April 17, 2026

NhasiUpdate

Chuyên trang RHM

Sử dụng composite lỏng trong nha khoa – P6

Xem lại các phần trước tại đây.

 

Mock-up composite

Mock-up composite là một công cụ tuyệt vời giúp bệnh nhân hiểu biết về quy trình lâm sàng thông qua nguyên mẫu trực quan. Nguyên mẫu composite này cho phép bệnh nhân và nhóm phục hồi (tức là bác sĩ phục hình và bác sĩ phẫu thuật) thiết lập các thông số về hình dáng môi, chiều dài răng cửa và định hướng nướu để mô phỏng kết quả cuối cùng.

Có thể sử dụng kỹ thuật gián tiếp/trực tiếp để chuyển thông tin này sang khoang miệng. Có thể sử dụng chất lấy dấu polyvinyl siloxane (PVS) trong suốt (Memosil 2, Heraeus Kulzer; Exaclear, GC America) để tái tạo lại mẫu sáp chẩn đoán (wax-up).

Chất nền có thể được đặt trong miệng và được sử dụng làm phương tiện chuyển composite lỏng (ví dụ G-aenial Universal Flo) để bơm vào. Mock-up composite nên được thực hiện trước khi hoàn thiện kế hoạch điều trị để đảm bảo những mong đợi của bệnh nhân và nhóm phục hồi đã được giải quyết.

 

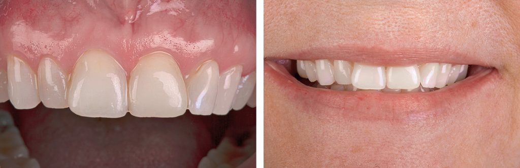
Hình 1. Hình ảnh trước điều trị của các răng cửa giữa hàm trên bị mẻ rìa cắn.

 

Hình 2. Mock-up composite đã hoàn thành. Các mặt dán composite được thực hiện từ kỹ thuật gián tiếp/trực tiếp bằng cách sử dụng sáp chẩn đoán (wax-up), chất lấy dấu PVS trong suốt và composite lỏng (G-aenial Universal Flo).

 

Hình 3. Bệnh nhân tái khám với mock-up vẫn còn nguyên.

 

Trám sealant và trám phòng ngừa

Các vật liệu composite lỏng thế hệ tiếp theo đóng vai trò quan trọng trong nha khoa phục hồi và nha khoa trẻ em vì có thể được sử dụng làm sealant trám bít hố rãnh.

Sealant

 

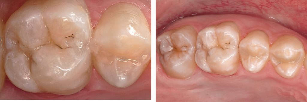
Hình 4. Mặt nhai các răng cối nhỏ hàm trên và các hố rãnh không có dấu hiệu sâu răng, chỉ định trám sealant.

 

Hình 5. Sau khi cô lập với đê cao sụ, mặt nhai của các răng cối nhỏ được thổi cát và làm sạch bằng hỗn hợp pumice và chlorhexidine 2% (Consepsis, Ultradent) rồi rửa sạch với nước, sau đó làm khô.

 

Hình 6. Sau khi sửa soạn bề mặt dán, composite lỏng màu A1 (Clearfil Majesty ES Flow) được bơm và dàn đều lên các hố rãnh bằng cọ và làm mịn thành một lớp mỏng trên mặt phẳng men trong khi loại bỏ phần thừa bằng cọ. Sau đó trùng hợp bằng đèn LED trong 40 giây.

 

Hình 7. Hình ảnh mặt nhai sau khi trám sealant.

 

Trám phòng ngừa

 

Hình 8. Hình ảnh mặt nhai hố rãnh sâu ở các răng cối hàm trên.

 

Hình 9. Sau khi thổi cát, mô răng sâu được loại bỏ bằng mũi khoan tròn 1/2.

 

Hình 10. Bôi keo dán self-etch (G-Bond) lên xoang trám, để yên trong 10 giây, thổi hơi nhẹ trong 5 giây và trùng hợp trong 10 giây bằng đèn LED.

 

Hình 11. Composite lỏng màu A1 (G-aenial Universal Flo) được sử dụng để thay thế cấu trúc răng bị mất và được dàn đều vào các rãnh bằng thám trâm 11/12.

