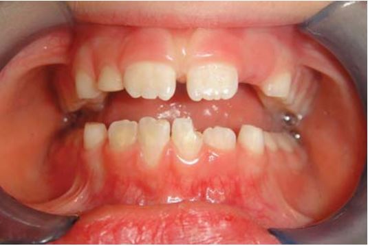
Sau khi răng cửa bị gãy thì nên giữ lại phần gãy trong nước hoặc khăn giấy ẩm để tránh mảnh răng bị khô, gây mất thẩm mỹ và khó kết dính (Sharmin, 2013) (H18.2).


Nếu gãy răng lộ tủy thì có thể che tủy bằng Ca(OH)2 hoặc MTA, trám lót GIC trước khi dán.
Nếu mảnh gãy phức tạp gây lộ tủy, được phát hiện sớm trong vòng vài giờ đồng hồ và cầm máu được vị trí lộ tủy thì có thể che tủy. Nếu không cầm máu được hoặc bệnh nhân đến trễ thì có thể lấy tủy buồng trước khi dán lại răng.
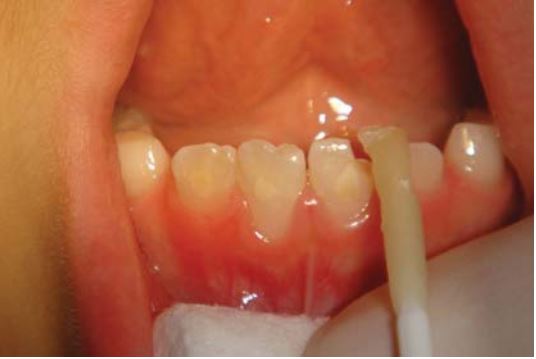
Nếu gãy vát về phía cổ thì giúp tăng khả năng dán và tăng diện tích bề mặt dán (H18.4).

Cả răng cửa và mảnh gãy được khử trùng bằng Chlorhexidine 0.2% trước khi etching và bonding (H18.6 đến 18.11).






Bơm một lớp composite lỏng lên bề mặt răng hoặc bề mặt mảnh gãy để giúp tăng lưu giữ. Sau khi gắn lại mảnh gãy đúng vị trí thì sử dụng dụng cụ để loại bỏ composite thừa (H18.12).


Gắn lại mảnh gãy răng cửa hàm dưới thường khó vì kích thước rất nhỏ (H18.14).

Có thể sử dụng dụng cụ giữ có đầu dính (Pic-n-Stic Pulpdent Corp) (H18.15).


Bệnh nhân phải được dặn dò tránh cắn thức ăn cứng, cắn móng tay và phải tái khám định kì.
Nguồn: Handbook of Clinical Technique in Pediatric Dentistry – Jane A. Soxman.


Bài viết liên quan
Sử dụng composite lỏng trong nha khoa – P6
Thẩm mỹ và cơ học sinh học trong chỉnh nha – P12 – Đánh giá thẩm mỹ trong chỉnh nha
Thẩm mỹ và cơ học sinh học trong chỉnh nha – P11 – Đánh giá thẩm mỹ trong chỉnh nha