Tụt nướu được định nghĩa là sự dịch chuyển của đường viền nướu từ vị trí sinh lí của nó về phía chóp, gây ra sự lộ chân răng bệnh lý.
Mặc dù tụt nướu gây ảnh hưởng tới tất cả các mặt răng nhưng mục đích chính khi thực hiện phẫu thuật nướu – niêm mạc là để điều trị ở mặt ngoài.
Loại tổn thương này thường gặp ở những bệnh nhân không có bệnh lí nha chu (hoặc nhẹ) và khác với đặc điểm của viêm nha chu.
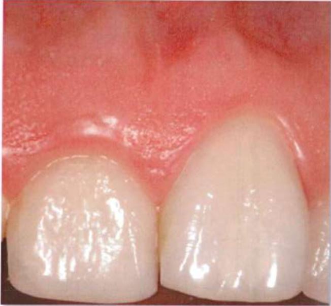
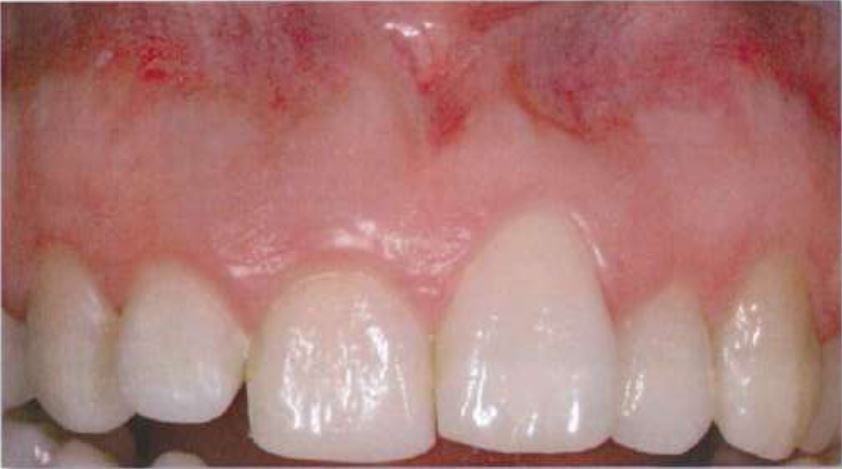
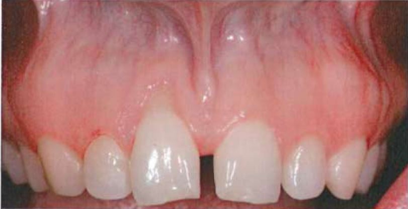
Dấu hiệu đặc trưng trên lâm sàng của tụt nướu mà bệnh nhân dễ nhận thấy nhất là răng có vẻ “dài ra”. Mặc dù thân răng quá dài có thể là 1 dấu hiệu nguy cơ, nhưng không phải thân răng dài luôn đồng nghĩa với răng bất thường, đây là 1 lỗi rất hay gặp trên lâm sàng.
Khi bệnh nhân nhận thấy sự khác biệt chiều dài giữa các răng kế cận nhau thì thường có khuynh hướng kết luận răng dài hơn chính là răng bất thường.

Để xác định đúng 1 răng dài hơn bình thường hay không thì cần phải đánh giá mức độ lộ chân răng, thông qua sự khác biệt màu sắc trên lâm sàng, vì phần ngà răng và cement thường vàng và tối hơn so với phần thân răng, hoặc nhận biết bằng cách xác định đường nối men-cement (CEJ), là 1 đường cong nhẹ, dạng vỏ sò, phân chia thân răng và chân răng.
Răng dài nhưng không lộ CEJ hoặc chân răng, chỉ thấy men trên toàn bộ mặt ngoài thì chắc chắn không bị tụt nướu, và do đó không được chỉ định phẫu thuật nướu để che phủ thân răng. Trong trường hợp này, nếu răng kế cận có chiều dài ngắn hơn thì rất có khả năng, răng ngắn hơn này mới là bất thường, và từ đó đi theo hướng xác định nguyên nhân gây ra bất thường này.
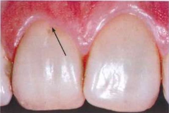
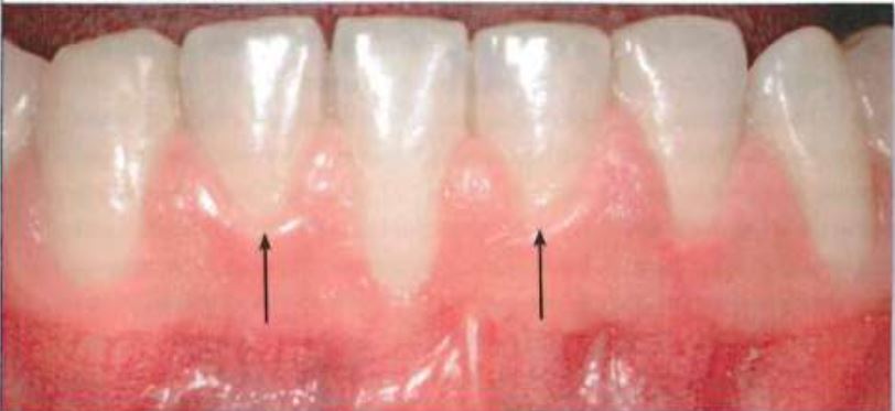
Nguyên nhân phổ biến nhất khiến cho thân răng ngắn hơn bình thường là “rối loạn mọc răng thụ động” (altered passive eruption). Quá trình mọc răng bao gồm giai đoạn chủ động và thụ động. Giai đoạn mọc răng chủ động diễn ra do sự di chuyển của răng hướng tới mặt phẳng nhai, thông thường 1 răng vĩnh viễn mọc lên cho đến khi chạm răng đối diện, trong khi đó giai đoạn mọc răng thụ động liên quan tới sự bộc lộ răng nhờ sự di chuyển của mô nướu về phía chóp, cho đến vị trí sinh lí của nó là 1 – 2 mm về phía thân răng so với CEJ.
Rối loại mọc răng thụ động dẫn đến sự khác biệt về chiều dài thân răng lâm sàng giữa những răng liền kề nhau, thường được quan sát thấy ở vùng răng cửa hàm dưới.

