April 17, 2026

NhasiUpdate

Chuyên trang RHM

Các yếu tố ảnh hưởng đến so màu răng – P3

Nhắc lại các yếu tố ảnh hưởng đến so màu răng được thảo luận trong bài:

– Ánh sáng.

– Sự xung đột ánh sáng trên lâm sàng.

– Hiệu ứng tương phản và các ảo ảnh quang học.

Các hiệu ứng liên quan đến cá nhân người nhìn.

– Khả năng cảm nhận màu và một số yếu tố khác.

 

HIỆU ỨNG LIÊN QUAN ĐẾN CÁ NHÂN KHI SO MÀU RĂNG

Nhận thức màu kém (color deficiency) (mù màu)

Những người bị khiếm khuyết về khả năng nhận thức màu thường gặp vấn đề khi quan sát các màu đỏ, xanh lá, xanh dương hay màu trộn giữa các màu này. Tình trạng này khá hiếm gặp, người ta thống kê được là có khoảng 8% nam và 0.5% nữ là mắc phải khiếm khuyết này.

Có thể sử dụng bài test thị giác dưới đây để xác định có khiếm khuyết màu hay không (H3.31).

 

Test khiếm khuyết màu khi so màu răng. (a) Test độ nhạy với màu xanh lá và màu vàng để phát hiện số 8. (b) Test ngược, số 8 dễ thấy hơn vì các tế bào nón nhạy với màu tím-đỏ.
Hình 3.31. Test khiếm khuyết màu. (a) Test độ nhạy với màu xanh lá và màu vàng để phát hiện số 8. (b) Test ngược, số 8 dễ thấy hơn vì các tế bào nón nhạy với màu tím-đỏ.

 

Ảnh hưởng của khiếm khuyết màu là khiến cho người nhìn xác nhận một Hue khác hẳn so với những người nhìn bình thường, hay nói cách khác, làm giảm khả năng phân biệt màu, độ bão hòa màu cũng như độ sáng tối của vật thể.

Bác sĩ gặp phải tình trạng này sẽ rất khó thực hiện việc so màu răng (H3.32).

 

(a) Hình ảnh với màu sắc dưới mắt nhìn bình thường. (b) Chứng mù màu đỏ. (c) Chứng mù màu xanh lá và (d) Chứng mù màu xanh dương.
Hình 3.32. (a) Hình ảnh với màu sắc dưới mắt nhìn bình thường. (b) Chứng mù màu đỏ. (c) Chứng mù màu xanh lá và (d) Chứng mù màu xanh dương.

 

Tuổi

Tuổi cũng là yếu tố gây bất lợi khi so màu răng vì thủy tinh thể và giác mạc của mắt trở nên đục hơn theo tuổi, có khuynh hướng thiên về màu vàng-nâu cho nên càng gây khó khăn khi phân biệt giữa màu trắng và màu vàng. Quá trình này bắt đầu vào lúc 30 tuổi, dần trở nên dễ nhận thấy hơn vào lúc 50 tuổi và cực kì đáng ngại vào tầm 60 tuổi. Vào tuổi 60, rất nhiều người gặp khó khăn khi cảm nhận màu xanh dương và màu tím.

 

Sự mệt mỏi

Mặc dù sự mệt mỏi nói chung có thể ảnh hưởng đến khả năng nhận thức màu sắc, tuy nhiên các hiệu ứng về nhận thức màu còn khác nhau dựa trên loại mệt mỏi (ở mắt hay toàn thân).

Khi mắt mệt mỏi, bác sĩ thường có khuynh hướng thích nghi màu sắc (chromatic adaption), đặc biệt là sau một phiên lâm sàng kéo dài hay khi so màu răng quá lâu. Sự thích nghi màu sắc phần lớn là sự điều chỉnh độ nhạy của các cơ chế nhận diện màu, có thể làm thay đổi màu răng hay màu vật liệu.

