Trong nhiều trường hợp thực hiện hàm giả toàn bộ ở hàm trên hay điều trị chỉnh nha ở người trẻ đòi hỏi phải cắt bỏ thắng môi, má hoặc lưỡi nếu chúng gây cản trở (H10.72).

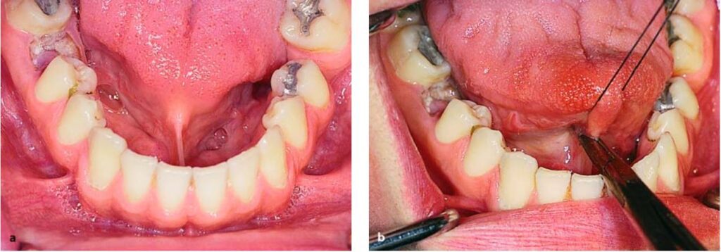
Ở hàm dưới, thắng lưỡi cũng có thể gây vấn đề, ví dụ như dính lưỡi, có thể hoàn toàn hoặc không hoàn toàn (H10.73).

Thắng lưỡi bám vào sàn miệng hoặc niêm mạc xương ổ, khi thắng lưỡi quá ngắn gây hạn chế vận động lưỡi và khó khăn trong việc phát âm.
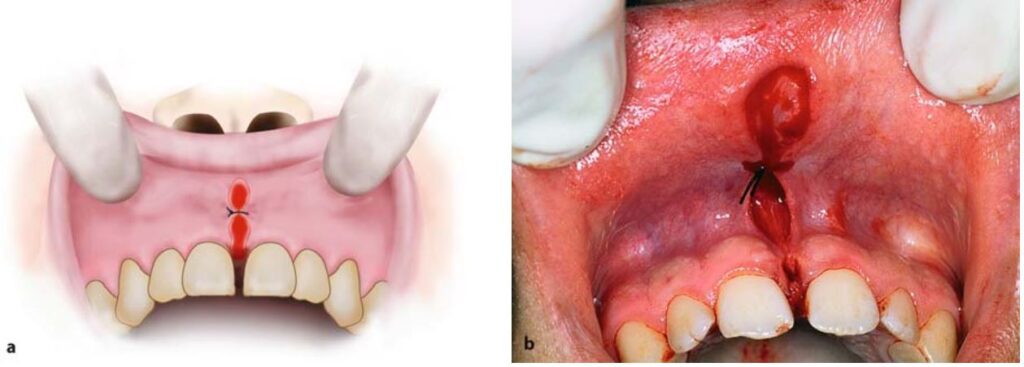
Cắt thắng môi hàm trên
Cắt thắng môi là thủ thuật đơn giản, thường dễ và các bác sĩ tổng quát hoàn toàn thực hiện được, với nhiều kĩ thuật khác nhau.
Kĩ thuật được áp dụng nhiều nhất là sử dụng 2 kẹp cầm máu.
Sau khi gây tê thì kéo môi trên lên, dùng 2 kẹp cầm máu cong để kẹp vào thắng môi, nhằm giữ cố định bờ trên và bờ dưới thắng (H10.74 và 10.75).


Sau đó kéo căng môi ra hơn nữa rồi dùng dao rạch về phía sau 2 kẹp cầm máu.
Trước tiên rạch phía sau cây kẹp phía dưới, rồi tiếp đến rạch phía sau cây kẹp phía trên (H10.76 – 10.78).



Nếu thắng môi quá dày và có khe hở quá rộng giữa 2 răng cửa thì thường cắt bỏ luôn phần mô mềm ở giữa và sau 2 răng cửa này (H10.79).

Thực hiện khâu vết thương sau khi đã dùng kéo để làm giảm căng mô quanh bờ tổn thương (H10.80 – 10.82).



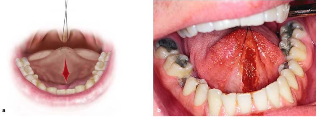
Cắt thắng lưỡi
Có thể được thực hiện bằng kĩ thuật có sử dụng hoặc không sử dụng kẹp cầm máu.
Kĩ thuật có sử dụng kẹp cầm máu
Sau khi gây tê thì lưỡi được kéo lên trên và lui sau bằng một mũi khâu xuyên qua đầu lưỡi.
Sau đó dùng một cây kẹp cầm máu thẳng, kẹp vào khoảng 1/3 giữa theo chiều dọc của thắng, song song với sàn miệng (H10.83).

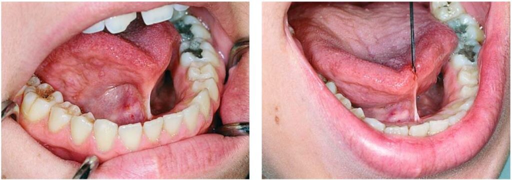
Thực hiện rạch theo kẹp cầm máu, đầu tiên là rạch ở phía trên, sau đó đến phía dưới kẹp (H10.84, 10.85).


Dùng kéo tỉa mô làm giảm căng mô xung quanh bờ tổn thương rồi khâu lại (H10.86 – 10.88).



Kĩ thuật không sử dụng kẹp cầm máu
Kéo căng lưỡi lên, sau đó dùng dao tạo các đường rạch hướng về phía đáy lưỡi, trước hết là ở vùng lưỡi dính, tiếp theo là phía bên kia.
Sau khi thắng lưỡi lỏng lẻo ra thì kéo căng lưỡi lên trên và ra sau hơn nữa để tiếp tục cắt tiếp phần thắng còn lại. Sau khi cắt xong thì khâu lại tương tự như trên (H10.89 – 10.93).





Do thắng lưỡi luôn nằm gần với các tĩnh mạch lưỡi và ống dẫn tuyến dưới hàm nên khi phẫu thuật phải hết sức cẩn thận.
Nguồn: Oral Surgery – Fragiskos D. Fragiskos.


Bài viết liên quan
Kỹ thuật nhổ răng tiểu phẫu – P5
Kỹ thuật nhổ răng tiểu phẫu – P4
Kỹ thuật nhổ răng tiểu phẫu – P3