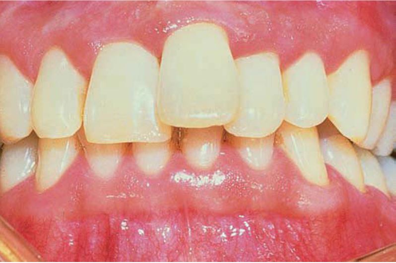
Răng dung hợp (fusion)
Xảy ra khi 2 mầm răng riêng rẽ nhập lại với nhau. Phần răng dung hợp thường chỉ chứa ngà và đôi khi chứa cả men.
Tỉ lệ gặp trên răng sữa cao hơn gấp 5 lần so với răng vĩnh viễn và thường xuất hiện cả hai bên hơn là một bên.
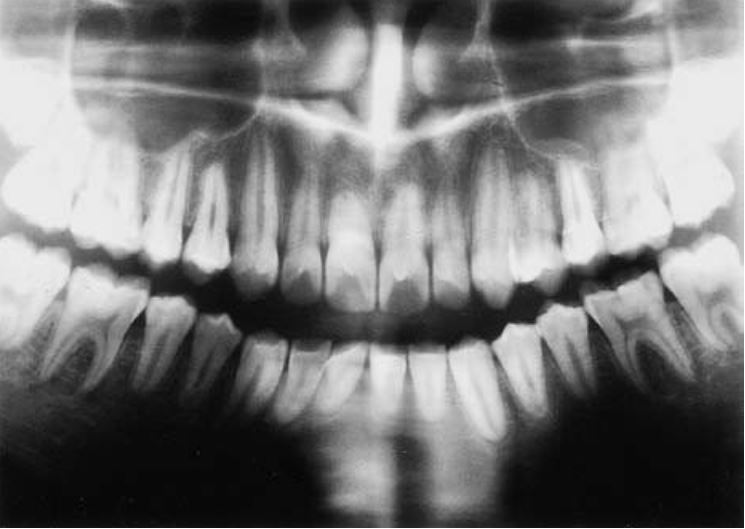
Răng thường bị ảnh hưởng nhiều nhất là các răng cửa. Răng dung hợp thường có một rãnh khá sâu chạy dọc theo mặt ngoài hoặc mặt trong và một khía ở rìa cắn tại vị trí mà 2 răng hợp lại. Trên phim X quang, răng dung hợp có 2 buồng tủy riêng biệt.

Răng sinh đôi (gemination)
Xảy ra khi một mầm răng có khuynh hướng chia thành 2 răng, nhưng sự phân chia này không hoàn toàn.
Tỉ lệ gặp ở răng sữa cao gấp 5 lần so với răng vĩnh viễn. Răng hay gặp nhất là răng cửa sữa hàm dưới và răng cửa vĩnh viễn hàm trên, bị một bên nhiều hơn hai bên.
Răng sinh đôi cũng hay có rãnh dọc theo mặt ngoài hoặc mặt trong, khía ở rìa cắn. Trên lâm sàng rất khó chẩn đoán phân biệt giữa răng dung hợp với răng sinh đôi.
Trên phim thì thấy răng sinh đôi chỉ có một buồng tủy rất rộng, chân răng to, thân răng chẻ đôi. Tuy vậy vẫn còn nhiều biến thể khác.


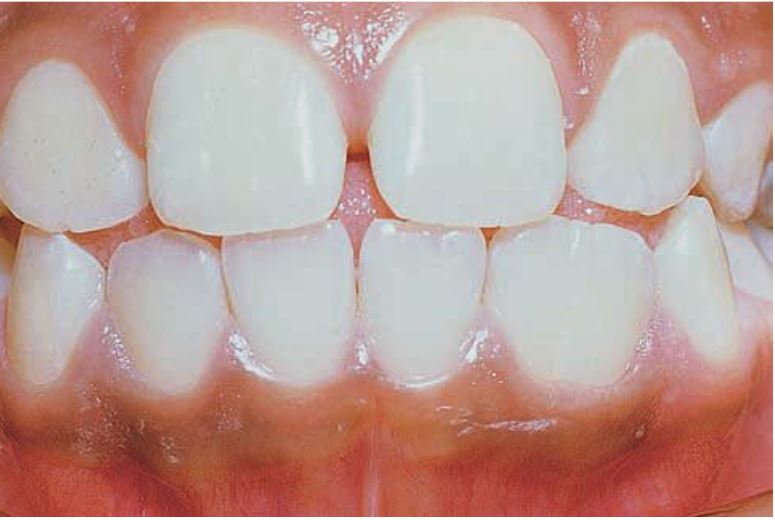
Răng song sinh (twinning)
Xảy ra khi một mầm răng riêng lẻ chia đôi hoàn toàn tạo thành hai răng riêng biệt nhưng giống hệt nhau, kích thước hơi nhỏ hơn bình thường. Răng song sinh rất hiếm gặp. Răng song sinh rất khó phân biệt với răng dư. Chẳng hạn như trong hình 20.2, rất khó để xác định răng cửa bị dư là kết quả của một mầm răng sinh đôi hay phát triển từ một mầm răng dư khác mà ra.


