Xem lại phần 1 tại đây.
Quy trình lâm sàng để chế tác máng ổn định: phương pháp truyền thống
Mô tả dưới đây liên quan đến việc chế tạo máng Michigan (máng hàm trên), tuy nhiên các khái niệm này cũng có thể áp dụng trong chế tác máng ổn định hàm dưới.
Để cung cấp một máng ổn định đạt chuẩn, việc lấy dấu chính xác và ghi nhận khớp cắn chính xác là điều bắt buộc.
Sử dụng khay lấy dấu cá nhân cùng với vật liệu lấy dấu thích hợp, chẳng hạn như polyvinylsiloxane (PVS) được polymer hóa thêm, rất lý tưởng để đổ mẫu hàm làm việc. Tuy nhiên, khay kim loại có vành (rim lock) kết hợp với vật liệu alginate chính xác cũng có thể hiệu quả hơn về thời gian và chi phí, miễn là mẫu được đổ kịp thời bằng loại vật liệu có độ ổn định kích thước phù hợp.
Việc sử dụng vật liệu PVS còn cho phép đổ mẫu sao chép để kiểm tra sự khít sát của máng đã hoàn thiện, vì mẫu hàm làm việc thường bị hư hại trong quá trình chế tác. Alginate thường đủ cho lấy dấu hàm đối kháng.
Bề mặt nhai cần được làm sạch và làm khô thích hợp trước khi lấy dấu. Lấy dấu xong phải kiểm tra cẩn thận và bất kỳ phần vật liệu thừa nào ở bờ viền phải được cắt tỉa.
Sau khi đổ mẫu hàm thạch cao, nên để khô trong 24 giờ trước khi thực hiện phân tích khớp cắn trên giá khớp, để thạch cao đạt được độ cứng và độ bền tối đa.
Ghi dấu cung mặt và ghi dấu tương quan khớp cắn để cho phép gắn mẫu chính xác lên các loại giá khớp bán điều chỉnh phù hợp. Kỹ thuật lâm sàng để lấy cung mặt và ghi dấu cắn trong để gắn mẫu hàm lên giá khớp bán điều chỉnh đã được mô tả trong nhiều sách. Những bản ghi này phải được viết rõ ràng và đầy đủ cho labo.
Máng ổn định làm từ PMMA thường được chế tác với độ dày tối thiểu (khoảng hở giữa các cung răng) là 1,5–2,0 mm. Trong trường hợp bệnh nhân có mòn răng bệnh lý, độ dày khí cụ sẽ phụ thuộc vào khoảng không gian cần thiết cho kế hoạch phục hồi.
Với bệnh nhân nghiến răng, vì đã có bằng chứng cho thấy tăng kích thước dọc cắn khớp (VDO) thêm 4,4–8,2 mm hiệu quả hơn trong việc làm thư giãn cơ so với khí cụ mỏng 1 mm, nên khi đeo máng, cần có mức tăng tối thiểu kích thước dọc cắn khớp là 4 mm. Độ dày máng có thể được tăng thêm nếu chiều cao này chưa đủ.
Hình dạng viền máng cần được vẽ trên mẫu hàm hàm trên. Đường viền lý tưởng nên kéo dài 3–4 mm vào vòm khẩu cái, 3 mm ra ngoài các múi ngoài răng sau, và phủ chồng 2 mm lên rìa cắn răng trước.
Những vùng lẹm lớn có thể cần được đắp lẹm bằng sáp, tuy nhiên không cần thiết đắp tất cả vùng lẹm ở mặt bên, mặt ngoài và mặt khẩu cái, vì chúng cần cho sự lưu giữ cơ học của acrylic. Nếu hình dạng lưu giữ không đủ thì có thể thêm móc Adam vào vùng răng 6.
Làm nóng sáp hồng mềm và ép sát lên mẫu hàm hàm trên đã được làm ẩm nhẹ, theo đúng đường viền đã vẽ. Sau đó, đóng giá khớp, đảm bảo chốt răng cửa tiếp xúc với bàn răng cửa. Điều này có thể xác nhận bằng động tác kéo nhẹ một miếng giấy cắn 8 µm đặt giữa chốt và bàn răng cửa. Răng cắn xuống sẽ hình thành vết lõm trên nền sáp, tạo thành các điểm chặn trung tâm (centric stops).
