April 29, 2026

NhasiUpdate

Chuyên trang RHM

Sử dụng hệ thống khí cụ Myobrace trong điều trị chỉnh nha sớm – P5

Xem lại các phần trước tại đây.

 

Ca lâm sàng 2

Bệnh nhân nữ 14 tuổi đến với than phiền chủ yếu là răng khấp khểnh. Bệnh nhân đang tìm kiếm ý kiến ​​​​thứ hai sau khi một bác sĩ chỉnh nha khuyên nên nhổ răng cối nhỏ và niềng răng. Vì mối quan tâm chính của bệnh nhân là răng nanh phía trên bên phải nhô ra sẽ bị lộ khi cười, nên muốn cải thiện độ thẳng hàng của răng cửa hàm trên mà không phải niềng răng. Sau khi được giới thiệu các lựa chọn điều trị khác nhau, quyết định thực hiện điều trị Myobrace đã được đưa ra, liên quan đến việc sử dụng loạt khí cụ Myobrace®, Hoạt động Myobrace® và, do mức độ nghiêm trọng của sai khớp cắn hiện tại, việc sử dụng khí cụ nới rộng BWS.

 

 

Trước điều trị:

Sử dụng biểu mẫu Đánh giá Chỉnh nha Cơ chức năng (MOE), ghi nhận bệnh nhân có hàm trên và hàm dưới kém phát triển với tình trạng chen chúc răng từ trung bình đến nặng. Cung răng trên rất hẹp và có hình đồng hồ cát. Cung hàm dưới cũng rất hẹp và phẳng với tất cả các răng sau nghiêng vào trong.

Ngoài ra còn cắn sâu và cắn chìa quá mức. Bệnh nhân ngủ ngáy và thói quen xấu bao gồm thở bằng miệng với tư thế lưỡi thấp và nuốt ngược nghiêm trọng. Vì đang trong giai đoạn răng vĩnh viễn nên thông thường bệnh nhân này sẽ được điều trị bằng loạt sản phẩm Myobrace® nhóm T. Tuy nhiên, bệnh nhân này thích khí cụ K1 (lớn) hơn khí cụ T1 do sự thoải mái, và do đó việc điều trị sẽ bắt đầu với dòng sản phẩm Myobrace® nhóm K (for Kid).

 

 

Tiến trình điều trị:

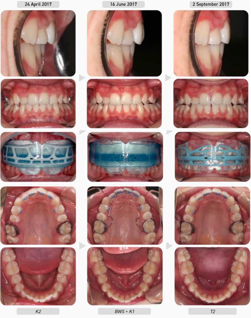
Bệnh nhân bắt đầu với khí cụ K1 để thiết lập thở bằng mũi và bắt đầu điều chỉnh các thói quen cơ chức năng. Ba tháng sau, chức năng hô hấp của bệnh nhân đã được cải thiện và do liên tục duy trì được K1 qua đêm nên được chuyển sang đeo khí cụ K2 (lớn) tập trung vào phát triển cung răng và tiếp tục điều chỉnh thói quen.

Có thể thấy sự cải thiện hình dáng cung răng và sự thẳng hàng của các răng trước trên dưới chỉ sau 3 tháng điều trị. Bệnh nhân ở hệ răng vĩnh viễn thường xuyên yêu cầu mở rộng cung răng trên để không chỉ tạo khoảng cho răng mà quan trọng hơn là di chuyển các răng ra khỏi vị trí để tạo điều kiện cho lưỡi có tư thế đúng trong vòm miệng. Vì vậy, quyết định sử dụng BWS. BWS phải được kết hợp với khí cụ giai đoạn 1 nên K1 (lớn) đã được cấp lại cho bệnh nhân đeo.

 

 