Các tế bào nón được liên kết với nhau tạo thành ba cặp màu đối lập: màu xanh dương-vàng, đỏ-xanh lá và đen-trắng, và sự kích thích một màu của bất kỳ cặp nào đều cho phép ức chế hoạt động của các cặp còn lại. Điều này có nghĩa là một đôi mắt mệt mỏi không thể đưa ra phán đoán màu sắc phù hợp, đặc biệt là sau khi bị kích thích quá nhiều bởi một màu nào đó.

Trong một nghiên cứu gần đây, một loạt các test thị lực màu dựa trên lâm sàng và nghề nghiệp đã được thực hiện trên các đối tượng không có khiếm khuyết màu và có khiếm khuyết màu, sau một giấc ngủ đêm bình thường và sau một đêm thiếu ngủ.

Điểm số trên các đối tượng bình thường về màu sắc, sau một đêm thiếu ngủ thấp hơn nhiều so với điểm số lúc bình thường (sau một giấc ngủ đêm bình thường), cho thấy bằng chứng về tác động của sự mệt mỏi toàn thân đối với khả năng nhận thức màu sắc.

 

Sự thích nghi ánh sáng và bóng tối

Sự thích nghi của một người được định nghĩa là khả năng ít bị nhạy cảm trước một kích thích khi cường độ của nó tăng lên. Quan niệm về sự thích nghi được áp dụng trong tất cả mọi trường giác quan, trong số đó có sự nhận thức màu. Có 3 sự thích nghi quan trọng ảnh hưởng đến khả năng nhận thức màu là thích nghi ánh sáng, bóng tối và màu sắc.

Thích nghi với ánh sáng là sự giảm độ nhạy thị giác khi mức độ chiếu sáng tổng thể tăng lên. Ví dụ, sự thích nghi với ánh sáng xảy ra khi bước vào một căn phòng được chiếu sáng tốt ngay sau khi rời khỏi một căn phòng tối.

Để tạo ra nhận thức hữu ích, hệ thống thị giác thích ứng với các điều kiện mới (tăng độ chiếu sáng) bằng cách trở nên ít nhạy cảm hơn. Quá trình này thường mất khoảng 5 phút để thiết lập hoàn toàn.

Sự thích nghi với bóng tối là quá trình ngược lại với sự thích nghi với ánh sáng. Trong trường hợp này, hệ thống thị giác thích nghi với các điều kiện mới (giảm độ chiếu sáng) bằng cách trở nên nhạy cảm hơn để tạo ra nhận thức hữu ích. Quá trình này mất khoảng 30 phút.

 

Dinh dưỡng

Chế độ dinh dưỡng đóng một vai trò quan trọng đối với sức khỏe cơ thể nói chung, và dĩ nhiên đôi mắt không phải là ngoại lệ. Trong tất cả các loại dưỡng chất thì vitamin A tham gia trực tiếp vào hệ thống thị giác của con người và cơ chế nhìn màu sắc.

Lượng vitamin A tối thiểu mà cơ thể người lớn cần là khoảng 900 microgam (mcg) mỗi ngày và không được vượt quá 3.000 mcg/ngày. Các nguồn cung cấp vitamin A chính bao gồm rau, trái cây, thịt và cá/hải sản. Mặc dù chưa được khoa học chứng minh, nhưng có những báo cáo cho thấy ăn các loại rau có lá màu xanh đậm (như rau bina hoặc rau mùi tây tươi) hoặc một số loại rau và trái cây màu cam (như cà rốt, bí đỏ và một số loại quả mọng) có thể có lợi cho sức khỏe tổng thể của mắt.

 

Cảm xúc

Trạng thái cảm xúc của một cá nhân có thể ảnh hưởng đến cách họ xác định và đánh giá màu sắc. Các liên tưởng cảm xúc với các màu sắc khác nhau được liệt kê trong bảng 3-3.