Răng liên trưởng (concrescence)
Xảy ra khi phần cement chân răng của 2 răng kế cận dính lại với nhau, do các yếu tố môi trường hay các yếu tố trong quá trình phát triển tác động lên răng khi chân răng đã hoàn thành. Chẳng hạn như chen chúc răng, viêm nhiễm, chấn thương làm tiêu vách xương ổ.
Răng liên trưởng có thể xảy ra giữa 2 răng bình thường, 1 răng bình thường với 1 răng dư hoặc giữa 2 răng dư với nhau.
Răng liên trưởng thực sự, xảy ra trong quá trình hoàn tất chân răng, hay gặp giữa R7 và R8 hàm trên khi thiếu chỗ.
Răng liên trưởng mắc phải, xảy ra sau khi răng đã phát triển hoàn tất nhưng tăng sản cement (hypercementosis) do viêm nhiễm.
Răng liên trưởng khá quan trọng đối với chỉnh nha và nhổ răng. Ví dụ khi nhổ răng khôn có thể gây dịch chuyển R7 liên trưởng. Phẫu thuật cũng không giúp tách rời 2 răng liên trưởng được.


Rãnh nướu khẩu cái (palatogingival groove)
Là một khiếm khuyết xảy ra chủ yếu ở răng cửa bên hàm trên. Rãnh bắt đầu từ đường nối cingulum với 1 trong 2 gờ bên mặt trong, chạy xuống và mở rộng về phía chân răng. Rãnh nướu khẩu cái góp phần quan trọng gây bệnh nha chu bởi vì cement không thể phủ lên và dây chằng nha chu không thể bám vào phần đó.

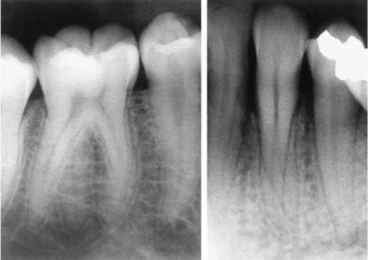
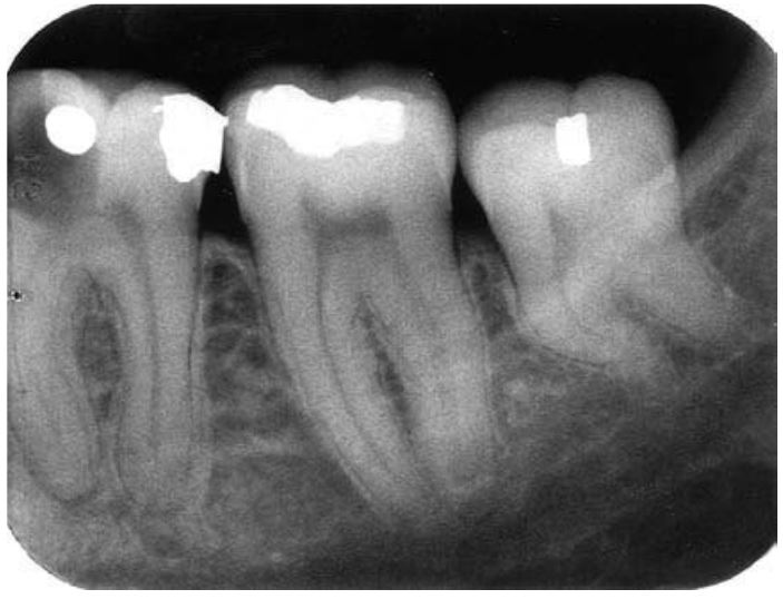
Chân răng dư
Có thể xảy ra trên bất cứ răng nào, nhưng thường gặp nhất là răng khôn, răng nanh dưới và các răng cối nhỏ. Trên phim X quang có thể nghi ngờ chân răng dư khi ống tủy giảm kích thước đột ngột và chia thành 2 ống tủy.
Chân răng dư thường gây ảnh hưởng đến việc điều trị tủy, nhổ răng và chỉnh nha.

Hạt trai men
Là phần men răng có dạng như ngọc trai, kích thước từ 1 – 2 mm, thường xuất hiện hơi phía trên vùng chẽ các răng cối lớn, tỉ lệ ở hàm trên cao gấp 7 lần hàm dưới.
Hạt trai men không chứa tủy răng. Chúng có thể góp phần gây viêm nha chu mãn tính và gây cản trở thao tác của các dụng cụ nha chu.