Trường hợp tụt nướu thực sự ở 1 răng riêng lẻ thì thường do bất thường mô cứng như cement hay ngà răng nhô về phía thân răng lâm sàng hoặc do các khiếm khuyết trên men răng.

Chẩn đoán những trường hợp như vậy dựa vào hình dạng vỏ sò của đường viền nướu có bất thường, hay gặp trên những răng có phần mô cứng cũng bất thường nốt.
Nguyên nhân gây ra “rối loạn mọc răng thụ động” trên toàn bộ răng vẫn chưa được biết rõ. Trong những trường hợp đó, chấn thương tại chỗ hoặc vệ sinh răng sai cách hoặc viêm nhiễm tại chỗ, gây tích tụ mảng bám dưới nướu, dẫn đến dịch chuyển đường viền nướu về đúng vị trí sinh lí của nó, xảy ra trên 1 hoặc 1 vài răng, làm cho những răng này trở nên dài hơn toàn bộ các răng còn lại.


Hầu hết những tình huống như vậy đều bị chẩn đoán nhầm lẫn răng bình thường chính là răng bị tụt nướu.
Để chẩn đoán đúng, trước tiên phải loại trừ các bất thường về hình dạng răng (bất thường có thể gặp ở răng cửa bên, rất hiếm gặp ở răng cửa giữa và răng nanh), thứ 2 là xác định được CEJ ở những răng có thân răng ngắn.
Việc xác định CEJ này hoàn toàn không dễ do 2 lí do sau đây: (1) nướu mặt ngoài thường dính với biểu mô kết nối, dọc theo bề mặt men răng và do đó không thể thăm dò được CEJ (đôi lúc có túi nha chu mặt ngoài thì giúp dễ chẩn đoán hơn). (2) Mào xương mặt ngoài ở những răng rối loạn mọc thụ động có thể nằm về phía thân răng so với CEJ (rối loạn mọc răng thụ động do xương – osseous passive eruption), nghĩa là không thể thăm dò được CEJ ngay cả khi có túi nha chu ở mặt ngoài.
Sự hỗ trợ tốt nhất trong chẩn đoán rối loạn mọc răng thụ động là phim quanh chóp được chụp bằng kĩ thuật song song. Nếu 2 răng có chiều cao lâm sàng khác nhau mà có mức CEJ ngang bằng nhau thì chẩn đoán rối loạn mọc răng thụ động trên răng ngắn hơn là điều chắc chắn.


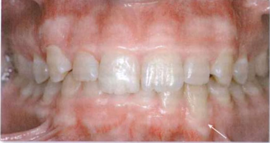
Vùng răng cửa hàm dưới là vị trí hay xảy ra chẩn đoán sai giữa mọc răng thụ động (mũi tên) với tụt nướu.

Sử dụng thấu kính phóng đại và quan sát từ phía bên (profile răng), không quan sát thấy đường chuyển tiếp giữa bề mặt thân răng và chân răng, là bước đầu tiên giúp hướng đến chẩn đoán rối loạn mọc răng thụ động.

Đôi khi có thể xảy ra trường hợp là răng đã hoàn tất việc mọc răng thụ động nhưng lại bị tụt nướu thực sự thì việc chẩn đoán sẽ phức tạp hơn: tụt nướu trên 1 răng và rối loạn mọc răng thụ động ở những răng kế cận.

Việc chẩn đoán tụt nướu luôn đòi hỏi phải quan sát được CEJ và phần chân răng bị lộ (nếu có thể). Độ sâu nướu bị tụt (recession depth – RD) được đo bằng cây đo túi nha chu, từ CEJ cho đến điểm viền nướu thấp nhất về phía chóp.

Mức độ mất bám dính lâm sàng (clinical attachment loss – CAL) bằng tổng độ sâu túi nha chu (probing depth – PD) cộng với độ sâu nướu tụt (recession depth – RD).

Điều trị phẫu thuật sẽ được nói tới trong các bài sau.
Nguồn: Mucogingival Esthetic Surgery – Giovanni Zucchelli.


Bài viết liên quan
Sử dụng composite lỏng trong nha khoa – P6
Thẩm mỹ và cơ học sinh học trong chỉnh nha – P12 – Đánh giá thẩm mỹ trong chỉnh nha
Thẩm mỹ và cơ học sinh học trong chỉnh nha – P11 – Đánh giá thẩm mỹ trong chỉnh nha