 

Màu sắc và sự liên quan đến trạng thái cảm xúc.
Bảng 3-3. Màu sắc và sự liên quan đến trạng thái cảm xúc.

 

Ngoài cảm xúc hoặc tâm trạng, sở thích của mọi người đối với màu sắc cũng có thể khác nhau tùy thuộc vào giới tính, độ tuổi và vị trí địa lý của họ. Do đó, các bác sĩ được khuyến cáo nên thư giãn trước khi so màu răng, mời các bác sĩ khác hoặc trợ thủ nha khoa tham gia chung vào việc so màu.

 

Rối loạn nhận thức màu gây ro do thuốc

Nhận thức thị giác có thể dễ dàng bị rối loạn khi thay đổi chất dẫn truyền thần kinh, protein hoặc enzyme liên quan đến các chuỗi phản ứng hóa học phức tạp của các thụ thể võng mạc, xử lý tín hiệu, các tế bào và khớp thần kinh của đường thị giác hướng tâm.

Có một số loại thuốc kích thích thần kinh, chất độc và thậm chí một số loại thực phẩm có khả năng can thiệp vào các quá trình này hoặc thay đổi một số quá trình trao đổi chất khác để duy trì tính toàn vẹn của hệ thống thị giác của con người.

Thuốc có thể thay đổi màu sắc thị giác bằng cách tác động lên một hoặc một số cơ chế của hệ thống thị giác. Ví dụ, các loại thuốc ức chế phosphodiesterase, chẳng hạn như sildenafil (được biết đến với tên thương mại là Viagra [Pfizer]), tạo ra sự nhận thức sai màu xanh dương tạm thời (đây là sự thay đổi có khả năng hoàn nguyên).

Nhà sản xuất báo cáo rằng sau khi dùng liều 100 mg, một số đối tượng đã phát hiện ra sự khác biệt nhẹ và thoáng qua khi phân biệt màu sắc (xanh dương/ xanh lá) trong 1 giờ, và trở lại bình thường sau 2 giờ. Tác dụng tương tự được tạo ra bởi theophylline và các tác nhân liên quan được sử dụng để điều trị các bệnh tim phổi.

Một cơ chế khác mà thuốc có thể làm thay đổi khả năng nhận thức màu sắc, đó là ảnh hưởng đến việc kiểm soát hàm lượng canxi nội bào, chẳng hạn như thuốc chẹn kênh canxi và glycoside, được báo cáo là tạo ra sự đổi màu thị giác trong một số trường hợp.
Cuối cùng, một số loại thuốc có thể làm thay đổi vận chuyển trục, do đó ảnh hưởng đến dây thần kinh thị giác và gây ra chứng rối loạn sắc tố xanh đỏ mắc phải.

Một số loại thuốc đã được báo cáo là gây ra những loại rối loạn màu sắc này là thuốc điều hòa nhịp tim như amiodarone (Cordarone, Sano Aventis) và thuốc điều trị bệnh lao ethambutol (Myambutol, X-Gen). Điều quan trọng phải nhấn mạnh là tác dụng của những loại này là không thể hồi phục và nguy cơ tăng lên khi sử dụng nhiều với thời gian điều trị lâu.

 

Sự khác biệt thị giác giữa 2 mắt

Cụ thể hơn thì nó là sự khác biệt về nhận thức giữa mắt phải và mắt trái.

Chúng ta thường có một mắt trội hơn (có thị lực tốt hơn một chút) và một mắt có thị lưc kém hơn một chút. Do đó ta không lạ gì khi thấy các test kiểm tra mù màu khi khám mắt định kì thường được tiến hành trên từng mắt riêng biệt.

Để kiểm tra sự khác biệt về khả năng nhận thức màu của 2 mắt, hai vật thể được đặt cạnh nhau dưới ánh sáng đồng đều. Chúng có thể xuất hiện khác nhau, ví dụ như cái bên phải có vẻ hơi nhẹ hơn cái bên trái. Sự khác biệt cảm nhận màu giữa 2 mắt được xác định khi thấy vật thể bên phải vẫn sáng hơn sau khi đã thay đổi vị trí (H3.33).