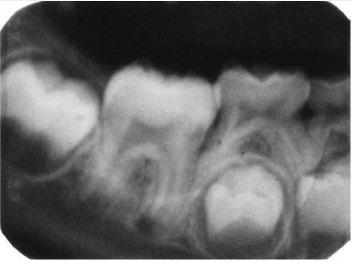
Men răng mở rộng về cổ răng (cervical enamel extension)
Xảy ra ở đường nối men – cement mặt ngoài các răng cối lớn. Phần men mở rộng có dạng hình chữ V, trơn láng hoặc nhám và mở về phía vùng chẽ.

Các răng cối lớn hàm dưới gặp nhiều hơn hàm trên. Khó chẩn đoán dựa trên X quang, mà phát hiện được dựa vào đầu thám trâm hoặc cây thăm dò nha chu. Men răng mở rộng này thường gây túi nha chu và bệnh lí vùng chẽ, khi viêm nhiễm sẽ tạo thành nang, gọi là nang chẽ ngoài (buccal bifurcation cyst).

Nang được đặc trưng bởi khối thấu quang hình bán nguyệt, chồng lên chân răng ngoài, đôi lúc nang mở về phía xa. Trên phim mặt nhai thấy răng bị đẩy về phía trong.
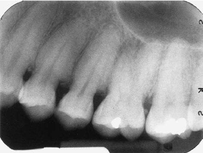
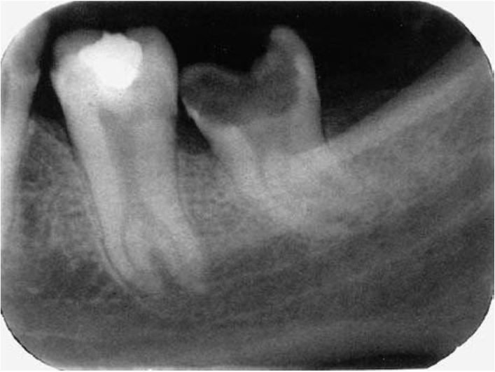
Chân răng gấp khúc
Chân răng bị gấp khúc, tạo góc >20 độ so với thân răng. Chân răng gấp khúc hay gặp khi răng chen chúc, chấn thương, tổn thương xương răng kế bên hoặc do lực chỉnh nha. Chân răng có thể phân kì khỏi thân răng theo tất cả các hướng, nhưng thường gặp nhất là theo hướng xa, xa ngoài hoặc xa trong.


Khi chân răng phân kì về phía ngoài hoặc trong thì trên X quang sẽ có hình ảnh “mắt bò”, với điểm trung tâm là ống tủy.

Chân răng gấp khúc gây khó khăn cho việc điều trị tủy, nhổ răng và chỉnh nha.
Chân răng củ hành (bulbous root)
Chân răng không có dạng thuôn mà chóp chân răng phình to ra. Chân răng củ hành là kết quả của sự tăng sinh ngà răng, chứ không phải do cement. Răng có chân răng kiểu này rất khó nhổ.

Tăng sản cement
Là sự tăng sinh cement trên bề mặt chân răng. Tăng sản cement có liên hệ với các yếu tố tại chỗ như nhiễm trùng chóp, chấn thương khớp cắn và bệnh lí toàn thân như bệnh Paget, bướu giáp, bệnh to cực, phì đại tuyến yên.
Răng bị ảnh hưởng nhiều nhất là răng cối lớn, R5 và R4.
Răng hàm dưới có tỉ lệ cao gấp đôi so với răng hàm trên. Tăng sản cement xảy ra chủ yếu ở 1/3 chóp chân răng, gây khó khăn cho việc nhổ.

Răng bò mộng
Răng có dạng hình bò, thân răng lớn và chân răng ngắn, xảy ra trên các răng nhiều chân.
Răng có buồng tủy giãn dài, hình chữ nhật trong khi chân răng lại rất ngắn, không có điểm thắt tại đường nối men – cement. Răng vĩnh viễn bị ảnh hưởng nhiều hơn răng sữa, răng cối lớn nhiều hơn răng cối nhỏ.
Răng bò mộng thường gặp ở những bệnh nhân mắc các hội chứng di truyền như Down, Mohr, Klinefelter, ở trẻ đang điều trị ung thư.

Hội chứng răng cửa hình xẻng
Là 1 hội chứng di truyền với đặc trưng là các gờ răng cửa nhô lên, làm cho hố lưỡi lõm sâu, chân răng ngắn. Các răng cửa hàm trên dễ bị sâu xoang III và sâu hố lưỡi mặt trong.

Xem thêm các bất thường về màu sắc răng.
Nguồn: Color Atlas of Common Diseases – Robert P. Langlais, Craig S. Miller, Jill S. Gehrig.


Bài viết liên quan
Sỏi tuyến dưới hàm lớn bất thường – Ca lâm sàng
Giảm khoáng hóa răng cối – răng cửa (Molar Incisor Hypomineralization – MIH)
Các bất thường về màu sắc răng