GÃY THÂN RĂNG
Thuật ngữ, tần suất và nguyên nhân
Việc phân loại gãy thân răng dựa trên các cân nhắc về giải phẫu, điều trị và tiên lượng, bao gồm:
(1) Nứt men: men răng bị nứt (vỡ) không hoàn toàn và không mất chất răng.
(2) Gãy men: gãy mất chất răng chỉ giới hạn ở men răng (gãy thân răng không biến chứng).
(3) Gãy men-ngà: gãy mất chất răng chỉ giới hạn ở men và ngà, không liên quan đến tủy (gãy thân răng không biến chứng).
(4) Gãy men-ngà liên quan đến tủy (gãy thân răng phức tạp).

Ở bộ răng vĩnh viễn, gãy thân răng chiếm từ 26 đến 76% chấn thương răng.
Các yếu tố căn nguyên phổ biến nhất của gãy thân răng và chân răng ở bộ răng vĩnh viễn là chấn thương do té ngã, các môn thể thao va chạm, tai nạn ô tô hoặc vật thể lạ va vào răng.
Gãy men răng là một nguy cơ nghề nghiệp rất phổ biến ở những người thợ thổi thủy tinh, thường là do tác động của ống thổi.
Khám lâm sàng
Nứt men răng rất phổ biến nhưng thường bị bỏ qua. Những vết nứt này xuất hiện bên trong lớp men răng, không vượt qua tiếp nối men- ngà. Có thể nhìn thấy nhiều kiểu đường nứt khác nhau tùy theo hướng và vị trí của chấn thương, tức là theo chiều ngang, dọc hoặc phân kỳ. Những đường nứt thường bị bỏ qua nếu chiếu sáng trực tiếp, nhưng có thể dễ dàng quan sát khi chùm tia sáng vuông góc với trục dài của răng từ rìa cắn (Hình 13.2).

Gãy men và gãy men-ngà không liên quan đến tủy xảy ra thường xuyên ở cả răng sữa và răng vĩnh viễn. Chúng thường chỉ giới hạn ở một răng duy nhất, thường là các răng cửa giữa hàm trên. đặc biệt là các góc gần hoặc xa (Hình 13.3).

Đường gãy có thể nằm ngang theo chiều gần xa. Đôi khi chỉ liên quan đến thùy giữa của rìa cắn (Hình 13.4).

Trong một số ít trường hợp, đường gãy có thể ảnh hưởng đến toàn bộ bề mặt men răng mặt ngoài.
Gãy thân răng có thể xảy ra đồng thời với trật khớp bán phần, trồi răng hoặc lún răng. Sự kết hợp giữa chấn thương trật khớp và gãy thân răng có tầm quan trọng về mặt tiên lượng (xem bài sau).
Gãy thân răng vĩnh viễn chưa mọc có thể do chấn thương truyền từ va chạm trên răng sữa.
Kiểm tra các răng bị gãy bằng cách làm sạch kỹ với tay xịt nước. Tiếp theo là đánh giá mức độ lộ ngà cũng như tìm kiếm cẩn thận mức độ lộ tủy.
Ngà răng bị lộ sau khi gãy thân răng thường gây ra các triệu chứng như nhạy cảm với sự thay đổi nhiệt và việc nhai, ở một mức độ nào đó tỷ lệ thuận với diện tích ngà răng bị lộ và độ trưởng thành của răng.
Lớp ngà răng bao phủ tủy răng có thể mỏng đến mức đường viền của tủy răng có màu hơi hồng. Trong những trường hợp như vậy, điều quan trọng là không làm thủng ngà răng bằng dụng cụ thăm dò nha khoa khi đang trong quá trình tìm kiếm lộ tủy. Khám lâm sàng cũng nên bao gồm kiểm tra độ lung lay để đánh giá tình trạng tủy sau này.
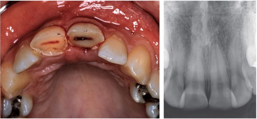
Gãy thân răng phức tạp thường xuất hiện xuất huyết nhẹ ở phần tủy lộ ra (Hình 13.5).

