April 17, 2026

NhasiUpdate

Chuyên trang RHM

Điều trị thủng sàn tủy bằng MTA – Ca lâm sàng

Bệnh nhân nam, 22 tuổi, đau R36 đặc biệt khi ăn nhai.

Khám lâm sàng thấy R36 đang được bọc mão sứ – kim loại, đã có lỗ mở tủy xuyên qua mão và đang được trám tạm. Răng đau khi gõ và sờ.

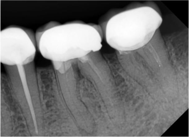
X quang R36 nghi ngờ thủng sàn tủy, vùng thấu quang quanh chóp chân gần và thấu quang vùng chẽ. R35 đã được điều trị tủy và phục hình, R37 điều trị tủy chưa đạt (H13.1).

 

 

Quy trình điều trị

– Gây tê, đặt đê, tháo miếng trám tạm và miếng trám amalgam cũ, xác định được lỗ thủng (H13.2).

 

Hình 13.2. Sau khi tháo mão, tháo miếng trám amalgam cũ thì thấy thủng sàn tủy.

 

– Bơm rửa sạch, xác định lại miệng ống tủy.

 

Hình 13.3. Làm sạch xoang tủy để quan sát rõ lỗ thủng.

 

Hình 13.4. Hình ảnh lỗ thủng sau khi làm sạch.

 

– Sửa soạn ống tủy bằng trâm máy đến trâm F3 trước khi bít lỗ thủng bằng MTA. Bơm rửa bằng NaOCl 3% và EDTA 17% luân phiên, sử dụng máy bơm rửa nội nha EndoActivator trong 30 giây sau mỗi lần thay trâm.

Lỗ thủng được bơm rửa bằng NaOCl 2.5%. Bơm rửa lần cuối cùng với Chlorhexidine 2% sử dụng EndoActivator trong 1 phút.

 

Hình 13.5. Sửa soạn lại các ống tủy trước khi bít lỗ thủng bằng MTA.

 

 

Hình 13.6. Sau khi sửa soạn lại các ống tủy.

 

 

– Sau khi loại bỏ mô hạt và bơm rửa lỗ thủng với NaOCl và kiểm soát chảy máu từ lỗ thủng, che kín các miệng ống tủy lại bằng Teflon ngay trước khi đặt MTA.

 

Hình 13.7. Lau khô các ống tủy và lỗ thủng.

 

 

Hình 13.8. Bịt các miệng ống tủy lại bằng Teflon để MTA không bị dính vào.

 

– Nhồi MTA lên vị trí lỗ thủng và thấm khô bằng một cây cọ nhỏ. Cần chú ý cẩn thận khi đặt MTA vì nó có thể gây chảy máu lại.

 

Hình 13.9. Đặt MTA lên lỗ thủng và lấy Teflon ra.

 

 

Hình 13.10. Trám bít lại ống tủy bằng gutta-percha và epoxy resin-based sealer (AH Plus®).

 

Hình 13.11. X quang ngay sau điều trị.

 

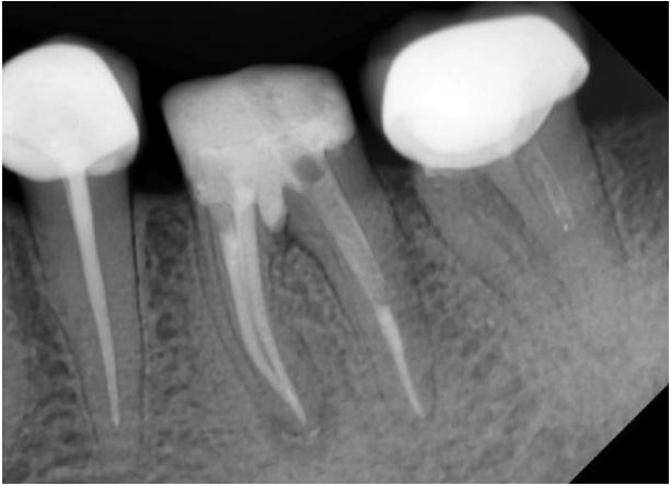
Trong thời gian theo dõi 1 năm thì bệnh nhân không có triệu chứng. Phim X quang cho thấy sự lành thương và thu nhỏ kích thước khối thấu quang vùng chẽ.

 

Hình 13.12. X quang sau 1 năm.

 

 

Nguồn: Clinial Atlas of Retreatment in Endodontics – Viresh Chopra.

Nhasiupdate
Nhasiupdate
Hãy gửi tin nhắn cho mình nhé!
Send a message