April 17, 2026

NhasiUpdate

Chuyên trang RHM

Kĩ thuật đặt chỉ co nướu khi lấy dấu

Kĩ thuật đặt chỉ đôi khi lấy dấu vùng răng sau

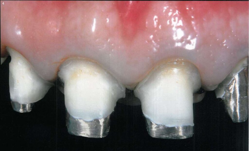
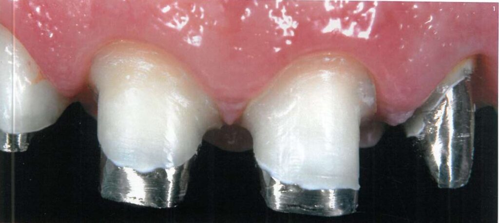
Lấy dấu yêu cầu phải ghi lại chính xác kích thước cùi răng, vị trí mô mềm, đặc biệt là hình dạng đường hoàn tất và mối tương quan giữa cùi răng với các răng kế cận trên cung hàm (H1).

 

 

Có thể thoa keo dán (polyvinyl hoặc polyether) lên đều ở mặt trong của khay để tạo độ bám dính giữa vật liệu lấy dấu và khay lấy dấu (H2).

 

 

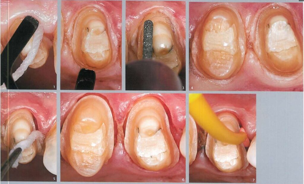
Khi sử dụng kĩ thuật đặt chỉ đôi (2 sợi), thì sợi chỉ với đường kính nhỏ hơn được đặt vào trước tiên. Sợi chỉ đầu tiên này nhằm giúp ngăn ngừa máu và dịch trào lên khi rút sợi chỉ thứ 2 ra (H3,4).

 

 

 

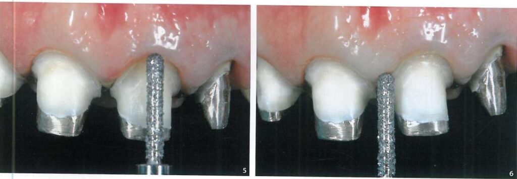
Hình 5 minh họa sợi chỉ thứ nhất được đặt vào khe nướu, tách nướu rời xuống khoảng 0.5 – 1 mm nhằm ngăn sự tiếp xúc của đầu mũi khoan với biểu mô nướu trong quá trình điều chỉnh đường hoàn tất.

 

 

Sau đó dùng mũi khoan mài điều chỉnh tiếp đường hoàn tất nếu cần (H6).

 

 

Sợi chỉ thứ 2, với kích thước lớn hơn (chỉ Ultrapak #2, Ultradent) đặt vào khe nướu để tách mô nướu sang bên, chỉ này không nhất thiết phải nằm hoàn toàn trong khe nướu mà có thể chỉ nằm trên bề mặt (H7, 8).

 

 

Chỉ co nướu phải được giữ nguyên trong khe nướu từ 5 – 10 phút để cho phép bề mặt chỉ hấp thụ bớt nước hay dịch nướu và tăng độ rộng khe hở giữa nướu với bề mặt răng.

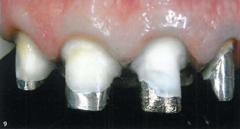
Hình 9 mô tả vị trí lí tưởng của 2 sợi chỉ trong khe nướu, khi đó khe nướu rộng sang bên > 0.5 mm và tách xuống dưới > 0.5 mm để cho phép ghi dấu 1 phần mô răng lành bên dưới đường hoàn tất.

 

 

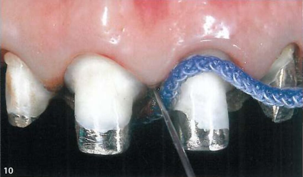
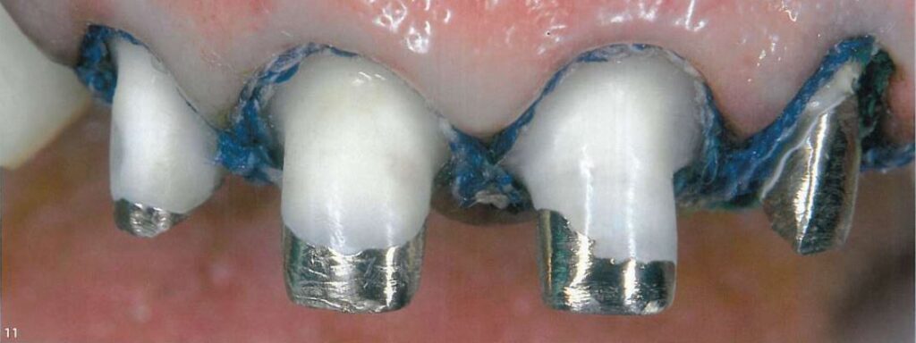
Khi chuẩn bị lấy dấu, phải thổi khô dịch và nước bọt xung quanh, sau đó gắp sợi chỉ ở trên ra (H10).

 

 

Ngay lập tức bơm cao su lỏng vào khe nướu (H11).

 

 

Bơm hết lượng cao su còn lại lên cùi răng và lấy dấu. Dấu lấy ra phải thấy rõ đường hoàn tất.

 

 

Gắp sợi chỉ còn lại ở trong ra.

 

 

Kĩ thuật đặt chỉ đôi khi lấy dấu răng trước

 

 

Đo chính xác độ sâu khe nướu bằng cây đo túi (H2).

 

 

Sử dụng sợi chỉ thứ nhất với đường kính nhỏ (Ultrapak #000), ngâm vào dung dịch đệm Nhôm Chloride (Hemodent), vắt thật kĩ rồi đặt vào khe nướu bằng dụng cụ đặt chỉ đầu mảnh (Fischer’s Ultrapak #170) (H3).

 

 

Mài chỉnh sửa đường hoàn tất nếu cần.

 

 

 

Nếu muốn đẩy đường hoàn tất xuống về phía chóp hơn thì viền nướu sẽ được che chắn bằng dụng cụ bảo vệ nướu (Zekrya, Zenith) (H7,8).

 

 

Tiếp theo, đường hoàn tất được mài xuống thấp hơn, từ 0.5 – 1 mm dưới viền nướu, nếu cần đặt đường hoàn tất dưới nướu (H9).

 

 

Sợi chỉ thứ 2 lớn hơn (Ultrapak #1) được đặt tiếp theo sau đó, không nhất thiết phải nằm hoàn toàn trong khe nướu (H10, 11).

 

 

 

 

Kết quả dấu phải rõ ràng, không rách, không bọt.

 

 

Kĩ thuật đặt chỉ đơn sợi khi lấy dấu

Thực hiện tương tự nhưng chỉ đặt 1 sợi chỉ duy nhất vào khe nướu. Lựa chọn đường kính sợi chỉ phụ thuộc vào độ sâu khe nướu. Khe nướu nên rộng về phía bên ít nhất 0.5 mm và về phía chóp đủ để ghi dấu 1 phần mô răng lành bên dưới đường hoàn tất.

Chỉ co nướu (GingiPak #2, Gingi-Pak) có thể được ngâm trong dung dịch Nhôm Chloride (Hemodent, Premier), sau đó vắt thật kĩ và nhét vào khe nướu.

 

 

 

Nguồn: Esthetic and Restorative Dentistry, Material Selection and Technique, second edition – Douglas A. Terry, Willi Geller.

Nhasiupdate
Nhasiupdate
Hãy gửi tin nhắn cho mình nhé!
Send a message