Sự tăng sinh của mô tủy (tức là polyp tủy) có thể xảy ra khi việc điều trị ở răng chưa đóng chóp bị trì hoãn nhiều ngày (Hình 13.6).

Lộ tủy thường kéo theo các triệu chứng như nhạy cảm với nhiệt.
X quang
Việc kiểm tra bằng X quang bổ sung thông tin quan trọng vào đánh giá lâm sàng có thể ảnh hưởng đến việc điều trị trong tương lai, chẳng hạn như kích thước tủy và giai đoạn phát triển chân răng.
Hơn nữa, X quang còn có tác dụng như một bản ghi để so sánh ở những lần tái khám sau, đặc biệt là để xác minh hàng rào mô cứng trên tủy bị lộ khi không thể xác minh lâm sàng. Tuy nhiên, cần lưu ý X quang chỉ có thể ước tính kích thước tủy.
Thực tế xoang tủy thường lớn hơn và khoảng cách từ sừng tủy đến rìa cắn thường nhỏ hơn khoảng cách quan sát thấy trên X quang. Trong một số ít trường hợp, sự dịch chuyển của răng sữa có thể dẫn đến gãy mầm răng vĩnh viễn, dấu hiệu này có thể được thể hiện trên phim X quang.

Sự lành thương và bệnh lý
Nứt men có thể nhìn thấy dưới dạng các đường sẫm màu chạy song song với các thanh men và kết thúc ở tiếp nối men-ngà (Hình 13.8).

Gãy men-ngà làm lộ ra một lượng lớn các ống ngà. Người ta ước tính rằng để lộ 1 mm2 ngà răng sẽ làm lộ ra 20000 đến 45000 ống ngà. Các ống ngà tạo thành con đường cho vi khuẩn, các chất kích thích nhiệt và hóa học có thể gây viêm tủy, nên quy trình che phủ ngà răng là rất cần thiết (sẽ được nói đến sau).
Cho đến nay chưa có nghiên cứu nào nghiên cứu về sự phát triển của vi khuẩn sau khi bị lộ ngà do gãy răng.
Sự xâm nhập của vi khuẩn ở một mức độ nhất định bị ức chế bởi dòng dịch ngà chảy bên trong ống tủy do áp lực tủy dương. Ngược lại, vi khuẩn xâm nhập nhanh hơn khi việc cản trở áp lực thủy tĩnh từ dòng dịch tủy ra ngoài giảm đi hoặc không tồn tại, như sau các chấn thương trật khớp khi mà nguồn cung cấp máu cho tủy bị tổn thương.
Sự gia tăng lưu lượng chất lỏng sau khi lộ ngà răng cũng có thể có ý nghĩa lâm sàng liên quan đến việc kiểm soát độ ẩm trong việc sử dụng keo dán ngà. Vì vậy, có vẻ nên sử dụng thuốc tê tại chỗ trước các thủ thuật như vậy để đảo ngược dòng chảy của dịch ngà do kích thích thần kinh. Tuy nhiên, cần phải nghiên cứu thêm để kiểm tra lý thuyết này trước khi áp dụng rộng rãi.
Về mặt mô học, mô tủy lộ ra trong “gãy thân răng phức tạp sẽ nhanh chóng được bao phủ bởi một lớp fibrin. Cuối cùng, phần bề mặt tủy có sự sản sinh mao mạch, nhiều bạch cầu và sự tăng sinh của mô bào (histiocyte). Tình trạng viêm này lan rộng về phía chóp.
Gãy thân răng phức tạp không được điều trị trong thời gian dài thường cho thấy sự tăng sinh rộng rãi của mô hạt tại vị trí tiếp xúc.
Hiếm có trường hợp lỗ thủng tự đóng lại bằng mô cứng.
Điều trị
Các yếu tố cân nhắc bao gồm đáp ứng của tủy đối với tổn thương và điều trị, cũng như cân nhắc về phục hình phát sinh tại thời điểm tổn thương và điều trị sau cùng (xem bài sau về các vấn đề liên quan đến tủy sau gãy thân răng); trong khi chương này sẽ nhấn mạnh vào việc điều trị khẩn cấp. Việc xử lý phục hồi sau cùng bằng composite sẽ được mô tả ở bài sau.
Nứt men
Nứt ở men răng, ngà răng và xi măng ở vùng răng sau thường liên quan đến ‘hội chứng nứt răng’ còn nứt men răng ở các răng trước sau chấn thương cấp tính dường như không gây ra nguy cơ tương tự đối với tính toàn vẹn của mô do thực tế là những đường nứt này chỉ giới hạn ở men răng và dừng lại ở tiếp nối men-ngà. Tuy nhiên, do thường xuyên có những tổn thương liên quan đến cấu trúc nha chu, nên tiến hành kiểm tra độ nhạy cảm để phát hiện những tổn thương có thể xảy ra đối với tủy.
Theo nguyên tắc, nứt men không cần điều trị. Tuy nhiên, trong trường hợp có nhiều đường nứt, có thể chỉ định phủ kín bề mặt men răng bằng kỹ thuật etching axit và nhựa không chứa hạt độn, vì những đường này có thể bám vết bẩn từ thuốc lá, thực phẩm, đồ uống hoặc các chất lỏng khác (ví dụ: trà, rượu vang đỏ, nước cola và nước súc miệng chlorhexidine).
Gãy men và gãy men-ngà (không lộ tủy)
Việc điều trị tức thì nếu đường gãy chỉ giới hạn ở men răng có thể là làm phẳng các cạnh men sắc nhọn để tránh làm rách lưỡi hoặc môi. Việc mài chỉnh có chọn lọc có thể được thực hiện cùng lúc hoặc ở lần tái khám sau để mang lại kết quả thẩm mỹ tốt (Hình 13.10).