 

Hình 12. Hình ảnh mặt nhai sau khi trám phòng ngừa và sealant.

 

Phục hồi tạm: Chế tạo, điều chỉnh và sửa chữa

Phục hồi tạm là chìa khóa cho chức năng, thẩm mỹ, phát âm và là lộ trình thành công trong tái tạo thẩm mỹ. Phục hồi tạm không khít sát với hở bờ, không đều và quá bờ hoặc thiếu đường viền đều có thể gây ra sự tích tụ mảng bám với biến chứng nha chu về sau, gây tụt nướu.

Phục hồi tạm thích hợp có thể bảo vệ răng đã được mài khỏi những thay đổi về hóa học và nhiệt cũng như sự xâm nhập của vi khuẩn; giảm nguy cơ sâu răng tái phát; hỗ trợ và ổn định răng bị tổn thương; bảo tồn vị trí, hình dạng và màu sắc nướu; duy trì tình trạng sức khỏe nha chu sau các thủ thuật phẫu thuật và/hoặc trong khi “phục hồi sau cùng” đang được thực hiện.

Phục hồi tạm bằng composite có thể được chế tạo một cách hiệu quả bằng cách lấy dấu ban đầu trước điều trị hoặc mô hình sáp chẩn đoán (wax-up) bằng vật liệu lấy dấu PVS trong suốt (Exaclear hoặc Memosil 2).

Ngoài ra, phục hồi tạm lâu dài có thể được sử dụng để định hình và phát triển đường viền nướu ở những vùng mất răng (tức là thiết kế nhịp cầu hình trứng), để thao tác và tạo hình gai nướu kẽ răng trong quá trình điều trị cấy ghép Implant.

Chế tác phục hồi tạm

 

Hình 13. Mặt ngoài các mão sứ kim loại bị lỗi ở R45, 46 với sâu răng tái phát và mòn cổ răng mặt ngoài R44. Ngoài ra, còn có nhiều khiếm khuyết tụt nướu loại II Miller trên các răng này. Phục hồi tạm sẽ được chế tạo để xử lý cấu hình mô mềm trong quá trình phẫu thuật mô liên kết.

 

Hình 14. Mão sứ-kim loại cũ đã được loại bỏ, sâu răng tái phát đã được loại bỏ và tái tạo cùi bằng composite đã được hoàn thành.

 

Hình 15. Bôi chất cách ly.

 

 

Hình 16. Làm wax-up theo mức dự đoán của viền nướu sau khi ghép mô liên kết.

 

Hình 17. Sau khi sao chép mẫu wax-up bằng vật liệu lấy dấu PVS trong suốt, bơm composite lỏng (Clearfil Majesty) bao phủ hoàn toàn các cùi răng, trùng hợp trong 40 giây từ các mặt: mặt nhai, mặt ngoài và mặt trong.

 

Hình 18. Phục hồi tạm được loại bỏ khỏi nền silicone và phần nhựa dư được mài bỏ bằng mũi khoan. Sử dụng các mũi silicon để loại bỏ các khiếm khuyết bề mặt hoặc vùng gồ ghề. Độ bóng và độ phản chiếu bề mặt phục hồi được thực hiện bằng bánh xe lông dê và kem đánh bóng.

 

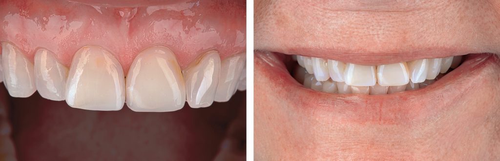
Hình 19. Ứng dụng phục hồi gián tiếp/trực tiếp này được sử dụng để tái tạo mẫu wax-up, quản lý mô mềm trong và sau quy trình ghép mô liên kết. Phục hồi tạm (trên) phản ánh phục hồi sau cùng (dưới). Lưu ý sự khít sát tốt với cùi răng, các đường viền lý tưởng cũng như sự tích hợp hài hòa với mô mềm.

 

This content has been restricted to logged-in users only. Please log in to view this content.

🔒 Nội dung tiếp theo chỉ dành cho thành viên.
👉 Vui lòng đăng nhập để xem tiếp.

Nhasiupdate
Nhasiupdate
Hãy gửi tin nhắn cho mình nhé!
Send a message