 

(a) Sự khác biệt khả năng nhận thức màu giữa 2 mắt. Khi 2 vật thể có cùng hình dạng và màu sắc được đặt cạnh nhau và trông chúng có vẻ hơi khác nhau, chẳng hạn như, 1 cái này trông có vẻ sáng hơn cái kia. (b) Nếu 2 vật thể đặt gần nhau theo chiều đứng thì hiện tượng đó không xảy ra.
Hình 3.33. (a) Sự khác biệt khả năng nhận thức màu giữa 2 mắt. Khi 2 vật thể có cùng hình dạng và màu sắc được đặt cạnh nhau và trông chúng có vẻ hơi khác nhau, chẳng hạn như, 1 cái này trông có vẻ sáng hơn cái kia. (b) Nếu 2 vật thể đặt gần nhau theo chiều đứng thì hiện tượng đó không xảy ra.

 

Do vậy trên lâm sàng, khi so màu răng, đặt các cây so màu ở trên hoặc dưới răng được so màu (thay vì bên cạnh) sẽ giúp loại bỏ lỗi do sự khác biệt giữa 2 mắt.

 

Các thuộc tính khác ảnh hưởng đến màu

Các đặc tính quang học khác (thuộc tính về ngoại hình) của men và ngà răng bao gồm độ trong/mờ (translucency/opacity), độ huỳnh quang (fluorescence), độ trắng đục (opalescence) và độ sáng bóng (gloss).

Độ trong (translucency) không phải là thông số đại diện của màu sắc, nhưng thuộc tính này có liên quan rất nhiều đến so màu răng và phục hình, cũng là yếu tố quan trọng nhất trong yêu cầu về phục hình thẩm mĩ.

Độ trong suốt tuyệt đối được gọi là transparency (khi mà tất cả ánh sáng đều được truyền qua, không có phản xạ và hấp thụ), và nó tương ứng với độ mờ (opacity) bằng 0.

 

translucency, transparency, opacity

 

Cạnh cắn các răng cửa tự nhiên đều trong mờ, và việc xác định được độ trong mờ chính xác khi so màu răng là rất quan trọng đối với sự thành công của ca phục hình (Hình 3-34).

 

Hình 3.34. (a), Cạnh cắn răng cửa giữa hàm trên có độ trong mờ hơi xanh. (b), Cạnh cắn răng cửa hàm trên trong mờ màu cam hơi xanh do bệnh nhân lớn tuổi.

 

Sự khác biệt lớn về độ trong mờ giữa răng tự nhiên và phục hình có thể ảnh hưởng lớn đến hình dáng và kết quả thẩm mỹ nói chung. Do đó, độ trong mờ tương đối của răng và vật liệu được chọn phải trùng nhau (Hình 3-35).

 

(a) Ảnh chụp dưới ánh sáng tự nhiên của 2 răng cửa đã nhổ (răng bên phải và răng ở giữa) và phục hình sứ (răng bên trái). Kĩ thuật viên đã lựa chọn vật liệu để mô phỏng lại răng thật rất hoàn hảo. (b) Ảnh chụp dưới ánh sáng phản xạ. (c) Ảnh chụp dưới ánh sáng xuyên qua. Răng sứ có độ trong mờ tương tự răng thật.
Hình 3.35. (a) Ảnh chụp dưới ánh sáng tự nhiên của 2 răng cửa đã nhổ (răng bên phải và răng ở giữa) và phục hình sứ (răng bên trái). Kĩ thuật viên đã so màu răng và lựa chọn vật liệu để mô phỏng lại răng thật rất hoàn hảo. (b) Ảnh chụp dưới ánh sáng phản xạ. (c) Ảnh chụp dưới ánh sáng xuyên qua. Răng sứ có độ trong mờ tương tự răng thật.

