Giai đoạn mài hoàn tất và đánh bóng miếng trám composite là những bước cuối cùng nhằm tái tạo các đặc điểm giống như răng thật.
Lớp bề mặt bị ức chế bởi Oxy
Quá trình trùng hợp của bất kỳ bề mặt resin nào cũng đều bị ảnh hưởng bất lợi bởi sự có mặt của Oxy vì các monome trong nhựa composite phản ứng trùng hợp tạo ra gốc tự do. Oxy là một chất dễ kết hợp với các gốc tự do; do đó, các chất ban đầu tạo ra sau quá trình trùng hợp composite có khuynh hướng dễ liên kết với Oxy hơn là các monome.
Sự ảnh hưởng này chỉ xảy ra ở trên bề mặt của miếng trám. Đối với composite quang trùng hợp thì thường tạo ra một lớp dính, dày khoảng 30 micron gồm các monomer và oligomer chưa trùng hợp trên bề mặt của miếng trám (đối với composite tự trùng hợp thì lớp này có phần dày hơn).
Sự hiện diện của lớp bị ức chế bởi Oxy này có thể dẫn đến những vấn đề sau:
1. Nó có khuynh hướng hấp thụ nước, dẫn đến làm đổi màu miếng trám và thay đổi độ trong.
2. Lớp này nhanh chóng bị thoái hóa trong môi trường miệng, làm ảnh hưởng đến kết quả đánh bóng và sự khít sát đường viền.
3. Lớp dính này làm nhiễm bẩn đĩa đánh bóng và đầu cao su, ảnh hưởng đến tốc độ và chất lượng của quá trình đánh bóng.
Và may mắn thay, ta có cách khắc phục cực kỳ đơn giản, đó là trước khi trùng hợp lớp composite cuối cùng thì phải che phủ toàn bộ bề mặt miếng trám bằng Glycerin và chiếu đèn trong vòng từ 40 – 60 giây. Sau đó xịt nước để rửa trôi lớp Glycerin này đi.
Không được thay thế Glycerin bằng các vật liệu gốc dầu, chẳng hạn như Vaseline, vì chúng là chất kị nước nên rất khó rửa sạch.
Không cần phải quá quan trọng tên thương hiệu của Glycerin. Glycerin là Glycerin. Có thể mua ở nhà thuốc với giá rẻ hơn so với nơi mua vật liệu nha khoa.
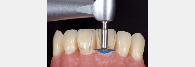
Mài chỉnh
Mục đích của việc mài chỉnh là tạo ra đường viền mặt ngoài và cấu trúc đại thể bề mặt miếng trám tương tự răng thật. Giai đoạn đầu tiên là tạo giao diện phía gần và phía xa (line angle). Giao diện này thể hiện sự chuyển tiếp từ mặt bên đến mặt ngoài.
Đầu tiên, đánh dấu giao diện (line angle) bằng bút chì lên trên bề mặt miếng trám. Sau đó dùng đĩa đánh bóng thô và di chuyển theo chiều ngang từ line angle cho đến tiếp điểm mặt bên.

Sau đó xoay vuông góc đĩa đánh bóng lại và tạo dạng trung tâm mặt ngoài bằng cách di chuyển đĩa theo chiều dọc, và chỉ mài giới hạn giữa 2 line angle phía gần và phía xa.

Trong trường hợp đắp composite lên toàn bộ mặt ngoài (veneer composite) thì sử dụng đĩa đánh bóng có đường kính nhỏ hơn và phải mài chỉnh theo chiều dọc, từ line angle cổ răng cho đến hết đường viền miếng trám phía cổ răng.

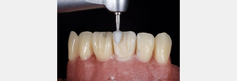
Ở người trẻ, cần tạo thêm các rãnh phân thùy (mammelon grooves) phía gần và phía xa bằng mũi carbide hoặc mũi kim cương ngọn lửa, sử dụng tay khoan chậm và có xịt nước. Nên di chuyển mũi khoan theo chiều ngang hơn là theo chiều dọc.

Sau đó tiếp tục chuyển sang đầu cao su để làm mịn lại các rãnh này.

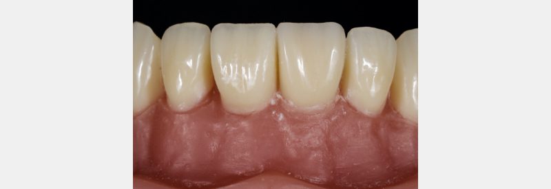
Đánh bóng
Mục đích của việc đánh bóng là để loại bỏ các dấu vết mài chỉnh, tăng thêm sự khít sát của đường viền. Nhờ vậy, miếng trám sẽ phần nào mô phỏng được như bề mặt răng thật, hạn chế sự lưu giữ thức ăn gây ra cũng như hạn chế sự đổi màu miếng trám.
Sử dụng đĩa mịn và cực mịn để đánh bóng, mũi cao su mịn điều chỉnh thêm rãnh gần và xa để làm rõ thêm các thùy (mammelon).
Để tạo hiệu ứng perikymata (hiện tượng các vân ngang trên răng) thì cách dễ dàng và hiệu quả nhất là sử dụng giấy nhám cuộn gắn với trục lắp, và tay khoan chậm, mài theo chiều ngang với áp lực mạnh và không phun nước.


Bước đánh bóng sau cùng sẽ sử dụng bột Nhôm Oxide 1 micron, là chất đánh bóng dạng kem (paste) và đĩa đánh bóng mềm. Động tác phải theo chiều dọc từ cổ răng đến rìa cắn chứ không phải theo chiều ngang để tránh tạo ra các vết trầy xước.




Bài viết liên quan
Sử dụng composite lỏng trong nha khoa – P6
Thẩm mỹ và cơ học sinh học trong chỉnh nha – P12 – Đánh giá thẩm mỹ trong chỉnh nha
Thẩm mỹ và cơ học sinh học trong chỉnh nha – P11 – Đánh giá thẩm mỹ trong chỉnh nha