi để ngăn ngừa tái phát chỉnh nha và cực kỳ có giá trị trong việc ổn định răng bị tổn thương nha chu và răng bị chấn thương. Bề mặt răng phải không có mảng bám, vôi răng và mảnh vụn trước khi dán duy trì mặt lưỡi. Mặt trong các răng hàm dưới được làm sạch bằng pumice, rửa sạch và làm khô.

 

Hình 23. Sau khi các dây buộc cố định được đặt qua các điểm tiếp xúc, gel photphoric 37.5% (Gel Etchant) được bôi lên mặt trong răng nanh trong 15 giây, rửa sạch trong 5 giây và làm khô.

 

Hình 24. Sau đó, bôi keo dán đa năng (G-Premio Bond) lên mặt trong răng nanh và để yên trong 10 giây, thổi khô nhẹ trong 5 giây và trùng hợp trong 10 giây bằng đèn LED.

 

Hình 25. Dây duy trì được cột cố định và ổn định phía trên cingulum các răng bằng dây buộc kẽm.

 

Hình 26. Composite lỏng màu A1 (G-aenial Universal Flo) được bơm lên loop tận cùng của dây duy trì và bề mặt răng, tạo đường viền và làm mịn bằng cọ, rồi trùng hợp trong 40 giây.

 

Hình 27. Dây duy trì chỉnh nha mặt trong được gắn hoàn chỉnh.

 

Loại bỏ nhạy cảm cổ răng

This content has been restricted to logged-in users only. Please log in to view this content.

🔒 Nội dung tiếp theo chỉ dành cho thành viên.
👉 Vui lòng đăng nhập để xem tiếp.