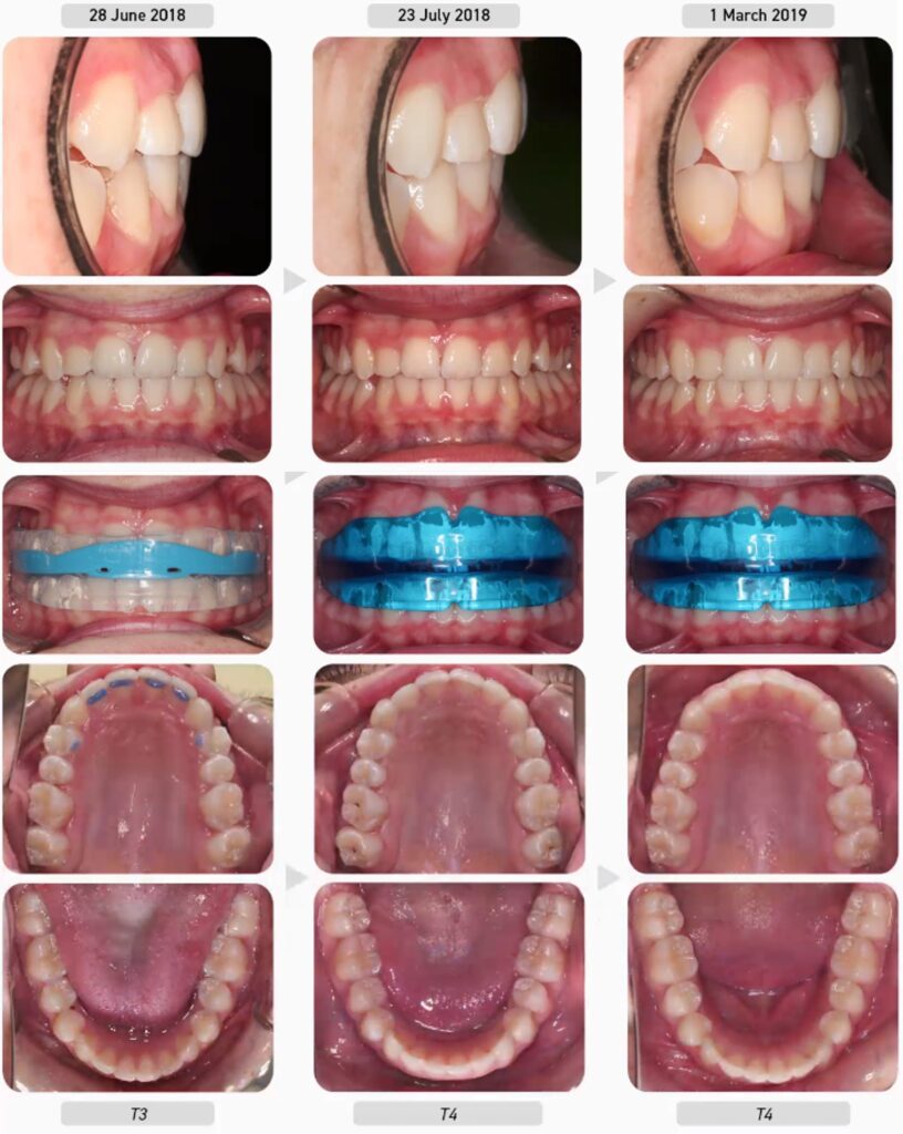
Lưu ý rằng sau hai tháng rưỡi nới rộng với BWS, các R6 hàm trên bắt đầu di xa. Khi điều này xảy ra, dây cung sẽ được tháo ra để răng cối lớn ổn định trở lại và bệnh nhân được cho đeo lại khí cụ K2. Hai tháng sau, bệnh nhân đã sẵn sàng bước vào đợt nới rộng BWS thứ hai để phát triển hàm trên hơn nữa và cải thiện chức năng nên K1 đã được cấp lại. Ba tháng sau, quá trình nới rộng BWS hoàn tất và bệnh nhân được cấp khí cụ T2.

Lưu ý overjet tăng nhẹ sau mỗi lần nới rộng với BWS. Điều này là thuận lợi vì nó cho phép hàm dưới lùi dần về phía trước khi cung hàm trên phát triển.

 

 

Sau khi cung răng đã phát triển đẹp và các thói quen cơ chức năng của bệnh nhân đã được sửa chữa phần lớn, bệnh nhân chuyển sang đeo khí cụ T3 để sắp đều răng hơn và cuối cùng là đeo khí cụ T4 để duy trì. Chín tháng sau, chúng ta có thể thấy răng bệnh nhân vẫn ổn định mà không cần bất kỳ hình thức duy trì cố định nào.

 

 

 

Điều quan trọng cần lưu ý là trong điều trị Myobrace®, chúng ta không quan tâm đến sự thẳng đều răng hoàn hảo mà là đạt được sự thẳng hàng tự nhiên của răng kết hợp với việc điều chỉnh thói quen. Một khi mục tiêu điều trị Myobrace® đã đạt được đã đạt được (thiết lập thở mũi, điều chỉnh các thói quen cơ chức năng và đạt được hình dáng cung răng tốt), bệnh nhân bước vào giai đoạn duy trì với khí cụ T4.

 

 

Tiến triển khuôn mặt:

Các rối loạn về hô hấp và cơ chức năng đã được khắc phục, bệnh nhân không còn ngáy nữa và có thể thấy sự cải thiện trên khuôn mặt. Hàm dưới di chuyển về phía trước, đường thở được cải thiện và rãnh môi cằm sâu đã giảm nhờ chức năng được điều chỉnh.

 

 

Duy trì:

Khoảng 8 tháng sau, bệnh nhân quay lại để kiểm tra hàm duy trì và kết quả vẫn ổn định mà không cần hình thức duy trì cố định nào. Với việc tiếp tục thở đúng cách và các thói quen cơ chức năng, bệnh nhân được kì vọng sẽ tiếp tục ổn định trong tương lai.

 

 

 

Ca lâm sàng 3

This content has been restricted to logged-in users only. Please log in to view this content.

🔒 Nội dung tiếp theo chỉ dành cho thành viên.
👉 Vui lòng đăng nhập để xem tiếp.