April 17, 2026

NhasiUpdate

Chuyên trang RHM

Các loại chấn thương răng và cách xử trí – P3

Xem lại các phần trước tại đây.

 

GÃY THÂN RĂNG

Điều trị sau cùng gãy thân răng

Gắn lại mảnh gãy thân răng ban đầu

Chiến lược điều trị

Nghiên cứu lâm sàng chỉ ra rằng các mảnh gãy men-ngà có thể được gắn lại mà không gây nguy hiểm cho tủy tại thời điểm chấn thương. Việc gắn lại mảnh gãy ngay lập tức có một số ưu điểm như thời gian điều trị ngắn, bít kín ngay lập tức ống ngà, phục hồi chức năng và thẩm mỹ ngay lập tức. Quy trình dán đã được minh họa trong hình 13.13.

Tuy nhiên, có thể có những tình huống không có lợi cho cách điều trị này, ví dụ như bệnh nhân không hợp tác, khi đó nên dành một khoảng thời gian thích hợp giữa thời điểm chấn thương và điều trị sau cùng, hoặc khi có một chấn thương trật khớp đồng thời, khi đó việc điều trị tức thì có thể gặp khó khăn trong việc duy trì phẫu trường khô ráo.

Nếu lựa chọn điều trị tạm thời và đường gãy thân răng không biến chứng thì toàn bộ bề mặt gãy (men răng và ngà răng) có thể được phủ bằng lớp lót canxi hydroxit và xi măng glass ionomer. Chúng được đặt trong khoảng 1 tháng để mô cứng có thể lắng đọng ở sừng tủy.

Phục hồi tạm có thể được kết hợp với các thanh nẹp và việc dán có thể được thực hiện tại thời điểm tháo nẹp. Trong thời gian mang phục hồi tạm, mảnh thân răng được giữ ẩm, chẳng hạn như trong nước máy hoặc nước muối sinh lý, và được thay hàng tuần.

Nếu mảnh gãy đã được để khô trước khi dán, nó sẽ bị trắng và làm giảm độ bền dán. Trong những trường hợp này, việc bảo quản ướt ít nhất 24 giờ có thể bình thường hóa tình trạng mảnh gãy.

Chiến lược điều trị gãy thân răng có liên quan đến tủy bao gồm che tủy hoặc lấy tủy bán phần (xem bài sau). Việc dán trực tiếp mảnh gãy có thể được thực hiện sau khi lấy tủy bán phần.

 

Kết quả lâm sàng của việc gắn lại mảnh gãy

Về sự thành công lâu dài của việc gắn lại mảnh gãy, các yếu tố như phản ứng của tủy, tính thẩm mỹ và khả năng lưu giữ lại mảnh vỡ cần được xem xét.

 

Phản ứng của tủy răng khi gắn lại mảnh gãy

Nghiên cứu cho thấy việc gắn lại các mảnh gãy men-ngà không dẫn đến biến chứng tủy. Một số ít trường hợp hoại tử tủy và tắc ống tủy đều được phát hiện liên quan đến chấn thương trật khớp đi kèm. Tỷ lệ biến chứng thấp này có nhiều khả năng là do phản ứng với chính vết thương hơn là do quy trình điều trị.

 

Thẩm mỹ sau khi gắn lại mảnh gãy

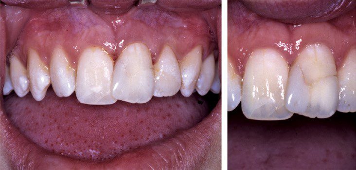
Khoảng một nửa số răng được gắn lại cho thấy tính thẩm mỹ ở mức chấp nhận được khi theo dõi lâu dài. Các vấn đề về thẩm mỹ khi theo dõi bao gồm sự đổi màu hoặc xuống cấp của vật liệu composite ở đường gãy (Hình 13.14) hoặc sự đổi màu của mảnh gãy theo thời gian.

 

Hình 13.14. Các vấn đề về thẩm mỹ sau khi gắn lại mảnh thân răng gãy do sự đổi màu của vật liệu composite ở đường gãy.

 

Tốt nhất nên sử dụng composite quang trùng hợp để đảm bảo thẩm mỹ. Tính thẩm mỹ cũng có thể được nâng cao bằng cách mài vát đôi dọc theo đường gãy sau khi dán mảnh gãy và phục hồi bằng composite (Hình 13.13).