 

Một số vật liệu có độ trong mờ cao (ví dụ, sứ tổng hợp) trong khi những vật liệu khác có độ đục (opacity) cao hơn (ví dụ, zirconia và alumin) (bảng 3-4); do đó, việc xác định các đặc tính vốn có của vật liệu là bắt buộc khi mô phỏng màu sau khi so màu răng.

 

Đặc tính quang học tương đối của các loại sứ.
Bảng 3-4. Đặc tính quang học tương đối của các loại sứ.

 

Điều quan trọng là mặc dù đã lựa chọn đúng vật liệu và màu răng nhưng vẫn có thể xảy ra lỗi do khó kiểm soát sự đồng nhất và những sự thay đổi trong vật liệu. Ngoài ra, mài sửa soạn răng không đúng cũng làm ảnh hưởng tới màu răng.

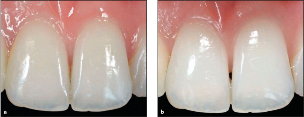
Việc so màu răng và mô phỏng màu thường khó khăn hơn khi răng đã được tẩy trắng (H3.36). Điều nàu là do màu sắc của chúng dần gần với 1 kích thích không màu: Hue ít vàng và ít đỏ hơn, độ Chroma thấp (nhạt) và độ Value cao (sáng) hơn.

 

Hình 3.36. Hình ảnh răng trước (a) và sau (b) khi tẩy trắng. Răng sau tẩy trắng rất khó mô phỏng màu vì gần như mất hue và chroma, chỉ có duy nhất Value là thông số còn lại, nên khó so màu răng và mô phỏng màu hơn.

 

Độ bóng (gloss) là một thuộc tính của hình ảnh trực quan tương ứng với lượng ánh sáng phản xạ từ một bề mặt theo hướng đặc trưng (giống như gương). Nó là một tham số quan trọng được sử dụng để mô tả hình thức trực quan của một đối tượng. Độ bóng phụ thuộc vào góc của ánh sáng tới, độ nhám bề mặt, chỉ số khúc xạ (refractive index) của răng và vật liệu phục hồi (xem lại Hình 3-34).

Các khu vực bóng mờ che đi màu của răng và phục hình, cả trong khi so màu răng bằng mắt hay so màu răng bằng ảnh kĩ thuật số. Thiết bị để đo độ bóng, được gọi là gloss meter, đơn vị đo là gloss units (GU).

Độ bóng càng cao thì càng tỉ lệ nghịch với với độ nhám bề mặt (bề mặt càng mịn). Điều này không chỉ quan trọng đối với tính thẩm mỹ của phục hình mà còn về tuổi thọ, độ bền màu và sự giảm tích tụ mảng bám của phục hình.

Độ huỳnh quang (fluorescence) là một đặc tính vật lý khác quan trọng đối với các bác sĩ phục hồi thẩm mỹ, đặc biệt là trong lĩnh vực sứ. Về bản chất, răng (cụ thể hơn là ngà răng) có tính huỳnh quang vì chúng phát ra ánh sáng nhìn thấy được khi có tiếp xúc với ánh sáng cực tím (Hình 3-38). Sứ chứa các tác nhân làm cho phục hình có tính huỳnh quang.

 

(a) Hình ảnh răng tự nhiên (đã nhổ) dưới ánh sáng ban ngày tự nhiên. (b) Hình ảnh minh họa cách ánh sáng cực tím (ultrviolet UV) tương tác với các tế bào của ngà răng, làm phát ra các tia phản xạ. Hiện tượng này được gọi là huỳnh quang (fluorescence). (c) Răng ở hình a dưới ánh sáng cực tím (UV), chú ý độ huỳnh quang của lớp ngà cao hơn lớp men.
Hình 3.38. (a) Hình ảnh răng tự nhiên (đã nhổ) dưới ánh sáng ban ngày tự nhiên. (b) Hình ảnh minh họa cách ánh sáng cực tím (ultrviolet UV) tương tác với các tế bào của ngà răng, làm phát ra các tia phản xạ. Hiện tượng này được gọi là huỳnh quang (fluorescence). (c) Răng ở hình a dưới ánh sáng cực tím (UV), chú ý độ huỳnh quang của lớp ngà cao hơn lớp men.

