Những Implant có đường kính nhỏ đã được chứng minh là cực kỳ hữu ích trong những trường hợp thể tích xương bị giới hạn.
Một trong những mối quan tâm hàng đầu của các nhà lâm sàng khi sử dụng các Implant có kích thước nhỏ là khả năng dễ bị gãy vỡ khi phải chịu lực nhai.
Trong những năm gần đây, hãng Straumann đã giới thiệu và phát triển loại Implant BLT ɸ 2,9 mm, được chế tạo bằng Roxolid – một hợp kim chứa 15% Zirconia và 85% Titan, có độ bền kéo và độ kháng mỏi cao hơn so với những Implant bằng Titan khác, đồng thời có đặc tính tương hợp sinh học và khả năng tích hợp xương tuyệt vời.
Bài viết dưới đây sẽ dẫn chúng ta đến với 1 ca lâm sàng cắm Implant tức thì răng cửa bên hàm trên. Implant được chỉ định vì thân răng bị gãy quá sâu dưới nướu, cấu trúc răng còn lại không đủ để thực hiện phục hồi.
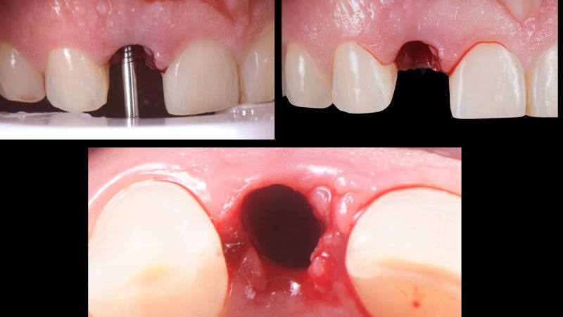
Hình 1. Hình ảnh răng cửa bên hàm trên bị gãy sâu dưới nướu, chú ý khoảng cách chiều ngang (gần – xa) đo được trên phim quanh chóp.
Hình 2. Nhổ răng sang chấn tối thiểu bằng hệ thống Benex để bảo vệ xương và mô mềm xung quanh.
Hệ thống nhổ răng không sang chấn Benex.
Hình 3. Sau khi đi mũi khoan đầu tiên và đặt pin định hướng (guide pin) để xác định lại hướng và vị trí Implant.
Hình 4. Đặt Implant Straumann BLT 2.9 x 14 mm.
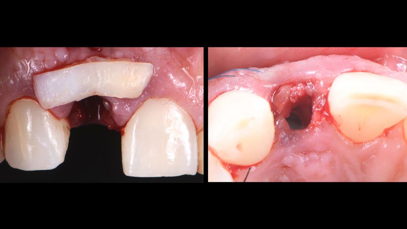
Hình 5. Thực hiện một trụ Healing cá nhân bằng nhựa composite để duy trì cấu trúc mô mềm xung quanh.
Hình 6. Hình ảnh Healing cá nhân sau khi thực hiện.
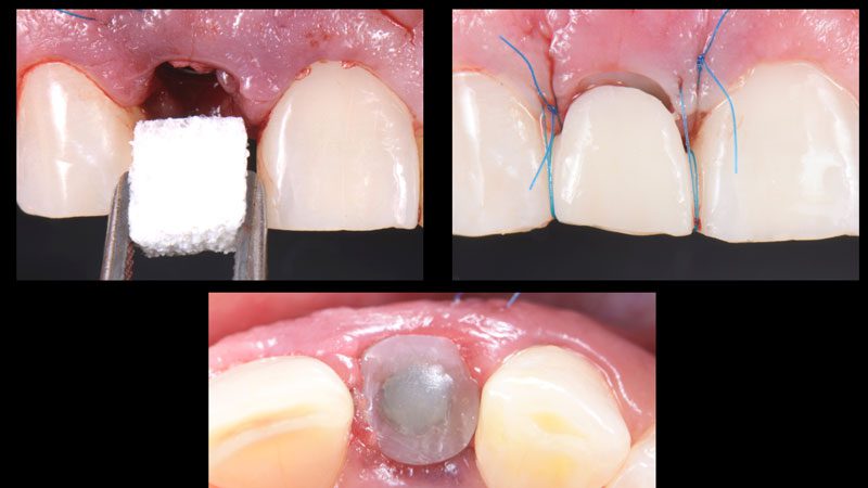
Hình 7. Ghép mô mềm (lấy mô từ khẩu cái) bằng kĩ thuật đường hầm (tunneling technique).
Hình 8. Ghép Collagen BioOss vào vùng thiếu hổng, đặt trụ Healing cá nhân. Sau khi gắn phục hình tạm (cầu dán Maryland) thì thêm 2 mũi khâu treo xung quanh để nâng đỡ cho mô ghép.
Hình 9. 3 tháng sau khi cắm Implant, chú ý cấu trúc mô mềm xung quanh vẫn còn nguyên.
Hình 10. Lấy dấu bằng coping cá nhân để ghi lại cấu trúc mô mềm và chuyển qua mẫu hàm cho chính xác.
Hình 11. Phục hình tạm lưu giữ bằng ốc vặn.
Hình 12. Phục hình tạm trên mẫu hàm.
Hình 13. Phục hình tạm sau khi gắn trong miệng. Lỗ vặn được bít lại bằng Teflon (cao su non) và phủ composite lên.
Hình 14. Thiết kế abutment cá nhân bằng zirconia, mão sứ zirconia đắp porcelain.
Hình 15. Hình ảnh mô mềm sau khi lành thương hoàn toàn.
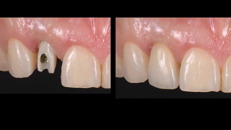
Hình 16. Gắn abutment zirconia và mão.
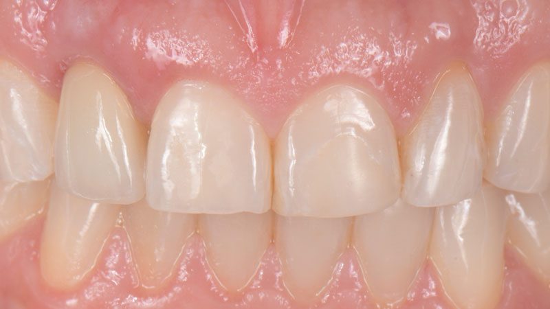
Hình 17. 1 tháng sau khi gắn phục hình.
Hình 18. 3 tháng sau khi gắn phục hình. Thân răng cửa giữa ngắn hơn thân răng cửa bên. Bệnh nhân được đề nghị phẫu thuật làm dài thân răng nhưng từ chối điều trị.
Hình 19. Phim quanh chóp và CBCT sau 3 tháng gắn phục hình.
Bài viết liên quan
Kỹ thuật nhổ răng tiểu phẫu – P5
Kỹ thuật nhổ răng tiểu phẫu – P4
Kỹ thuật nhổ răng tiểu phẫu – P3