Khi hình dạng hoặc mức độ gãy cản trở việc mài chỉnh lại thì phải thực hiện phục hồi.
Dù quyết định điều trị bằng phương pháp nào, điều quan trọng vẫn là phải phục hồi giải phẫu và khớp cắn của thân răng ngay lập tức để ngăn ngừa răng bị gãy chìa ra ngoài, các răng kế cận bị nghiêng vào vị trí gãy hoặc trồi răng đối diện (Hình 13.11).

Việc gắn lại ngay mảnh ban đầu hoặc phục hồi bằng composite (xem bài sau) thường được ưu tiên hơn mão tạm vì những thủ thuật này thường có tính thẩm mỹ cao hơn và có lẽ ít gây chấn thương cho răng bị tổn thương hơn so với việc sử dụng mão tạm. Nhược điểm đáng kể nhất của mão tạm là nguy cơ rò rỉ tiềm ẩn, tạo điều kiện cho vi khuẩn xâm nhập vào ngà răng bị lộ và do đó là mối đe dọa đáng kể đối với quá trình hồi phục tủy răng.
Một đường nứt riêng lẻ trên men dường như không gây nguy hiểm gì cho tủy. Tuy nhiên, trong những gãy thân răng có lộ ngà, các biện pháp điều trị nên hướng tới việc che phủ ngà răng để tránh sự xâm nhập của vi khuẩn và từ đó cho phép tủy phục hồi.
Thực nghiệm cho thấy rằng ở những răng tủy sống, ngà răng có khả năng chống lại sự xâm nhập của vi khuẩn đáng kể và ngà răng có tiếp xúc với môi trường miệng trong thời gian dài dường như ít thấm hơn ngà mới lộ. Hơn nữa, sự kích thích của vi khuẩn qua vùng ngà răng lộ gây ra tình trạng viêm tủy ở mức độ hạn chế và ít gây tổn thương vĩnh viễn.
Các nghiên cứu dài hạn cho thấy rất ít phản ứng tủy (ví dụ như hoại tử tủy hoặc tắc ống tủy) đối với gãy thân răng có hoặc không có lộ tủy hoặc các thủ thuật phục hồi tiếp theo miễn là không có tổn thương nha chu đi kèm.
Xem tiếp phần 2 tại đây.
Nguồn: Textbook and Color Atlas of Traumatic Injuries to the Teeth – Jens O. Andreasen, Frances M. Andreasen, Lars Andersson.


Bài viết liên quan
Phục hình cho răng đã điều trị nội nha – P2
Phục hình cho răng đã điều trị nội nha – P1
Sử dụng composite lỏng trong nha khoa – P6