 

Huỳnh quang làm tăng thêm vẻ tự nhiên của phục hồi và giảm thiểu hiệu ứng metame (xem lại phần 1).

Độ trắng đục (opalescence) là khả năng vật liệu trong mờ có vẻ hơi xanh khi ánh sáng phản xạ và hơi đỏ cam khi ánh sáng truyền qua. Dưới ánh sáng trực tiếp, các bước sóng ngắn hơn của quang phổ nhìn thấy (tức là bước sóng xanh dương) được phản xạ từ các hạt mịn của men răng tự nhiên và sứ nha khoa, làm cho màu trắng trở thành hơi xanh, trong khi bước sóng dài hơn (tức là bước sóng màu đỏ cam) thì được hấp thụ (Hình 3-39).

 

Hiệu ứng opalescent màu xanh dương do sự phản xạ và sự truyền ánh sáng có bước sóng xanh.
Hình 3.39. Hiệu ứng opalescent màu xanh dương do sự phản xạ và sự truyền ánh sáng có bước sóng xanh.

 

Tuy nhiên, khi thực hiện chiếu sáng (transillumination), ánh sáng đi xuyên qua răng tự nhiên và trở thành màu cam vì các bước sóng dài được phản xạ lên bề mặt răng, ngược lại, các bước sóng ngắn (bước sóng xanh) thì bị hấp thu (H3.40).

 

(a) HIện tượng opalescent cam, do sự truyền và hấp thụ ánh sáng bước sóng đo-vàng (cam) và sự hấp thụ ánh sáng có bước sóng xanh. (b) Minh họa sự truyền ánh sáng có bước sóng dài (cam) qua men và ngà răng.
Hình 3.40. (a) HIện tượng opalescent cam, do sự truyền và hấp thụ ánh sáng bước sóng đo-vàng (cam) và sự hấp thụ ánh sáng có bước sóng xanh. (b) Minh họa sự truyền ánh sáng có bước sóng dài (cam) qua men và ngà răng.

 

Hiệu ứng này, trong vật lý quang học được gọi là hiệu ứng Tyndall, ta gọi là opalescence của răng tự nhiên. Cả opalescence và fluorescence đều góp phần chịu trách nhiệm cho độ sáng bên trong của răng tự nhiên mà các bác sĩ lâm sàng và kĩ thuật viên phải cố gắng mô phỏng khi chế tác phục hình. 

 

Ví dụ về các hiệu ứng ánh sáng trên răng thật. (a) Ánh sáng tự nhiên. (b), Fluorescence. (c) Opalescence xanh dương. (d) Opalescence cam. (e) Translucency.
Hình 3.41. Ví dụ về các hiệu ứng ánh sáng trên răng thật. (a) Ánh sáng tự nhiên. (b), Fluorescence. (c) Opalescence xanh dương. (d) Opalescence cam. (e) Translucency.

 

Cần tránh làm phục hình có độ đục (opacity) quá mức, dẫn đến phục hình trông không có sức sống, cũng như trong (translucency) quá mức, dẫn đến phục hình trông quá xám và tối.

 

Xem lại bài các yếu tố ảnh hưởng đến so màu răng phần 1 tại đây và phần 2 tại đây.

 

Nguồn: Color in Dentistry, A Clinical Guide to Predictable Esthetics – Stephen J. Chu, Irena Sailer, Rade D. Paravina, Adam J, Mieleszko.

Nhasiupdate
Nhasiupdate
Hãy gửi tin nhắn cho mình nhé!
Send a message