No. 1: có 1 đường viền rõ rệt giữa “phần răng’ và “phần trám”, tố cáo rõ ràng cho một răng chắp vá!
Đây chắc chắn là một vấn đề bác sĩ nào cũng từng gặp phải sau khi kết thúc chiếc răng trám, và khi nhìn lại, bác sĩ sẽ chẳng muốn cho bệnh nhân soi gương tí nào, khi không thể giấu được phần ranh giới giữa răng và miếng trám.

Cách khắc phục: Mài bỏ phần mặt ngoài của miếng trám và phải đảm bảo mài vát đến lớp ngà.
Rất khó để che đi “đường viền” này nếu không mài vát đủ rộng. Dùng mũi khoan kim cương có đường kính lớn mài bỏ phần miếng trám, có thể để lại phần giao tuyến (line angle) mặt ngoài/rìa cắn để không phải trám lại phần này.

Để lại phần miếng trám phía mặt trong để có thể đắp composite lên trên đó. Etch và bond như bình thường. Đắp composite ngà phủ lên trên phần vát và vẫn phải đảm bảo đủ chỗ cho lớp men.
Sau khi đắp xong lớp ngà thì phải chắc là không thấy đường viền nào, vì nếu lúc này vẫn thấy thì khi kết thúc miếng trám cũng sẽ thấy đường viền như trước.


No. 2: miếng trám quá đục
Nguyên nhân là do đắp lớp ngà quá dày.
Cách khắc phục: Mài bỏ bớt để tạo chỗ cho đắp lớp men

Khi đắp lớp ngà quá dày thì chỗ cho lớp men còn lại rất mỏng.
Khi kết thúc trám và mài chỉnh, đánh bóng, nghĩa là đã mài bỏ đi lớp men mỏng đó, hay nói cách khác, miếng trám mà ta vừa thực hiện chỉ là một khối lớn composite ngà.
Lúc này chỉ cần dùng mũi khoan mài một lớp giống như mài sửa soạn veneer, nhưng giữ nguyên mặt trong và phần giao tuyến (line – angle) mặt ngoài/rìa cắn. Sau đó, etch và bond như bình thường rồi đắp lớp men lên.
No. 3: miếng trám trông quá sẫm
Nguyên nhân là do composite ngà có màu quá sẫm.
Cách khắc phục: Mài bỏ và trám lại bằng composite ngà có màu sáng hơn.

Khi chọn màu ngà răng, chúng ta thường có khuynh hướng chọn màu sẫm hơn thực tế bởi vì khi so màu ta biết và luôn cho rằng lớp ngà bên dưới có màu khác với lớp men bề mặt.
Nếu gặp phải lỗi chọn màu ngà sáng hơn thực tế thì có thể khắc phục bằng cách chọn màu lớp men tối hơn. Chẳng hạn như, với răng màu A3 thì có thể chọn ngà màu A2 và đắp thêm lớp men màu A3 lên trên.
No. 4: có quá ít hoặc quá nhiều các đặc điểm đặc trưng (như đường nứt, đốm trắng….)
Nguyên nhân là từ sự thay đổi ở răng kế bên.
Cách khắc phục: nên chờ ít nhất là 72 tiếng rồi mới đánh giá lại xem miếng trám có thực sự khác biệt với răng kế hay không. Nếu có thì mài bớt và trám lại, thêm các hiệu ứng đặc biệt cho phù hợp.



Kết quả ngay sau điều trị thường không khớp vì trong quá trình điều trị, răng kế bên bị mất nước khiến cho những đốm trắng trên thân răng trở nên rõ ràng hơn.
Cho nên luôn cần đợi khoảng 72 tiếng để răng trở lại trạng thái bình thường rồi mới đánh giá lại xem có cần thay đổi hay không. Và đương nhiên trước khi điều trị phải luôn báo trước cho bệnh nhân về tình trạng này.
Hẹn bệnh nhân trở lại sau 1 tuần để đánh bóng miếng trám, đồng thời kiểm tra lại miếng trám xem có phù hợp không.
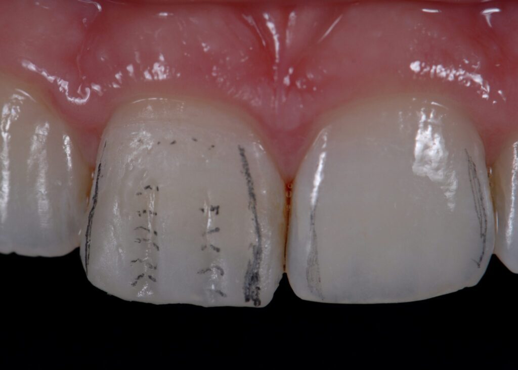
No. 5: miếng trám trông rất “giả trân”.
Nguyên nhân là do bề mặt không được tạo hoặc đánh bóng đúng cách. Ánh sáng phản chiếu vào làm miếng trám trông “giả”.

Cách khắc phục: tập trung vào tạo lập phần giao tuyến (line – angle) và cấu trúc bề mặt cho chính xác.
Phục hình cần được tái tạo lại đúng cấu trúc bề mặt để ánh sáng phản xạ lại tương tự như răng thật. Có thể vẽ đường giao tuyến (line – angle) bằng bút chì để dễ hình dung.

Đánh bóng răng thật kĩ và đừng quá lo lắng bởi vì có thể mất từ 1 đến 2 tiếng đồng hồ mới tạo được một bề mặt răng “đẹp tự nhiên”. Hãy đầu tư một bộ kit đánh bóng composite thay vì bắt bệnh nhân ngồi trên ghế quá lâu.
No. 6: Miếng trám trông quá xám.
Nguyên nhân là do tạo độ trong cho răng quá mức cần thiết.
Cách khắc phục: Mài bỏ phần mặt ngoài (hoặc mặt trong) và đắp thêm lớp composite ngà.

Khoang miệng là một hố đen khổng lồ, nên nếu miếng trám quá trong thì khi kết thúc sẽ thấy nó có vẻ xám.
Nếu mặt ngoài miếng trám ổn thì mài bỏ 0.5 – 1 mm composite mặt trong và đắp thêm composite opaque hoặc composite ngà. Cũng có thể mài bỏ mặt ngoài và làm tương tự.
No. 7: Miếng trám có bọt.
Cách khắc phục là mài bỏ cho đến hết phần bọt và đắp lại composite như bình thường.


Đừng phí thời gian để cố gắng đánh bóng cho phần bọt biến mất, vì cuối cùng phục hình sẽ bị hỏng, cho nên cần mài bỏ đi và đắp lại.


Bài viết liên quan
Sử dụng composite lỏng trong nha khoa – P6
Thẩm mỹ và cơ học sinh học trong chỉnh nha – P12 – Đánh giá thẩm mỹ trong chỉnh nha
Thẩm mỹ và cơ học sinh học trong chỉnh nha – P11 – Đánh giá thẩm mỹ trong chỉnh nha