Xem lại phần 1, 2, 3 tại đây.
Ghi dấu TQTT
Tính chính xác của việc xác định TQTT có thể dễ dàng mất đi nếu không khớp với độ chính xác của bản ghi khớp cắn.
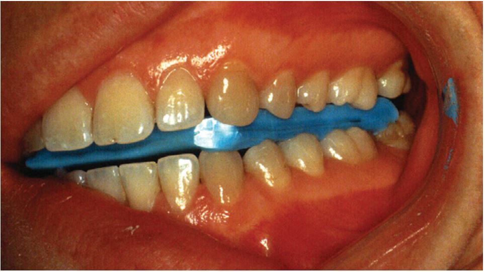
Sử dụng sáp để ghi dấu là 1 phương pháp phổ biến từ trước đến nay. Sáp phải đảm bảo đủ mềm khi làm nóng để không gây dịch chuyển răng, cứng lại khi để nguội. Loại sáp được sử dụng nhiều trong thực hành là sáp Delar.
Trình tự các bước gồm:
Hơ nóng phần rìa sáp.

Không hơ nóng phần giữa của tấm sáp và cũng không được hơ quá nóng. Hơ nóng đều 2 mặt cho đến khi thấy sáp bóng lên.

Đặt sáp lên hàm trên và ấn nhẹ cho sáp hơi lõm vào. Trợ thủ sẽ giữ tấm sáp ở hàm trên, trong khi đó bác sĩ sẽ thao tác 2 tay với hàm dưới để tìm đạt TQTT, xác nhận lại bằng test tải lực trước khi cho bệnh nhân đóng hàm. Tiếp tục giữ lực nâng lồi cầu lên khi cho bệnh nhân đóng hàm, nếu không bệnh nhân sẽ có khuynh hướng đẩy hàm dưới ra trước.

Phải đảm bảo có dấu lõm rõ ràng của các R4. Điều này giúp đảm bảo tất cả các răng sau đều sẽ được ghi dấu, giúp giữ ổn định mẫu hàm cùng với dấu cắn. Trong khi sáp còn mềm, lấy ra và cắt bỏ phần rìa sáp cho đến hết đỉnh múi ngoài, nhờ vậy sẽ dễ quan sát độ khít sát của của tấm sáp trong miệng (H11.5).

Phải đảm bảo không được có khoảng hở hay vết nứt gãy giữa răng và sáp.
Đến lúc kiểm tra bản ghi dấu đã đạt hay chưa thì lấy tấm sáp ra, làm nguội bằng cách nhúng vào nước để sáp cứng lại. Đặt trở lại vào hàm trên trong miệng.
Thực hiện thao tác tìm đạt TQTT và xác nhận lại bằng test tải lực. Giữ chắc vị trí lồi cầu ở TQTT trong khi hàm dưới quay bản lề đến vị trí tiếp xúc răng nhiều nhất, cùng với tấm sáp trên miệng. Đảm bảo 2 bên tiếp xúc đồng thời, không có tiếp xúc sớm hay sai lệch trên tấm sáp và đảm bảo không có khoảng hở nào giữa bề mặt sáp với răng.
Kiểm tra cẩn thận để chắc chắn sáp không có tiếp xúc với mô mềm. Nếu có những sai sót hay biến dạng nhẹ cần làm lại thì chỉ cần hơ nóng phần lõm nơi răng in dấu, đặt ngược trở lại hàm trên và thao tác lại đối với hàm dưới để ghi dấu lại. Sáp phải đủ rộng qua toàn bộ cung răng nhưng không được chạm khẩu cái.

Sáp phải đủ dày để không bị cong. Giữ sáp trong nước, chứa trong hộp nhựa kín cho đến khi sử dụng.

Những lỗi bất cẩn khi xử lý sáp đều có thể gây sai sót khi lên giá khớp.
Một phương pháp thứ 2 cũng được sử dụng khá phổ biến và có nhiều ứng dụng đó là sử dụng tấm chặn răng cửa (anterior stop technique).
Thuật ngữ tấm chặn răng cửa (anterior stop) nói đến việc chỉ tiếp xúc ở vùng răng cửa. Khi đóng hàm, các răng cửa hàm dưới va vào một tấm chặn (stop) được lắp chính xác vào các răng cửa hàm trên.
Tấm chặn phải đủ mỏng để điểm tiếp xúc răng đầu tiên không bị mất, nhưng phải đảm bảo không được có tiếp xúc răng sau.

Ưu điểm tuyệt vời của tấm chặn trước là làm giãn cơ chân bướm ngoài, cho phép lồi cầu – đĩa khớp ổn định vị trí, không bị sai lệch hoặc bị giới hạn bởi các răng phía sau.
Khi bác sĩ cho rằng TMJ đã đạt đúng vị trí, phải thực hiện test tải lực để xác nhận chắc chắn đã đạt TQTT, trong khi thực hiện test thì các răng cửa vẫn tiếp xúc với tấm chặn. Tấm chặn răng trước có thể có nhiều dạng khác nhau.
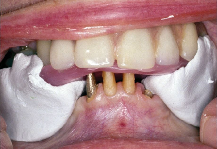
Luôn phải kiểm tra tấm chặn trước thật kĩ, đảm bảo chính xác trước khi ghi dấu các răng sau. Kiểm tra bằng cách thực hiện test tải lực. Khi đã xác nhận đúng vị trí TQTT thì bơm vật liệu lấy dấu lên các răng sau hàm trên, cho bệnh nhân đóng hàm vào đúng dấu lõm trên tấm chặn răng trước và giữ chặt hàm bệnh nhân để giữ nguyên vị trí lồi cầu lên trên, tấm chặn phía trước sẽ giữ cho hàm dưới bệnh nhân không bị lệch sang vị trí khác.
Khi vật liệu lấy dấu đông cứng, lấy ra và gọt bỏ cho đến đỉnh múi ngoài các răng cối dưới và rãnh giữa các răng cối trên, và gọt những phần chạm mô mềm.
Đặt dấu cắn trở lại trong miệng, sự khít sát với các đỉnh múi răng cối trên sẽ giữ dấu cắn nằm yên. Lúc này thực hiện thao tác tìm đạt TQTT, so sánh và lưu ý bất kỳ sự khác biệt nào giữa vị trí răng và dấu cắn trên miệng và cần lấy dấu lại. Nếu chính xác hoàn toàn thì có thể đem đi đổ mẫu.
https://www.youtube.com/watch?v=AmbPpsybzhA
Đối với sống hàm vùng mất nhiều răng, có thể tăng độ lưu cho sáp ghi dấu bằng silicone putty (cao su đặc). Có nhiều cách làm khác nhau nhưng mục đích chính là đảm bảo khi đổ mẫu, mẫu hàm phải khít sát chắc chắn với dấu cắn.



Xem tiếp phần 5 tại đây.
Nguồn: Functional Occlusion From TMJ to Smile Design – Peter E. Dawson.


Bài viết liên quan
Ứng dụng cắn khớp trong phục hình lâm sàng – P5 – Đánh giá khớp cắn trong phục hình
Ứng dụng cắn khớp trong phục hình lâm sàng – P4 – Đánh giá khớp cắn trong phục hình
Ứng dụng cắn khớp trong phục hình lâm sàng – P3 – Giá khớp