Cắt gọn cẩn thận sáp thừa. Mặt nhai răng đối kháng nên được làm phẳng, tránh để múi răng đối diện bị kẹt, đồng thời cho phép hàm di chuyển tự do trên mặt nhai. Mỗi răng đối kháng nên có tối thiểu một điểm chặn trung tâm, có thể kiểm tra bằng giấy cắn.
Sau đó thêm sáp vào vùng răng nanh, đặt phía trước các điểm chặn trung tâm (centric stop) để tránh thay đổi không mong muốn trong thiết lập khớp cắn đã có.
Tạo gờ nâng (riser) với góc khoảng 45° so với mặt nhai. Gờ nâng răng nanh sau khi hình thành sẽ hướng dẫn vận động hàm dưới khi trượt ra trước và sang bên, đồng thời đảm bảo tách rời các răng khác. Các gờ nâng răng nanh sau đó được nối với nhau bằng cách thêm sáp vào đoạn răng trước, tạo thành mặt phẳng nghiêng phía trước lõm và nông. “Lõm và nông” nghĩa là phần này không phải phẳng tuyệt đối, mà hơi cong lõm nhẹ theo hình vòng cung răng cửa dưới. “Lõm” để ôm theo cung răng cửa hàm dưới, giúp khi hàm dưới trượt ra trước, răng cửa dưới không bị “vấp” mà trượt nhẹ nhàng. “Nông” là độ lõm chỉ rất nhẹ, không sâu → nếu làm sâu sẽ gây khóa hàm, hạn chế vận động, tạo điểm cản trở.
Mặt phẳng nghiêng này phải tạo ra sự nhả khớp ngay lập tức của răng sau khi hàm dưới trượt ra trước, với sự hướng dẫn ra trước được chia đều cho các răng trước. Mẫu sáp có thể được thử trên miệng nếu cần.
Sau đó, mẫu sáp được xử lý và hoàn thiện, thường bằng acrylic trong suốt và trùng hợp bằng nhiệt. Nên chuẩn bị một mẫu sao chép để trong quá trình xử lý, máng đã hoàn thiện có thể được đặt lại trên giá khớp để kiểm tra và thực hiện những điều chỉnh cuối cùng.
Máng cần được kiểm tra kỹ trước khi lắp vào hàm trên của bệnh nhân. Nếu máng chặt thì cần mài giảm các vùng bằng mũi cắt acrylic. Có thể sử dụng chất đánh dấu cắn như Occlude Marking Spray (Pascal Co Inc) để xác định cản trở. Nếu khí cụ có dấu hiệu hơi lỏng hoặc lắc thì có thể cần đệm lại vùng lỏng bằng nhựa acrylic nguội thích hợp ngay trên ghế.
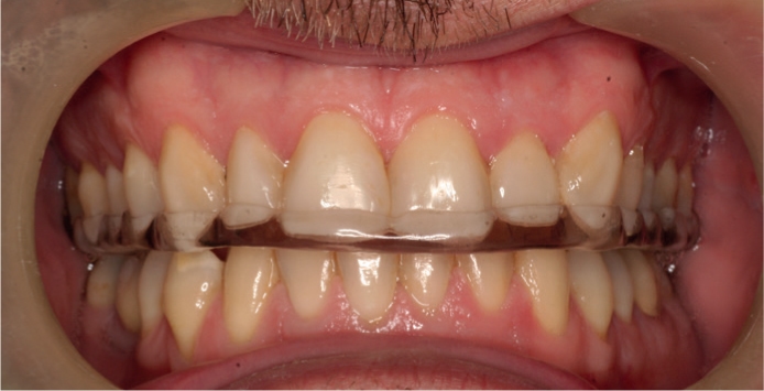
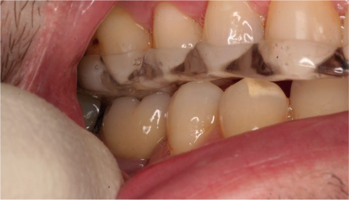
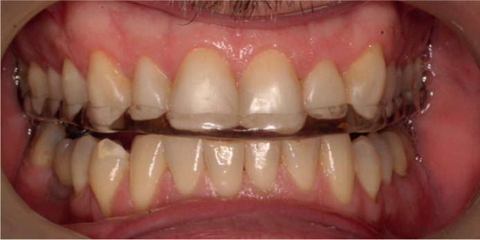
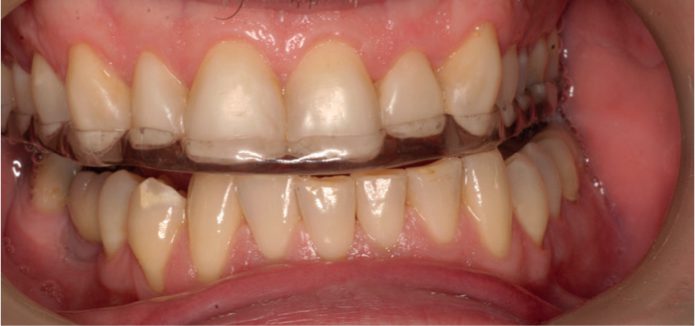
Khi máng đã được gắn vững và lưu giữ tốt, có thể sử dụng loại giấy cắn phù hợp như GHM Occlusion foil 12 µm (Hanel, Coltene Whaledent) để đánh dấu các điểm chặn trung tâm (centric stop) (hình 5).

Bác sĩ thuận tay phải thì cầm kẹp Miller ở tay trái để kẹp giấy cắn, trong khi yêu cầu bệnh nhân “cắn lại.” Tay phải bác sĩ đặt trên cằm bệnh nhân để nhẹ nhàng hướng dẫn hàm dưới đóng lại theo cung vận động lui sau. Khi răng đối kháng tiếp xúc với máng, bệnh nhân được yêu cầu cọ nhẹ qua lại trên máng, tạo các vận động trượt ra trước một phần và vận động sang bên (hình 6–10).





👉 Vui lòng đăng nhập để xem tiếp.


Bài viết liên quan
Ứng dụng cắn khớp trong phục hình lâm sàng – P5 – Đánh giá khớp cắn trong phục hình
Ứng dụng cắn khớp trong phục hình lâm sàng – P4 – Đánh giá khớp cắn trong phục hình
Ứng dụng cắn khớp trong phục hình lâm sàng – P3 – Giá khớp