TỔNG QUAN
Việc sử dụng dung dịch Fluoride tại chỗ, cụ thể là Bạc Diamine Fluoride (SDF), trong điều trị nha khoa ngày càng thu hút nhiều sự quan tâm của các bác sĩ.
Gần đây, SDF đã được Cơ quan quản lý thực phẩm và dược phẩm Hoa Kỳ (FDA) phê duyệt dưới dạng Fluoride để kiểm soát răng nhạy cảm. Sử dụng SDF tại chỗ là một thủ thuật không xâm lấn, nhanh chóng và đơn giản.
Kết quả đầy hứa hẹn của các nghiên cứu cho thấy SDF có hiệu quả hơn các chất Fluoride khác trong việc ngăn chặn quá trình sâu răng, kết luận rằng SDF là chất kiểm soát sâu răng an toàn, hiệu quả, có khả năng ứng dụng rộng rãi trong nha khoa.
Bạc Diamine Fluoride (SDF) là dung dịch Fluoride bôi tại chỗ có tính kiềm, không màu, có chứa ion fluoride và ion bạc. Muối bạc có tác dụng kháng khuẩn rõ rệt, có lịch sử sử dụng lâu dài trong y học và nha khoa. Trong khi đó, việc sử dụng Fluoride tại chỗ đã được chứng minh là có hiệu quả trong ngăn ngừa sâu răng. Do đó, sự kết hợp giữa Bạc và Fluoride được cho là có khả năng ngăn chặn quá trình sâu răng và đồng thời ngăn ngừa sâu răng mới.
SDF đã được sử dụng để kiểm soát sâu răng ở trẻ nhỏ, ngăn ngừa sâu chân răng ở bệnh nhân cao tuổi, ngăn ngừa sâu hố rãnh cũng như sâu răng thứ phát, đồng thời làm giảm nhạy cảm cho răng quá mẫn cảm. Các nghiên cứu cũng gợi ý rằng SDF có thể được sử dụng để điều trị ống tủy bị nhiễm trùng và củng cố răng được điều trị nội nha. Kết quả đầy hứa hẹn của cả nghiên cứu lâm sàng và phòng thí nghiệm đều cho thấy SDF hiệu quả hơn vecni Fluoride và có thể là một biện pháp phòng ngừa sâu răng có giá trị.
SỬ DỤNG HỢP CHẤT BẠC TRONG NHA KHOA
Ngay từ những năm 1900, các hợp chất Bạc đã là phác đồ phổ biến để điều trị bệnh uốn ván và thấp khớp trước khi thuốc kháng sinh được phát minh. Khi Penicillin và các loại kháng sinh khác xuất hiện vào những năm 1930, mối quan tâm nghiên cứu và lâm sàng về Bạc đã giảm đáng kể. Tuy nhiên, vào những năm 1970, sự quan tâm đến các hợp chất Bạc lại xuất hiện trở lại do sự xuất hiện tính kháng kháng sinh. Ngày nay, Bạc lại được ưa chuộng như một chất chống vi khuẩn do phổ rộng, độc tính thấp và không có khả năng kháng vi khuẩn phổ chéo.
Trong nha khoa, các hợp chất Bạc đã được sử dụng ngay từ những năm 1840, khi Bạc Nitrat được sử dụng để làm giảm tỷ lệ sâu răng ở răng sữa, chống sâu răng cho các răng cối lớn vĩnh viễn cũng như làm tác nhân khử khuẩn xoang trám và khử nhạy cảm ngà răng. Vào những năm 1960, Bạc được ủng hộ kết hợp với Fluoride như một chất chống sâu răng. Một trong những ấn phẩm đầu tiên báo cáo việc sử dụng Bạc Fluoride tại chỗ để ngăn ngừa sâu răng là ở Nhật Bản, khi Nishino nhận thấy sử dụng Bạc Florua giúp ức chế sự lây lan sang bên của sâu răng.