 

Vấn đề đổi màu mảnh gãy, thường thành màu trắng mờ, có lẽ là do mất nước ở lớp ngà răng bên dưới, sẽ khó xử lý trên lâm sàng hơn, vì mặt dán composite trực tiếp có xu hướng không che giấu sự bất hài hòa về màu sắc giữa răng và mảnh gãy.

 

Độ lưu giữ của mảnh gãy

Kết quả từ một nghiên cứu lớn ở Scandinavi chỉ ra rằng 60% mảnh gãy dán lại bị gãy mất sau 5 năm chủ yếu do chấn thương mới hoặc việc sử dụng răng đó quá mức sinh lý.

Việc gắn lại hoặc phục hồi các mảnh gãy bằng cách đắp composite là một phương pháp điều trị thay thế thực tế ở các nhóm bệnh nhân trẻ (trước tuổi vị thành niên và thiếu niên). Những phương pháp điều trị này nhằm trì hoãn thời gian điều trị sau cùng cho đến độ tuổi mà đường viền nướu tương đối ổn định (tức là 20 tuổi).

 

Tiên lượng gãy thân răng

Phản ứng nhạy cảm của tủy ở răng bị gãy thường giảm ngay sau chấn thương. Thông thường cần phải mất từ 1-8 tuần trước khi phản ứng tủy răng trở lại bình thường. Thử tủy có thể được thực hiện trong thời gian theo dõi mà không cần loại bỏ phần phục hồi tạm.

Dưới đây là nguy cơ hoại tử tủy được trình bày đối với các loại gãy khác nhau. Có vẻ như yếu tố quan trọng nhất là chấn thương trật khớp đi kèm.

 

Nứt men

Thường ít có nguy cơ làm hoại tử tủy. Khi xảy ra hoại tử tủy có thể gợi các tổn thương chấn động hoặc bán trật khớp bị bỏ sót, hoặc là con đường cho vi khuẩn xâm nhập sau khi bị trật khớp trồi răng, trật khớp bên hoặc trật khớp lún.

Gãy men

Trong hai nhóm nghiên cứu, nguy cơ hoại tử tủy được nhận thấy dao động từ 0,2% đến 1,0%, cho thấy gãy men hầu như không có rủi ro đối với tủy răng.

Gãy men-ngà không lộ ủy

Nguy cơ hoại tử tủy chung không phân biệt mức độ gãy và loại điều trị nằm trong khoảng từ 1% đến 6%. Cần lưu ý rằng các yếu tố như chấn thương trật khớp liên quan, giai đoạn phát triển chân răng, phương pháp điều trị và mức độ gãy đều có ảnh hưởng đáng kể đến nguy cơ hoại tử tủy.

Về ảnh hưởng của giai đoạn phát triển chân răng đến nguy cơ hoại tử tủy sau khi gãy thân răng không biến chứng có hoặc không kèm theo tổn thương lung lay, người ta nhận thấy rằng răng có chóp răng thu hẹp có nguy cơ hoại tử tủy cao hơn đáng kể so với răng có chóp mở. Hơn nữa, mức độ tổn thương dây chằng nha chu được phát hiện qua chẩn đoán trật khớp có liên quan đáng kể đến sự sống của tủy sau chấn thương.

 

Hình 13.18. Các yếu tố tiên lượng hoại tử tủy sau gãy thân răng.

 

Tình trạng tắc ống tủy 

Nghiên cứu tình trạng tắc ống tủy (PCO) sau gãy thân răng không kèm theo chấn thương trật khớp cho thấy tắc ống tủy có thể gợi ý các chấn thương trật khớp không được phát hiện và chẩn đoán.

 

Tiêu ngót chân răng

Nghiên cứu các trường hợp gãy thân răng không kèm theo tổn thương trật khớp cho thấy tiêu chân răng rất hiếm gặp. Vì vậy, giống như tắc ống tủy, tiêu chân răng có lẽ không liên quan đến gãy thân răng.

 

Gắn lại mảnh gãy

Liên quan đến độ sống của tủy, khả năng lưu giữ mảnh gãy và tính thẩm mỹ, kết quả sơ bộ từ một nghiên cứu lâm sàng dài hạn chỉ ra hầu hết tủy răng sống và không có thay đổi trên X quang.

 

Xem tiếp phần 4 tại đây.

 

Nguồn: Textbook and Color Atlas of Traumatic Injuries to the Teeth  – Jens O. Andreasen, Frances M. Andreasen, Lars Andersson.

Nhasiupdate
Nhasiupdate
Hãy gửi tin nhắn cho mình nhé!
Send a message