Hai dạng hóa học khác nhau có sẵn cho sự kết hợp bạc và Fluoride là: Bạc Fluoride và SDF. Bạc Fluoride 40% đã được sử dụng để ngăn ngừa sâu răng ở trẻ em. SDF chứa Amoniac và Bạc Fluoride; các ion Amoniac kết hợp với các ion Bạc để tạo ra một ion phức gọi là ion diamine-bạc và phức hợp này ổn định hơn Bạc Fluoride. SDF được khẳng định là ổn định hơn Bạc Fluoride và nó có thể được giữ ở nồng độ không đổi trong một khoảng thời gian khá dài. SDF thường được sử dụng trong dung dịch 38% để điều trị răng nhạy cảm và kiểm soát sâu răng.
Nói về lợi ích của việc sử dụng SDF trong điều trị nha khoa, đầu tiên, nó cho thấy hoạt tính kháng khuẩn chống lại màng sinh học gây sâu răng đơn loài, kép và đa loài. Ion Bạc là cation kim loại diệt khuẩn ức chế sự hình thành màng sinh học.
Thứ hai, Fluoride thúc đẩy quá trình tái khoáng hóa tổn thương sâu răng. Fluoride đã được chứng minh là phản ứng với Hydroxyapatite và tạo ra Canxi Fluoride, một nguồn chứa Fluoride và tạo điều kiện cho quá trình tái khoáng hóa sau đó. Một số nghiên cứu đã báo cáo độ cứng vi mô của lớp bề mặt xoang sâu sau khi sử dụng SDF có thể so sánh với ngà răng lành. Trên bề mặt sâu răng bị chặn lại sau khi điều trị bằng SDF, người ta quan sát thấy có vùng tái khoáng cao.
Thứ ba, quy trình sử dụng SDF rất đơn giản, không cần bơm hay khoan, đồng thời việc xử lý không liên quan đến các trang thiết bị đắt tiền như nước máy và điện. Sự đơn giản của phương pháp này có lợi cho việc điều trị sâu răng ở trẻ nhỏ đang lo lắng, sợ hãi, những bệnh nhân không hợp tác trong các điều trị phức tạp hoặc những bệnh nhân lớn tuổi gặp khó khăn trong việc thích nghi với chăm sóc nha khoa truyền thống. Ngoài ra còn cho phép các nhân viên được đào tạo thực hiện điều trị cho những người sống trong những khu vực không thể dễ dàng tiếp cận với dịch vụ nha khoa. Cuối cùng, chi phí điều trị SDF thấp và phù hợp với túi tiền của hầu hết mọi người trong cộng đồng.
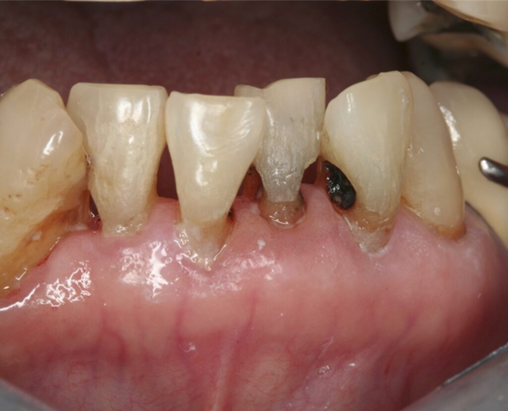
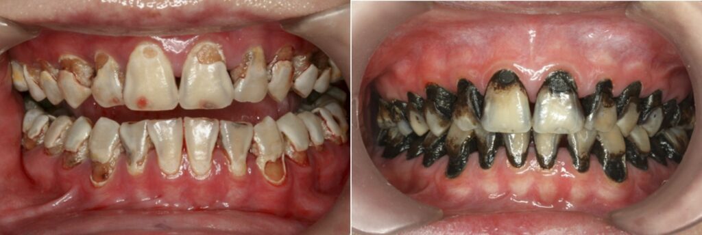
Nhược điểm cố hữu của SDF là các tổn thương sâu răng sẽ bị ố đen sau khi bôi. SDF ngăn chặn sự tiến triển của sâu răng bằng cách hình thành một lớp cứng, đen, không thấm nước trên bề mặt răng và có khả năng chống sâu răng.





👉 Vui lòng đăng nhập để xem tiếp.

Bài viết liên quan
Sử dụng composite lỏng trong nha khoa – P6
Sử dụng composite lỏng trong nha khoa – P5 – Phục hồi răng trực tiếp bằng composite lỏng
Sử dụng composite lỏng trong nha khoa – P7